美容外科・美容皮膚科・審美歯科なら湘南美容クリニック
電話予約・電話問い合わせ 10:00~22:45対応 番号を通知してお電話ください 0120-489-100
Instagram
LINE
YouTube
公式アプリ
美容皮膚科
あなたに最適な美容メンテナンスをサポートします!
二重整形
これを見たらあなたも思わず二重にしたくなる♡
医療ダイエット
医療ダイエットをしたらマイナス何センチ?リアルな結果を発信中!
若返り
年齢別・お悩み別で「今やるべき美容医療」がわかる美容医療メディア
クマ取り
クマ取り失敗したくない方必見!成功の秘訣満載★
脂肪吸引
美は武器!夜職女性のための美の総合メディア
予約・お問い合わせ
美容外科 MENU
Language
メインメニュー
診療内容一覧
料金一覧
クリニック案内
ドクター一覧
モニター募集
症例写真
よくある質問
当院が選ばれる理由
当院の症例写真は、画像処理により形や大きさをかえるような処理は一切おこなっておりません。
岡秀樹(歯科) 医師
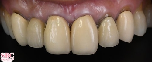
施術前
施術後2週間後
施術した院
部位
施術
施術回数
数量
性別
保険の差し歯をセラミックにするメリットとは?今回のお客様のお口元には30年前に治療された保険適用の差し歯が入っていました。その差し歯をセラミックに交換することには見た目の美しさだけでなく、お口の健康を守る上でも多くのメリットがあります。30年前に保険適用で治療された差し歯は、主に「硬質レジン前装冠」と呼ばれるものが一般的です。これは金属のフレームの見える部分に、レジンというプラスチックを貼り付けたものです。この差し歯が長年の使用でどうなっている可能性があるかと、セラミックのメリットを比較してみましょう。・お口の健康を守り、虫歯の再発を防ぐ (機能性・健康面)30年が経過した差し歯は接着剤が劣化したり、差し歯自体が変形・摩耗したりして歯との間に隙間ができている可能性があります。そこから細菌が侵入し、中で虫歯が再発(二次カリエス)するリスクが高まっています。セラミックは歯との適合性が非常に高く、精密な治療が可能なため細菌の侵入経路を断ち、虫歯の再発リスクを大幅に低減できます。・見た目の美しさが格段に向上する (審美性)30年前のレジンは経年劣化で黄ばんだり、ツヤが失われたりしている可能性が高いです。セラミックはご自身の天然の歯と見分けがつかないほどの透明感と、白く美しい色調を再現できます。隣の歯の色に合わせて細かく色を調整することも可能です。30年前に治療した保険の差し歯は、すでに寿命を大きく超えている可能性が高い状態です。見た目の問題だけでなく見えない部分で虫歯が進行していたり、歯や歯ぐきに悪影響を及ぼしていたりするリスクも考えられます。最新のセラミック治療に切り替えることで、これらの問題を解決し「見た目の美しさ」「虫歯の再発予防」「長期的な安心感」という大きなメリットを得ることができます。同じお悩みをお持ちの方がいましたら、ぜひ一度無料カウンセリングへお越しください!
施術担当者からのコメント
保険の差し歯をセラミックにするメリットとは?
今回のお客様のお口元には30年前に治療された保険適用の差し歯が入っていました。
その差し歯をセラミックに交換することには見た目の美しさだけでなく、お口の健康を守る上でも多くのメリットがあります。
30年前に保険適用で治療された差し歯は、主に「硬質レジン前装冠」と呼ばれるものが一般的です。これは金属のフレームの見える部分に、レジンというプラスチックを貼り付けたものです。この差し歯が長年の使用でどうなっている可能性があるかと、セラミックのメリットを比較してみましょう。
・お口の健康を守り、虫歯の再発を防ぐ (機能性・健康面)
30年が経過した差し歯は接着剤が劣化したり、差し歯自体が変形・摩耗したりして歯との間に隙間ができている可能性があります。
そこから細菌が侵入し、中で虫歯が再発(二次カリエス)するリスクが高まっています。
セラミックは歯との適合性が非常に高く、精密な治療が可能なため細菌の侵入経路を断ち、虫歯の再発リスクを大幅に低減できます。
・見た目の美しさが格段に向上する (審美性)
30年前のレジンは経年劣化で黄ばんだり、ツヤが失われたりしている可能性が高いです。
セラミックはご自身の天然の歯と見分けがつかないほどの透明感と、白く美しい色調を再現できます。
隣の歯の色に合わせて細かく色を調整することも可能です。
30年前に治療した保険の差し歯は、すでに寿命を大きく超えている可能性が高い状態です。
見た目の問題だけでなく見えない部分で虫歯が進行していたり、歯や歯ぐきに悪影響を及ぼしていたりするリスクも考えられます。
最新のセラミック治療に切り替えることで、これらの問題を解決し「見た目の美しさ」「虫歯の再発予防」「長期的な安心感」という大きなメリットを得ることができます。
同じお悩みをお持ちの方がいましたら、ぜひ一度無料カウンセリングへお越しください!