美容歯科の症例写真(美容歯科)
症例写真一覧
表示件数:37747件 / 346549件
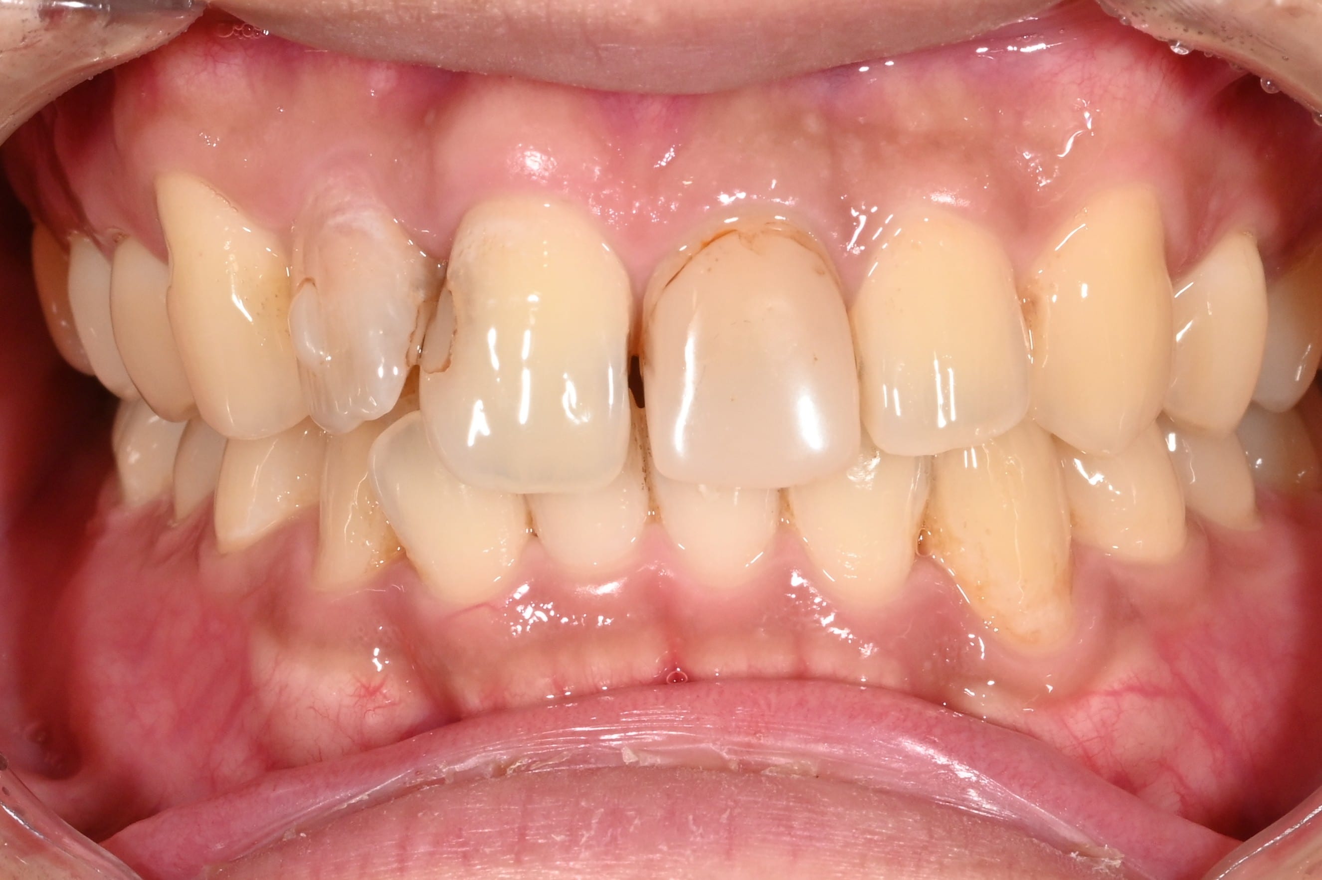
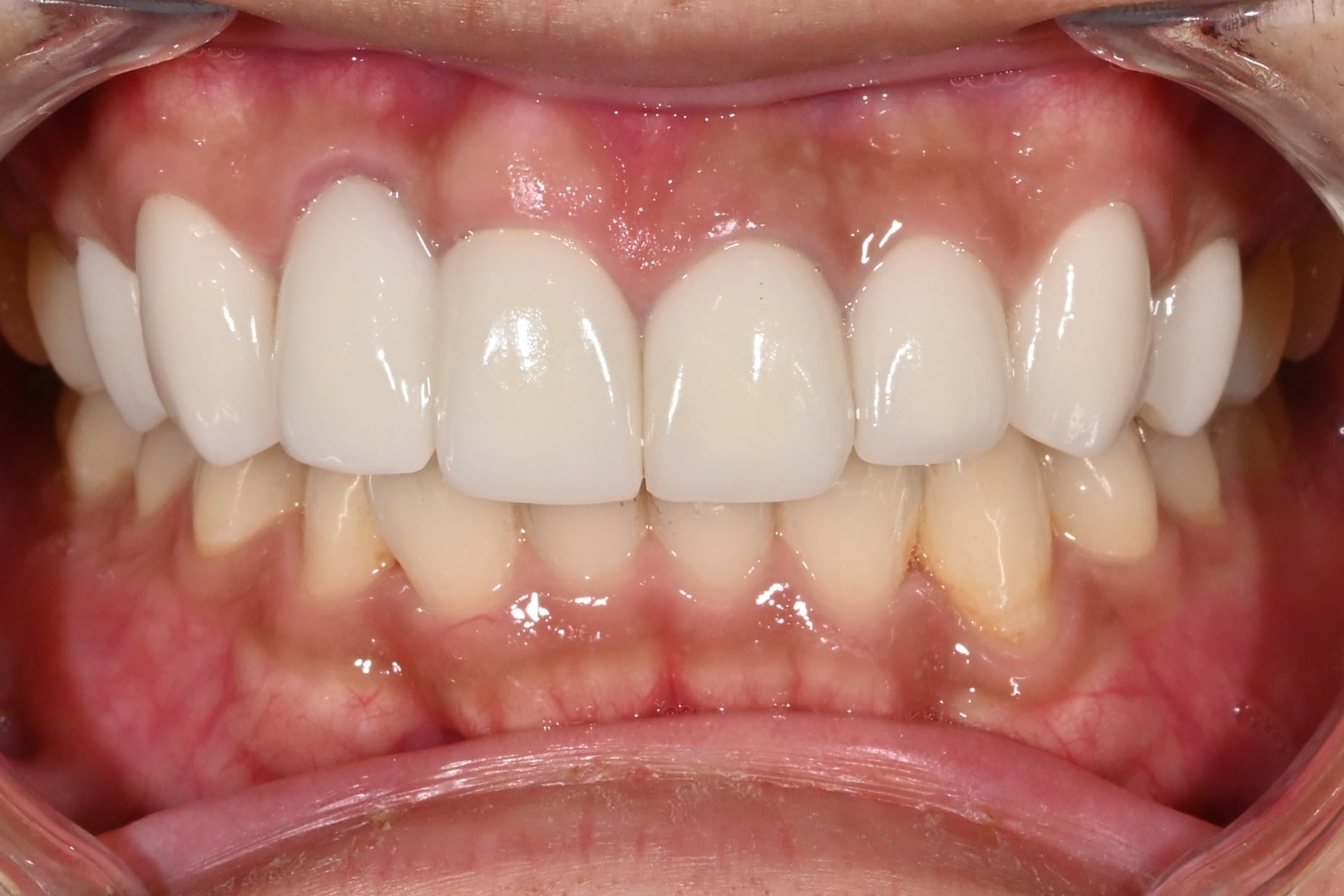
美容歯科 / プレミアムダイヤモンドセラミック 他 No.257227
SBC歯科新宿院♪ ジルコニアダイヤモンドセラミック6本でPerfect Smileへ
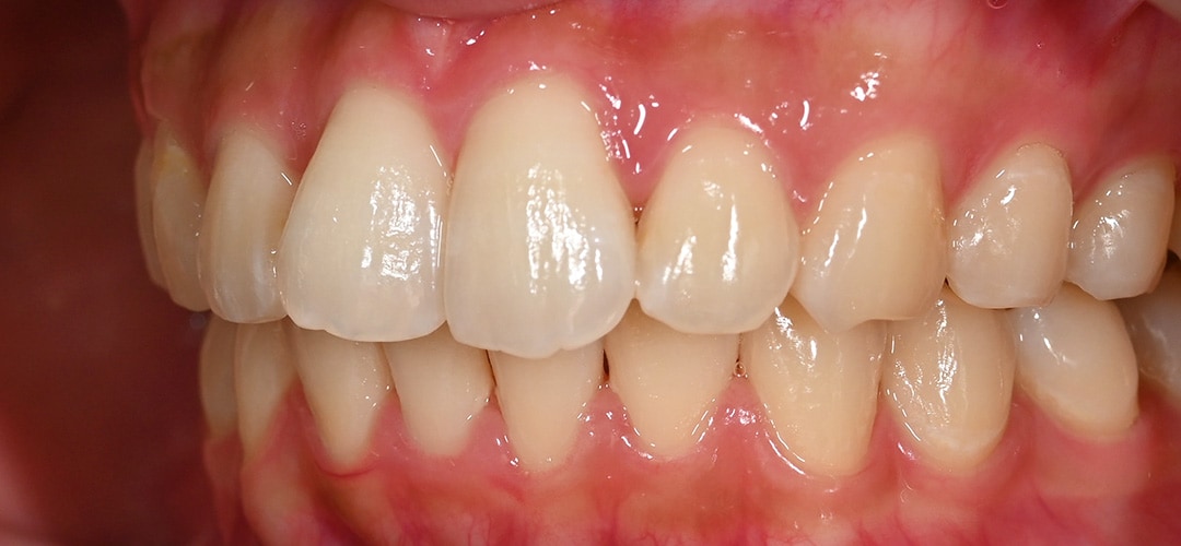
美容歯科 / セラミック 他 No.257289
SBC歯科新宿院♪ ジルコニアダイヤモンドセラミック10本でPerfect Smileへ
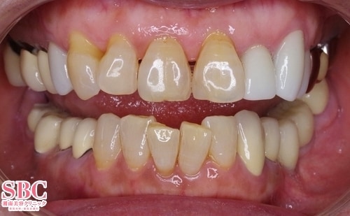
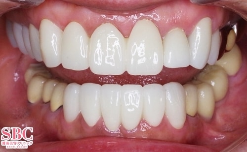
美容歯科 / 歯肉整形 他 No.257296
SBC歯科新宿院♪ ジルコニアダイヤモンドセラミック10本でPerfect Smileへ
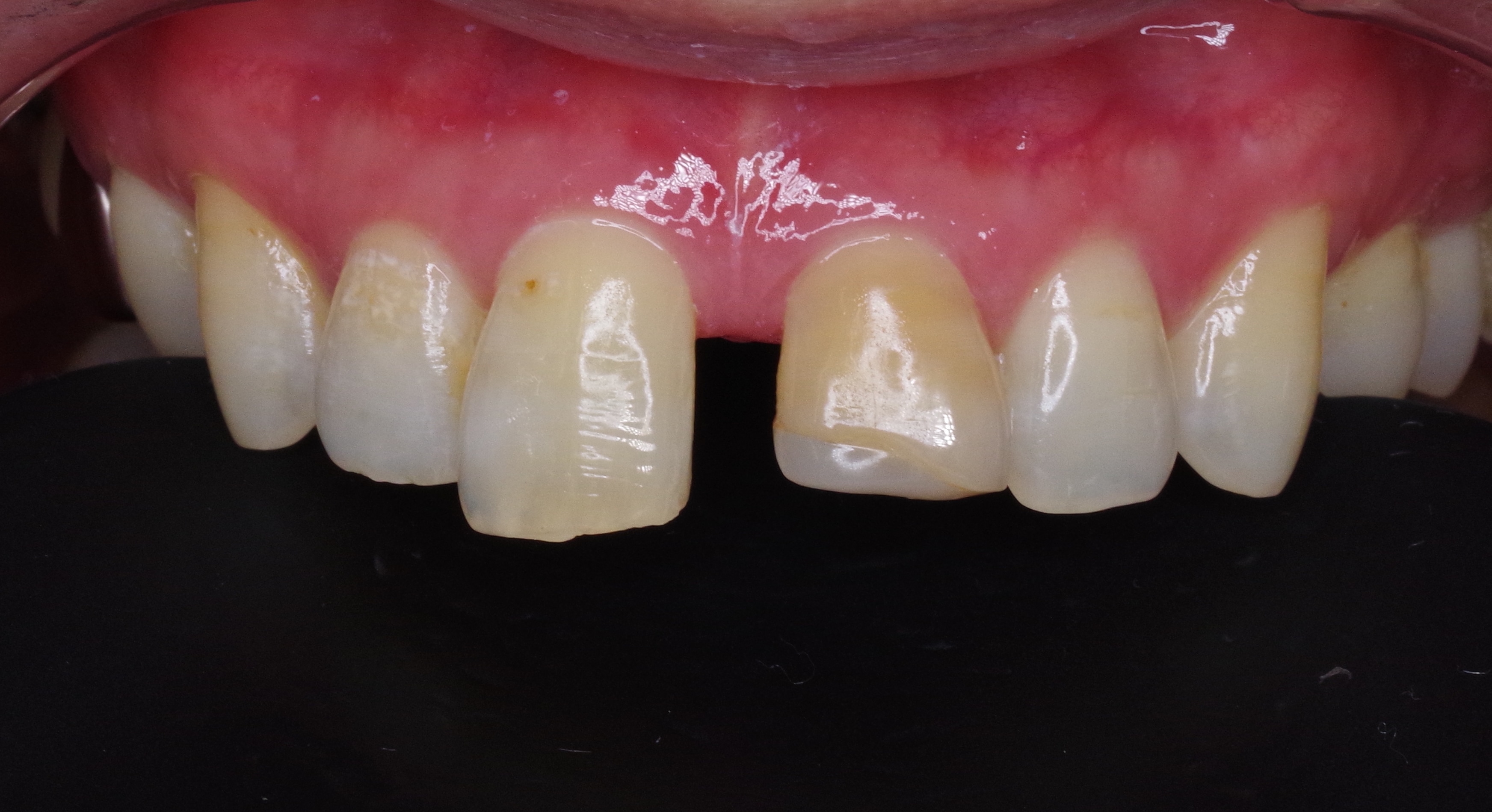
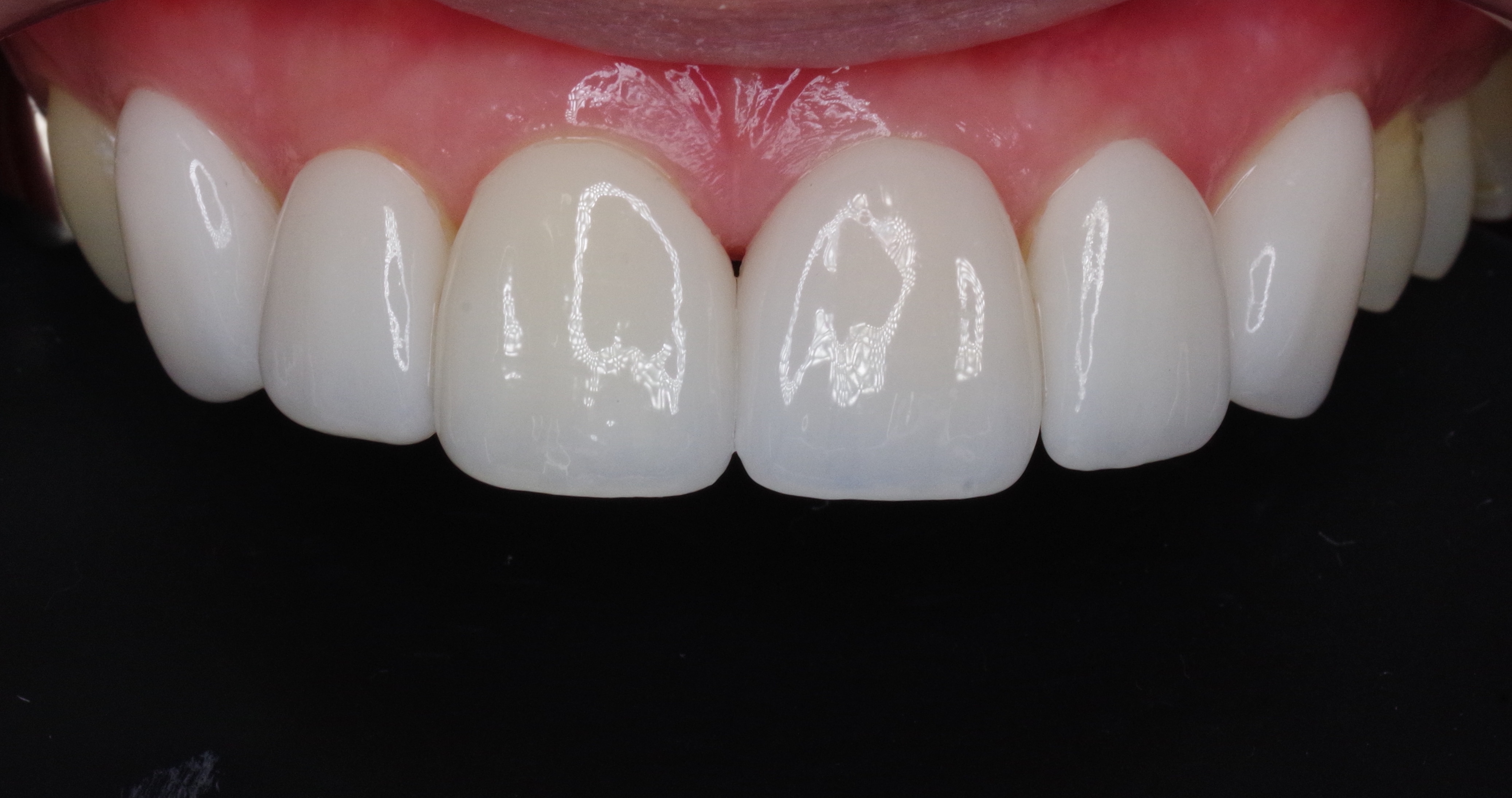
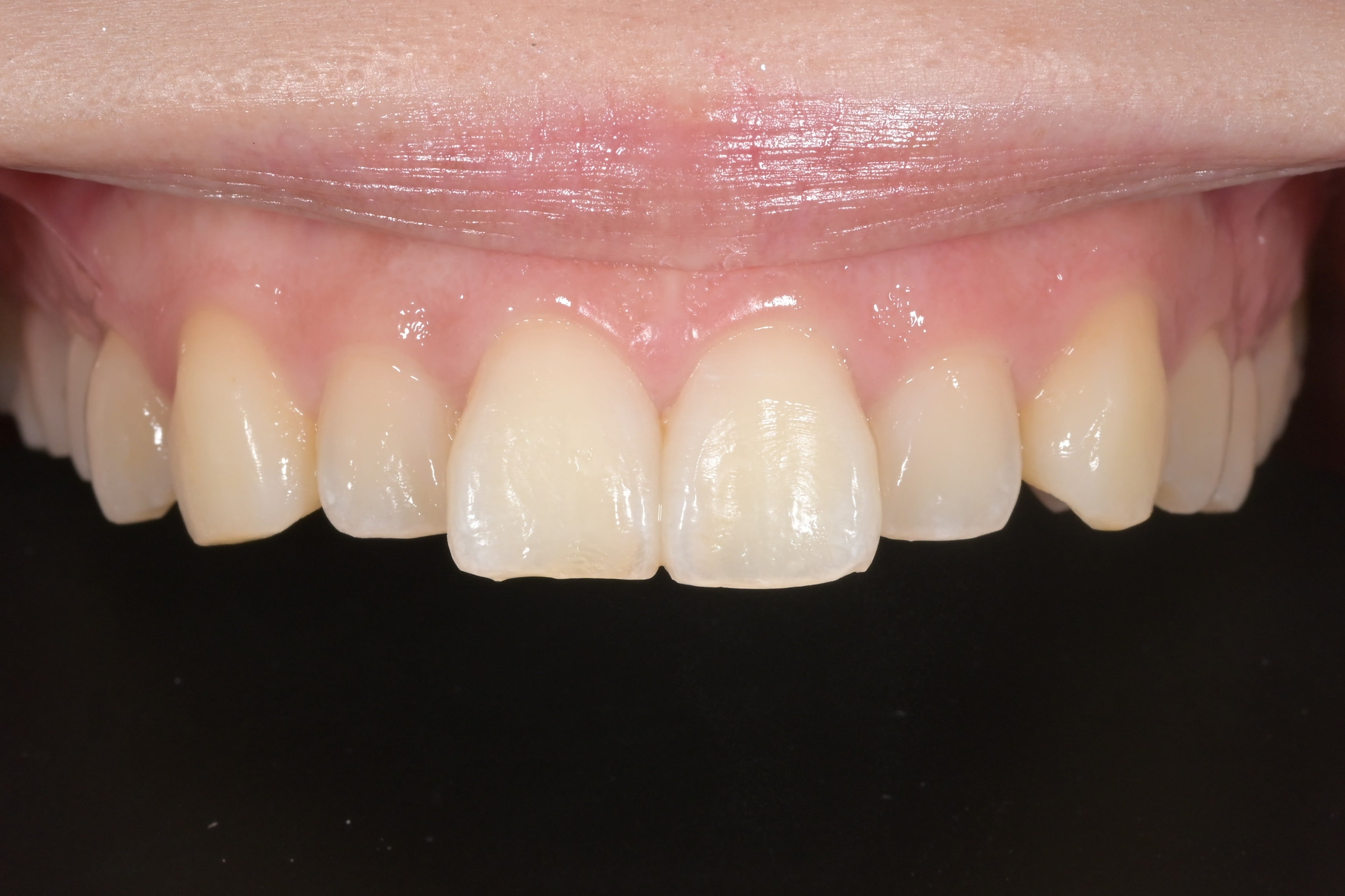
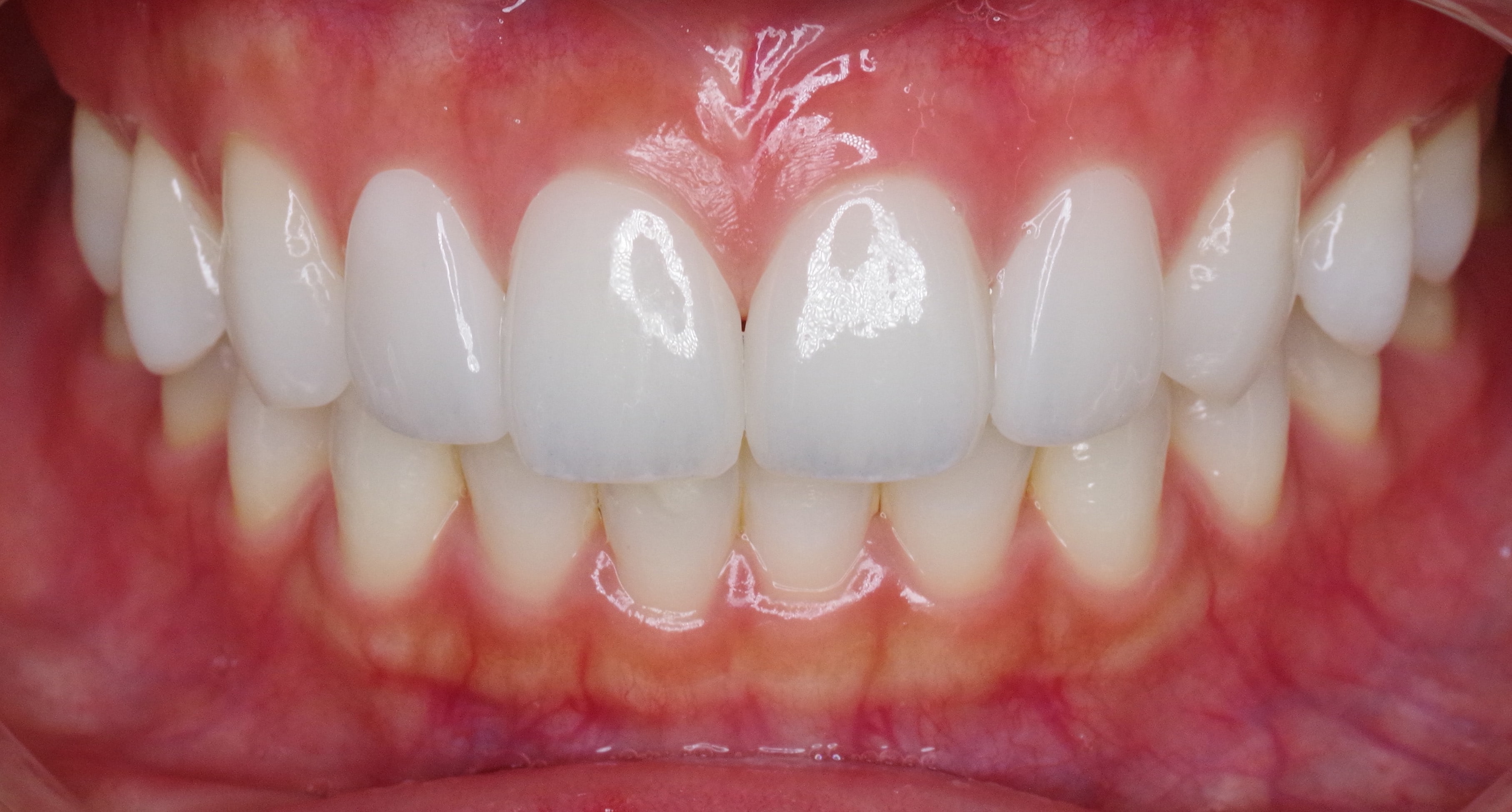
美容歯科 / セラミック No.243482
プレミアムダイヤモンドセラミックで透明感ある仕上がり
美容歯科 / マウスピース矯正 No.251316
インビザラインGO
美容歯科 / プレミアムダイヤモンドセラミック No.245696
☆ジルコニアセラミック☆上8本☆
美容歯科 / プレミアムダイヤモンドセラミック No.232969
☆ジルコニアセラミック☆上下25本☆
美容歯科 / プレミアムダイヤモンドセラミック No.232968
☆ジルコニアセラミック☆上下25本☆
美容歯科 / NEOエナメル No.358857
■湘南歯科グループ技術指導医■見た目だけ綺麗にする治療は治療ではない!難症例のレスキュー医師☆柿野統史医師による【Neoエナメル】
美容歯科 / プレミアムダイヤモンドセラミック No.358848
セラミック治療でお口元激変!!
美容歯科 / プレミアムダイヤモンドセラミック 他 No.358847
【上6本】矯正後の後戻り・前歯の突出感改善
美容歯科 / プレミアムダイヤモンドセラミック 他 No.358846
【上6本】矯正後の後戻り・前歯の突出感改善
美容歯科 / プレミアムダイヤモンドセラミック 他 No.358845
【上6本】矯正後の後戻り・前歯の突出感改善
美容歯科 / プレミアムダイヤモンドセラミック No.358844
気になる歯並びと色をセラミックで改善!
美容歯科 / NEOエナメル No.358841
■湘南歯科グループ技術指導医■見た目だけ綺麗にする治療は治療ではない!難症例のレスキュー医師☆柿野統史医師による【Neoエナメル】
美容歯科 / プレミアムダイヤモンドセラミック 他 No.358839
【上8本】捻じれ・色・形改善
美容歯科 / プレミアムダイヤモンドセラミック 他 No.358838
【上8本】捻じれ・色・形改善
美容歯科 / マウスピース矯正 No.358828
【満足度No.1クラス】 「もっと早くやればよかった!」の声多数!まゆゆ先生が手がける、結果重視のマウスピース矯正【インビザラインGO両顎】
美容歯科 / NEOエナメル No.358825
竹本先生があなたの笑顔をトータルデザイン!審美性と機能性を両立するNEOエナメル
美容歯科 / ダイヤモンドクラウン(ジルコニア) No.358795
■湘南歯科グループ技術指導医■見た目だけ綺麗にする治療は治療ではない!難症例のレスキュー医師☆柿野統史医師による【ダイヤモンドクラウン(ジルコニア)】
















































