症例写真(若返り)
ドクターが選ぶ BEST SHOT AWARD
症例写真一覧
表示件数:53297件 / 349777件
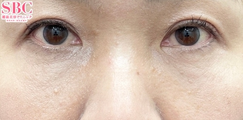
若返り / 目の下の切らないクマ・たるみ(ふくらみ)取り No.362249
◆◆美容外科専門医 名倉が叶える -5歳!! 目の下のたるみ取り+脂肪注入(目の下~ゴルゴ線)◆◆目の下のぷっくり、クマでお悩みの方必見!!◆3ヶ月後のお写真
若返り / プリマリフト No.362243
◆◆美容外科専門医 名倉が叶える小顔術!!糸リフト6年連続全国1位 (2019年~2024年)!※SBC内◆◆プリマリフト+脂肪吸引(頬+顎下)◆ 6ヶ月後のお写真
若返り / シークレットリフト 他 No.362228
【外科専門医・友池力】★★★即効果実感!結果と美しさにこだわる最高峰の糸リフト!最小限のダウンタイムやアフターフォローもお客様満足度★★★糸リフト+脂肪吸引注射:50代
若返り / 目の下の切らないクマ・たるみ(ふくらみ)取り 他 No.362223
【外科専門医・友池力】★★★結果と美しさにこだわる最高峰のクマ取り術!最小限のダウンタイムやアフターフォローもお客様満足度★★★目の下の切らないクマ取り+ナチュラル脂肪注射(目の下-ゴルゴ):50代
若返り / 裏ハムラ法 No.360834
【クマ取り】【ハムラ法】膨らんだ「眼窩脂肪」を凹みに移動してクマ解消!老け見え解消なら奥医師にお任せ!【施術1ヶ月後】【裏ハムラ法】
若返り / 目の下の切らないクマ・たるみ(ふくらみ)取り 他 No.362191
【若返りmuse】二子玉川院院長の青柳萌花による目の下の切らないクマたるみ取り★若々しい目元に!
若返り / 目の下の切らないクマ・たるみ(ふくらみ)取り 他 No.352529
【クマ取り×脂肪注入】気になるクマを取って脱疲れ顔!【施術1ヶ月後】【目の下の切らないクマ取り】【ナチュラル脂肪注射】【糸リフト】【脂肪吸引注射】
若返り / VOV(ボブ)リフト 他 No.362161
【若返りMuse】もえか先生の若返り術|お客様一人ひとりに合わせたパーソナルプランで自然な若返り?
若返り / ベビーコラーゲン(ヒューマラジェン/ベビーダーム) 他 No.362156
【目の下の色み・影が気になる方へ】ベビーコラーゲン注入
若返り / ベビーコラーゲン(ヒューマラジェン/ベビーダーム) No.361770
【目の下の影クマ・小ジワ改善】ベビーコラーゲン注入|自然なハリ感を出したい方へ
若返り / ヒアルロン酸ジュビダームビスタ バイクロスシリーズ No.362105
【頬コケ・ゴルゴライン改善ヒアル】疲れた印象をなくし、美しい輪郭で若々しい印象へ
若返り / シークレットリフト 他 No.362110
【糸リフト】頬コケ改善・チークトップアップで、自然で美しい輪郭へ
若返り / ヒアルロン酸ジュビダームビスタ バイクロスシリーズ No.362104
【頬コケ・ゴルゴライン改善ヒアル】目の下の凹みを改善し、若々しく美しい横顔へ
若返り / 目の下の切らないクマ・たるみ(ふくらみ)取り No.362102
【切らないクマ取り】目の下が変わると、人生が変わる。老け顔・疲れ顔の原因、30分でさよなら!
若返り / 目の下の切らないクマ・たるみ(ふくらみ)取り 他 No.362094
【若返りmuse】二子玉川院院長の青柳萌花による目の下の切らないクマたるみ取り★若々しい目元に!
若返り / 裏ハムラ法 No.362059
疲れて見える目の下のクマを裏ハムラで解消
若返り / VOV(ボブ)リフト No.362007
糸リフトの魔術師Drとみやまたかひろ!!ナチュラルだけど必ず変わるたるみ治療をあなたに!!!
若返り / 目の下の切らないクマ・たるみ(ふくらみ)取り 他 No.361967
【若返り】【クマ取り】医師歴8年以上のベテラン院長による日帰りクマ取り治療で一気に若返り!【30代女性】【切らない治療で若返りに】
若返り / 切らないミッドフェイスリフト 他 No.361424
古澤医師限定施術【切らないミッドフェイスリフト】で中顔面短縮!
若返り / ナチュラルクイック・MACSリフト No.361375
切開フェイスリフトは美容外科歴17年【若返りの名医】古澤にお任せください!



































































