美容外科・美容皮膚科・審美歯科なら湘南美容クリニック
電話予約・電話問い合わせ 10:00~22:45対応 番号を通知してお電話ください 0120-489-100
Instagram
LINE
YouTube
公式アプリ
美容皮膚科
あなたに最適な美容メンテナンスをサポートします!
二重整形
これを見たらあなたも思わず二重にしたくなる♡
医療ダイエット
医療ダイエットをしたらマイナス何センチ?リアルな結果を発信中!
若返り
年齢別・お悩み別で「今やるべき美容医療」がわかる美容医療メディア
クマ取り
クマ取り失敗したくない方必見!成功の秘訣満載★
脂肪吸引
美は武器!夜職女性のための美の総合メディア
予約・お問い合わせ
美容外科 MENU
Language
メインメニュー
診療内容一覧
料金一覧
クリニック案内
ドクター一覧
モニター募集
症例写真
よくある質問
当院が選ばれる理由
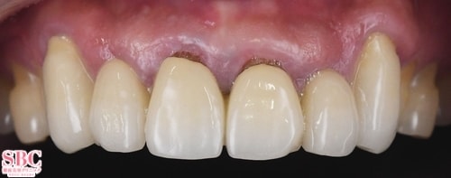
当院の症例写真は、画像処理により形や大きさをかえるような処理は一切おこなっておりません。
岡秀樹(歯科) 医師
施術前
施術後1ヶ月後
施術した院
部位
施術
施術回数
数量
性別
【15年経った保険の被せ物、セラミックに変える3つのメリット】長年お口の中で機能してきた保険の被せ物、特に15年が経過している場合は『見た目』や『機能』に変化が現れている可能性があります。セラミックに交換することで、多くのメリットが期待できます。メリット1:天然歯のような自然で美しい見た目に15年経過した保険の被せ物は主に初期の白いプラスチック(CAD/CAM冠)である可能性が高いです。これらは経年により、飲食物の色素を吸収しやすく、黄ばみや変色が目立ってきます。セラミックは、天然の歯が持つ透明感や色調を忠実に再現できる陶器素材です。ご自身の周りの歯の色に合わせて作製できるため、どこを治療したかわからないほど自然な仕上がりになります。メリット2:むし歯の再発(二次カリエス)リスクを大幅に低減歯の治療で最も避けたいことの一つが被せ物の下で再びむし歯ができてしまう「二次カリエス」です。保険の銀歯は経年劣化によって金属がわずかに変形したり、歯と銀歯を接着しているセメントが唾液で溶け出したりして、目に見えない隙間が生まれがちです。その隙間から細菌が侵入し、むし歯が再発するケースが少なくありません。15年という期間はそのリスクがかなり高まっていると考えられます。一方、セラミックは材質の安定性が高く精密な加工によって歯とぴったり適合させることが可能です。また、強力な接着剤で化学的に歯と結合させるため、隙間ができにくく細菌の侵入経路を断ちます。さらに表面が滑らかで汚れが付着しにくいため、お口の中を清潔に保ちやすいのも大きな利点です。メリット3:優れた耐久性で、すり減りにくく変色もしない保険適用の白い被せ物(CAD/CAM冠)はプラスチックを混ぜた素材のため長期間の使用ですり減ったり、変色したりすることが避けられません。セラミックは陶器ならではの硬さと耐久性を持ち、摩耗に非常に強いのが特徴です。噛む力が強い奥歯でも長期間安定して使用でき、飲食物による変色もほとんどありません。適切なメンテナンスを行えば、治療直後の白く美しい状態を長く保つことができます。もし保険の被せ物が入っていてお悩みの方がいましたらぜひ無料カウンセリングにお越しいただき、ご相談くださいませ。
施術担当者からのコメント
【15年経った保険の被せ物、セラミックに変える3つのメリット】
長年お口の中で機能してきた保険の被せ物、特に15年が経過している場合は『見た目』や『機能』に変化が現れている可能性があります。セラミックに交換することで、多くのメリットが期待できます。
メリット1:天然歯のような自然で美しい見た目に
15年経過した保険の被せ物は主に初期の白いプラスチック(CAD/CAM冠)である可能性が高いです。これらは経年により、飲食物の色素を吸収しやすく、黄ばみや変色が目立ってきます。
セラミックは、天然の歯が持つ透明感や色調を忠実に再現できる陶器素材です。ご自身の周りの歯の色に合わせて作製できるため、どこを治療したかわからないほど自然な仕上がりになります。
メリット2:むし歯の再発(二次カリエス)リスクを大幅に低減
歯の治療で最も避けたいことの一つが被せ物の下で再びむし歯ができてしまう「二次カリエス」です。
保険の銀歯は経年劣化によって金属がわずかに変形したり、歯と銀歯を接着しているセメントが唾液で溶け出したりして、目に見えない隙間が生まれがちです。その隙間から細菌が侵入し、むし歯が再発するケースが少なくありません。15年という期間はそのリスクがかなり高まっていると考えられます。
一方、セラミックは材質の安定性が高く精密な加工によって歯とぴったり適合させることが可能です。また、強力な接着剤で化学的に歯と結合させるため、隙間ができにくく細菌の侵入経路を断ちます。さらに表面が滑らかで汚れが付着しにくいため、お口の中を清潔に保ちやすいのも大きな利点です。
メリット3:優れた耐久性で、すり減りにくく変色もしない
保険適用の白い被せ物(CAD/CAM冠)はプラスチックを混ぜた素材のため長期間の使用ですり減ったり、変色したりすることが避けられません。
セラミックは陶器ならではの硬さと耐久性を持ち、摩耗に非常に強いのが特徴です。噛む力が強い奥歯でも長期間安定して使用でき、飲食物による変色もほとんどありません。適切なメンテナンスを行えば、治療直後の白く美しい状態を長く保つことができます。
もし保険の被せ物が入っていてお悩みの方がいましたらぜひ無料カウンセリングにお越しいただき、ご相談くださいませ。