症例写真(須見亮祐)
症例写真一覧
表示件数:60件 / 348466件
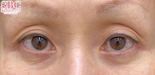
若返り / 裏ハムラ法 No.346952
20代女性・裏ハムラ(クマ取り)【術後1ヶ月】
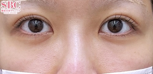
二重・二重整形 / クイックコスメティーク・ダブルNeo No.346808
20代女性・クイックコスメティークダブル【術後1ヶ月】
脂肪吸引 / 美ボディ脂肪吸引 No.309596
【二重あごを撃退!美ボディ脂肪吸引!】
脂肪吸引 / 根こそぎVASER脂肪吸引 No.360511
女性・ベイザー脂肪吸引(二の腕/肩/肩甲骨横)【術後1ヶ月】
脂肪吸引 / 根こそぎVASER脂肪吸引 No.360510
女性・ベイザー脂肪吸引(二の腕全周/肩/肩甲骨横)【術後1ヶ月】
二重・二重整形 / 眼瞼下垂+二重 No.360509
【二重・二重整形】20代男性・眼瞼下垂+二重【術後1ヶ月】
若返り / 裏ハムラ法 No.359100
【若返り】男性・裏ハムラ(クマ取り)【術後3ヶ月】
二重・二重整形 / 目頭切開プレミアム 他 No.359098
女性・目頭切開・全部切開二重術【術後1ヶ月】
二重・二重整形 / クイックコスメティーク・ダブルNeo No.359097
女性・クイックコスメティークダブル【術後1ヶ月】
二重・二重整形 / 眼瞼下垂+二重 No.359096
男性・眼瞼下垂+二重【術後1週間後】
二重・二重整形 / 全切開法二重術 No.358520
10代女性・全切開二重術【術後3ヶ月】
二重・二重整形 / 眼瞼下垂+二重 No.358519
男性・眼瞼下垂+二重【術後1ヶ月】
脂肪吸引 / 根こそぎVASER脂肪吸引 No.358401
【脂肪吸引】女性・ベイザー脂肪吸引(二の腕/肩/肩甲骨横)【術後3ヶ月】
若返り / 眉下リフト(眉下切開) 他 No.358180
【若返り】女性・眉下切開、眼瞼下垂、ナノリッチ脂肪注入(目の上)、コンデンスリッチ脂肪注入(目の下)【術後3ヶ月】
若返り / 切開ハムラ(表ハムラ)法 No.358178
【若返り】女性・切開ハムラ(クマ取り)、脂肪注入(ナノリッチ)、糸リフト(VOV)【術後3ヶ月】
若返り / 切開ハムラ(表ハムラ)法 No.357608
【脂肪吸引】女性・眉下リフト、切開ハムラ、ナチュラル脂肪注射ナノリッチ【術後3ヶ月】
脂肪吸引 / 根こそぎVASER脂肪吸引 No.357607
【脂肪吸引】20代女性・ベイザー脂肪吸引(大腿・臀部・膝)【術後1ヶ月】
脂肪吸引 / 根こそぎVASER脂肪吸引 No.357606
【脂肪吸引】女性・ベイザー脂肪吸引(二の腕)【術後3ヶ月】
脂肪吸引 / 根こそぎVASER脂肪吸引 No.357601
【脂肪吸引】30代女性・ベイザー脂肪吸引(二の腕)【術後3ヶ月】
若返り / 裏ハムラ法 No.357595
【若返り】20代女性・裏ハムラ(クマ取り)【術後3ヶ月】










































