美容外科・美容皮膚科・審美歯科なら湘南美容クリニック
電話予約・電話問い合わせ 10:00~22:45対応 番号を通知してお電話ください 0120-489-100
Instagram
LINE
YouTube
公式アプリ
美容皮膚科
あなたに最適な美容メンテナンスをサポートします!
二重整形
これを見たらあなたも思わず二重にしたくなる♡
医療ダイエット
医療ダイエットをしたらマイナス何センチ?リアルな結果を発信中!
若返り
年齢別・お悩み別で「今やるべき美容医療」がわかる美容医療メディア
クマ取り
クマ取り失敗したくない方必見!成功の秘訣満載★
脂肪吸引
美は武器!夜職女性のための美の総合メディア
予約・お問い合わせ
美容外科 MENU
Language
メインメニュー
診療内容一覧
料金一覧
クリニック案内
ドクター一覧
モニター募集
症例写真
よくある質問
当院が選ばれる理由
当院の症例写真は、画像処理により形や大きさをかえるような処理は一切おこなっておりません。
岡秀樹(歯科) 医師
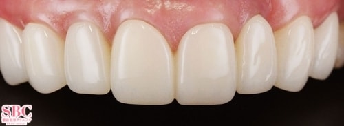
施術前
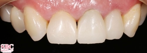
施術後3週間後
施術した院
部位
施術
施術回数
数量
性別
差し歯が3本入っている人が上の歯6本をセラミックにやりかえるメリットとは?差し歯が3本入っている方が、前歯部6本をまとめてセラミックにやりかえる場合のメリットは、主に審美面の大幅な向上とお口全体の調和にあります。メリット�@色調と透明感の統一による、自然で美しい見た目現在入っている差し歯3本と残りのご自身の歯3本では、色や質感が微妙に異なっている可能性があります。また、差し歯は時間とともに変色しますが、ご自身の歯の色はそこまで変わりません。6本すべてを同じ高品質なセラミック素材で同時に作製することで、色調、透明感、質感を完全に統一でき、非常に自然で美しい口元を実現できます。メリット�A歯の形や並びのバランスを整えられる6本まとめて治療することで個々の歯の形や大きさだけでなく、全体の歯並びのバランス(スマイルライン)を考慮した、より理想的なデザインに整えることが可能です。例えば、歯の大きさの左右差をなくしたり、わずかな傾きを修正したりといった調整がしやすくなります。メリット�Bセラミック素材そのものの利点セラミックは水分や色素の吸収がほとんどないため、長期間使用しても変色やくすみが起こりにくい素材です。また、金属を一切使用しないため金属アレルギーの心配がなくセラミックは『汚れ』が付着しにくい性質もあります。メリット�C既存の差し歯の問題点の解消(可能性)現在入っている差し歯が古くなっており、適合が悪くなっていたり根の状態に問題があったりする場合、この機会にそれらを新しくやりかえることで、機能面や衛生面での改善が期待できることもあります。結論として最大のメリットは「6本全体で調和のとれた、非常に美しい口元を手に入れられる」ことです。 しかし、そのためには「健康な歯を削る可能性」や「高額な費用」といったデメリットも伴います。お口元でお悩みの方は、どこまでの審美性を求めるかを無料カウンセリングにてお話いただき、メリットとデメリットを十分に比較検討された上で最善な治療を選択できるようサポートさせてください!あなたのご来院をお待ちしています。
施術担当者からのコメント
差し歯が3本入っている人が上の歯6本をセラミックにやりかえるメリットとは?
差し歯が3本入っている方が、前歯部6本をまとめてセラミックにやりかえる場合のメリットは、主に審美面の大幅な向上とお口全体の調和にあります。
メリット�@色調と透明感の統一による、自然で美しい見た目
現在入っている差し歯3本と残りのご自身の歯3本では、色や質感が微妙に異なっている可能性があります。また、差し歯は時間とともに変色しますが、ご自身の歯の色はそこまで変わりません。
6本すべてを同じ高品質なセラミック素材で同時に作製することで、色調、透明感、質感を完全に統一でき、非常に自然で美しい口元を実現できます。
メリット�A歯の形や並びのバランスを整えられる
6本まとめて治療することで個々の歯の形や大きさだけでなく、全体の歯並びのバランス(スマイルライン)を考慮した、より理想的なデザインに整えることが可能です。
例えば、歯の大きさの左右差をなくしたり、わずかな傾きを修正したりといった調整がしやすくなります。
メリット�Bセラミック素材そのものの利点
セラミックは水分や色素の吸収がほとんどないため、長期間使用しても変色やくすみが起こりにくい素材です。
また、金属を一切使用しないため金属アレルギーの心配がなくセラミックは『汚れ』が付着しにくい性質もあります。
メリット�C既存の差し歯の問題点の解消(可能性)
現在入っている差し歯が古くなっており、適合が悪くなっていたり根の状態に問題があったりする場合、この機会にそれらを新しくやりかえることで、機能面や衛生面での改善が期待できることもあります。
結論として最大のメリットは「6本全体で調和のとれた、非常に美しい口元を手に入れられる」ことです。 しかし、そのためには「健康な歯を削る可能性」や「高額な費用」といったデメリットも伴います。
お口元でお悩みの方は、どこまでの審美性を求めるかを無料カウンセリングにてお話いただき、メリットとデメリットを十分に比較検討された上で最善な治療を選択できるようサポートさせてください!
あなたのご来院をお待ちしています。