CLINICクリニック案内

駅チカ
| 所在地 | 東京都足立区千住3丁目74−1 第2 白亜ビル 2階 |
|---|---|
| 診療時間 |
AM10:00~PM7:00(最終カウンセリング予約/17:30) ※休診日:1月1日のみ |
| アクセス | 北千住駅 徒歩4分 |
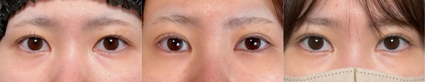
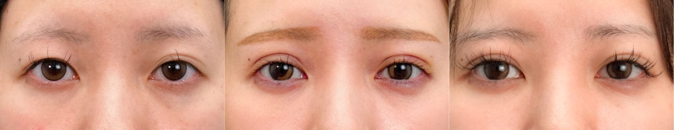
湘南美容クリニック北千住院は、若返り施術の実績が豊富な進藤院長が在籍。
そのほか、二重整形やクマ取り、糸リフト、眉下切開をはじめ、美容皮膚科の医療ハイフ、ヒアルロン酸、医療脱毛、シミ治療、ニキビ治療、ワキガ・多汗症など幅広い施術を取り扱っております。
「北千住駅」西口から徒歩4分です。
まずはお気軽に、お電話もしくはメールにてお問い合わせください。
監修医師紹介









