【失敗しないクマ取り】あなたに最適なのは?「脱脂法」と「裏ハムラ法」の違い|【千葉センシティ院】


目の下のクマやたるみは、疲れた印象や老けた印象を与えてしまう悩みの種です。美容クリニックでのクマ取り治療には様々な方法がありますが、中でも代表的なのが「脱脂法」と「裏ハムラ法」です。
それぞれに異なる特徴があるため、「どちらが良い」と一概に言うことはできません。大切なのは、ご自身の目元の状態を正しく理解し、最適な施術法を見つけることです。
この記事では、脱脂法と裏ハムラ法の違いを比較し、あなたに合った治療法を見つけるための情報をご案内いたします。
メリット&デメリット
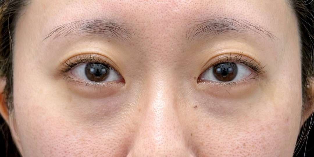
KUMATORI 01
目の下のふくらみを取る「脱脂法」
●メリット
・ 術式が簡単なため、執刀できる医師が多い
・ ややクマが目立つ方だと効果が分かりやすい
・ 涙袋がはっきりする可能性がある
●デメリット
・ 若手の医師でも執刀できる為、摘出する適量の見極めができず、くぼむリスクが高まる
・ 目の上がすでに窪んでいる方が、より悪化してしまう
※注意点
摘出する適量の見極めが大事な治療となる為、髙橋医師のような症例数や技術量の高い医師選びが大事になります。
また、目の上が窪んでいる方がこの治療を受けると、かえって窪みが悪化してしまうリスクがあり、目元の状態によっては、膨らみと窪みの両方を整える、または自分自身の脂肪を窪みにアプローチする方法が適している場合もあります。
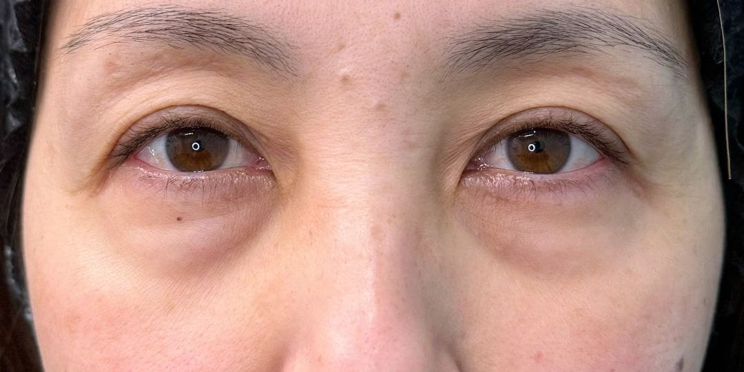
KUMATORI 02
脂肪を移動させて整える「裏ハムラ法」
●メリット
・ 目の下の膨らみと窪みを同時に解消できる
・ 脂肪を有効活用するため、自然でなめらかな仕上がりが期待できる
・ 目の上の窪みが悪化する心配が少ない
・ 移動するスペースとして目の下の靭帯剥離をする為、ゴルゴ線あたりの窪みも改善する
●デメリット
・ 施術自体の難易度が高いため執刀できる医師が少ない
・ 脂肪を適切な位置に再配置する高度な技術が必要
・ 皮膚のたるみ自体は改善するわけではない
※注意点
脂肪を適切な位置に動かして再固定する、高度な技術を要する施術です。しかし、ご自身の組織を最大限に活かせるため、脱脂に抵抗がある方や目の上がすでにくぼんでいる方の場合です。このような方が脱脂法を行うと、目周り全体の脂肪が少なくなり、目の上のくぼみがさらに強調されてしまう可能性があります。
Q&A クマ取りについてよくあるご質問
QUESTION 01
傷が残りますか?
QUESTION 02
カウンセリングから施術までの流れは、どんな感じですか?
今回は、49歳のモニター様のクマ取りに密着し、カウンセリングから施術までの流れを分かりやすく動画にしました!
運動が趣味のモニター様。クマ取り治療の種類では、運動の制限が1カ月かかるものも…果たして、今回はどのような治療内容や金額でクマ取り整形を決断するのでしょうか。総額費用や手術まで全てリアルにお届けします!
QUESTION 03
ダウンタイムはどれくらいですか?
この経過表を見るとダウンタイムの直後〜3日目に腫れのピークをむかえ、1週間〜2週間を経過すると腫れが引き始めます。
1ヶ月後には8~9割の方が腫れがひいていき、完成は3ヶ月後です。
裏ハムラ法と同時に脂肪注入した方は、脂肪の定着も3ヶ月後になります。
(画像:左←裏ハムラ法+ナノリッチ注入 右→脱脂+コンデンス・ナノリッチ注入)
【30秒でわかる】脱脂法と裏ハムラ法の違い
01
クマ取りに髙橋淳医師が選ばれる理由
01
髙橋医師は、脂肪を的確に再配置する繊細な技術を持っています。術後の「こんなはずじゃなかった」を防ぎ、滑らかで美しい目元を実現する技術力の高い医師です。
まずは、無料カウンセリングへ
01
大切なのは、鏡を見て「私の場合はどうだろう?」と考えてみること
・ 「膨らみもあるけど、その下の影(くぼみ)も気になる…」 と思うなら、両方を一度に解決できる裏ハムラ法が理想的な仕上がりをもたらす可能性があります。
目の下のクマやたるみで悩んでいる方、特にご自身の目元の状態に合った最適な治療を選びたい方は、ぜひ一度カウンセリングを受けてみることをおすすめします。経験豊富な医師に相談し、ご自身の希望と目元の状態に最適な治療法を見つけましょう。
千葉センシティ院が選ばれる理由
01
\千葉エリアで圧倒的な支持!/
🏆 症例数 関東No.1の実績
千葉センシティ院には、症例数関東No.1(※SBC内/二重・クマ取りにおいて)を誇る実力派ドクター「髙橋淳 院長」が在籍しています。
「千葉で美容医療を受けたいけれど、失敗したくない…」 そんな方こそ、確かな技術と豊富な経験を持つ当院へお任せください。
あなたの理想を叶えるための、最適なご提案をさせていただきます。
⭐ Googleクチコミ★4.5の高評価
実際に施術を受けた患者様から"★4.5"という極めて高い評価をいただいております。
✅カウンセリングが丁寧で安心できた
✅先生の技術が高く、仕上がりに大満足
といったリアルな声が、信頼の証です。
🚃 JR千葉駅から徒歩3分で通いやすい
千葉駅直結の「センシティタワー」内にあり、JR千葉駅から徒歩3分という好立地!
雨の日でも濡れずに来院でき、お買い物ついでにも立ち寄れる便利さが魅力です。
\【千葉センシティ院】をお選びください/無料カウンセリングを予約する ▶▼ 湘南美容クリニック 千葉センシティ院
千葉県千葉市中央区新町1000番地 センシティビルディング9階
(JR総武線 千葉駅 南口徒歩3分)
診療時間:10:00~19:00(最終カウンセリング予約/17:30)
電話番号:0120-955-559
実際に施術を受けた患者様から"★4.5"という極めて高い評価をいただいております。
✅カウンセリングが丁寧で安心できた
✅先生の技術が高く、仕上がりに大満足
といったリアルな声が、信頼の証です。
🚃 JR千葉駅から徒歩3分で通いやすい
千葉駅直結の「センシティタワー」内にあり、JR千葉駅から徒歩3分という好立地!
雨の日でも濡れずに来院でき、お買い物ついでにも立ち寄れる便利さが魅力です。
\【千葉センシティ院】をお選びください/無料カウンセリングを予約する ▶▼ 湘南美容クリニック 千葉センシティ院
千葉県千葉市中央区新町1000番地 センシティビルディング9階
(JR総武線 千葉駅 南口徒歩3分)
診療時間:10:00~19:00(最終カウンセリング予約/17:30)
電話番号:0120-955-559
▼ 湘南美容クリニック 千葉センシティ院
千葉県千葉市中央区新町1000番地 センシティビルディング9階
(JR総武線 千葉駅 南口徒歩3分)
診療時間:10:00~19:00(最終カウンセリング予約/17:30)
電話番号:0120-955-559
CLINICクリニック案内

女医在籍
モニター募集
駅チカ
| 所在地 | 千葉県千葉市中央区新町1000番地 センシティビルディング9階 |
|---|---|
| 診療時間 |
AM10:00~PM19:00(最終カウンセリング予約/17:30) ※年中無休 |
| アクセス | JR「千葉駅」中央改札から、南口へ進んで徒歩3分 |
湘南美容クリニック千葉センシティ院は、豊富なメニューを取り扱っています。
二重整形・目の下のクマ取りやボトックスをはじめとした若返り・エイジングケアの施術。クールスカルプティングや脂肪吸引注射といった医療痩身治療。肝斑・シミ取りの医療レーザー治療、医療脱毛、美容皮膚科など幅広い施術をご提案させていただきます。男性のお客様もお気軽にご来院くださいませ!
アクセスはJR「千葉駅」中央改札から南口へ進んで徒歩3分です♪
カウンセリングは無料です!まずはお気軽に、お電話もしくはメールにてお問い合わせください。
監修医師紹介








って何が違うの?.jpg)


