【埼玉でクマ取りするなら】目の下のクマ4種類と治療法を徹底解説|川口院 佐藤広太郎医師監修


はじめに|埼玉で増えている「クマ治療相談」
最近、埼玉エリアで急増しているのがこんなお悩みです👇
☑︎「疲れてる?」と聞かれる
☑︎コンシーラーでもクマが隠れない
☑︎朝から老け見えする
☑︎写真で目の下だけ影…
皆様に共通するのが、「自分のクマの種類が分からない…だから治療法も分からない…」
実はクマは1種類ではなく、4タイプに分かれ、原因も治療法も全く違います。
こちらの特集ではそんな奥深いクマの種類と治療法を解説していきます!
クマは大きく4種類
About 01
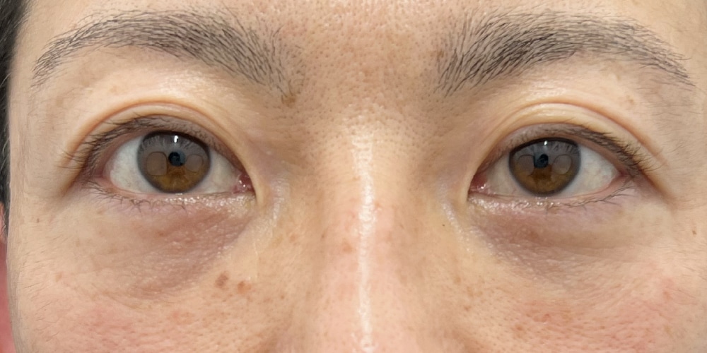
まずはセルフチェック
☑︎クマが薄くなる → 黒クマ(影クマ)
② 前を向いて鏡を持ち、目の下の皮膚をグッと下に引っ張ってみてください
☑︎クマの色味が皮膚についてこない⇨赤クマ・青クマ
☑︎クマの色味が皮膚と一緒についてくる⇨茶クマ
【タイプ別】クマの原因と治療法
Type 01
③ 黒クマ|影タイプ
眼窩脂肪のたるみ(膨らみ)・ゴルゴラインなどの凹み
◆ 特徴
膨らみと凹みがあることで影ができ、黒く見える。
◆ 治療法
膨らみ⇨クマ取り手術(目の下の切らないクマたるみ取り・アイバックリムーブ法・裏ハムラ法・切開ハムラ法)
凹み⇨脂肪注入(ナチュラル脂肪注射コンデンスリッチ)
Type 02
② 赤クマ|筋肉透けタイプ
筋肉・眼窩脂肪の突出による眼輪筋の圧迫
♦️ 特徴
筋肉が透けて赤く見える
♦️ 治療法
眼窩脂肪の突出⇨クマ取り手術(目の下の切らないクマたるみ取り・アイバックリムーブ法・裏ハムラ法・切開ハムラ法)
筋肉の透け⇨ナチュラル脂肪注射(コンデンスリッチ・ナノリッチ)
Type 03
青クマ|血行不良タイプ
目の下の血管・血行不良・皮膚が薄い
🔹 特徴
血管が透けて青っぽく見える
🔹 治療法
ナチュラル脂肪注入(コンデンスリッチ・ナノリッチ)
Type 04
茶クマ|色素沈着タイプ
色素沈着・摩擦(こする習慣)
🔸 特徴
皮膚に色味がついている状態
🔸 治療法
美白外用薬など
※手術では改善が難しいです
埼玉でクマ取りするなら|川口院佐藤広太郎医師
About 01
佐藤広太郎医師のクマ治療が刺さる理由
4種判定+複合クマも見極めます。
静止時と表情時の観察、触診、写真評価などでクマの原因を丁寧に診断します。
② 脱脂だけで終わらせない
必要があれば、脂肪注入やハムラ併用を提案いたします。
③ ナチュラル仕上げ特化
佐藤広太郎医師のクマとりは、「やった感」がなく自然に若返った印象になると評判です。
About 02
湘南美容クリニック川口院の特徴
☑︎地元で名医に任せたい
☑︎症例数の多い医師に任せたいが、予約が数ヶ月待ちなのは困る…
そこで選ばれているのが、湘南美容クリニック 川口院です。
都内から一駅・川口駅から徒歩3分とアクセス良好◎
さらに、🏆目の下の切らないクマ・たるみ取り症例数No.1(2024年上半期SBC内北海道東北エリア※秋田院在籍時)🏆
を獲得した佐藤広太郎医師の技術は全国基準!安心して手術を任せられます✨
よくある質問
QUESTION 01
セルフケアで治る?
やってしまいがちなマッサージも注意が必要です。マッサージによる摩擦で茶クマは悪化のリスクがあります。また皮膚が弛む可能性も…!
QUESTION 02
何歳くらいから手術する人が多い?
川口院では特に30代〜50代の方が多く受けられています。
QUESTION 03
脂肪注入は必要?
目の下〜ゴルゴラインの部分に凹みがある方や、赤クマ・青クマの方はご提案させていただくことが多いです。
料金案内
MOVIE動画
CLINICクリニック案内

女医在籍
モニター募集
駅チカ
| 所在地 | 埼玉県川口市栄町3-10-1長堀ビル5階 |
|---|---|
| 診療時間 |
AM9:00~PM6:00 最終カウンセリング予約16:30まで ※休診日なし 土・日・祝日も対応 |
| アクセス | 川口駅 徒歩3分 |
湘南美容クリニック川口院では、二重整形、クマ取りをはじめとする若返り治療や小顔治療も大変好評です。
また、しみ取り、医療ハイフ、ワキガ多汗症治療、医療脱毛、美容皮膚科などのSBC人気施術の取り扱いも多数ございます!
JR「川口駅」 東口より徒歩3分です♪
まずはお気軽に、お電話もしくはメールにてお問い合わせください。
監修医師紹介









