【2026年3月最新版】熊本|二重埋没+目頭切開のダウンタイムって?直後から3ヶ月まで経過を大公開!


【熊本】二重埋没+目頭切開のダウンタイムって?直後から3ヶ月まで経過を大公開!
SBC熊本院で人気の二重埋没+目頭切開。気になるダウンタイムは?中溝院長の丁寧な目頭切開の経過を、写真付きで徹底解説します📸
目頭切開のダウンタイムは「抜糸まで」が勝負!
COLUMN 01
ダウンタイム、いつがピーク?
でも、ご安心ください!
ダウンタイムの大きな山場は1週間後の「抜糸」まで。抜糸が終わると、かなりスッキリと自然な印象に変わります✨
COLUMN 02
中溝院長が選ばれる理由もここにあり
無駄のない正確な手術は組織へのダメージを最小限に抑えるため、術後の腫れや内出血が比較的少なく済む傾向があるんです。これが、中溝院長の目頭切開が選ばれる大きな理由です🪡
手術直後〜3ヶ月後までの経過を大公開①
COLUMN 01
経過をすべてお見せします!
こちらが施術前のお客様です。蒙古襞がしっかり張っていて目が離れて見えることと、一重まぶたにお悩みでした。
[受けた施術]クイックコスメティークダブルNeo+目頭切開プレミアム
麻酔の影響で腫れているため幅広に見えますが、どんどん落ち着いていきます。
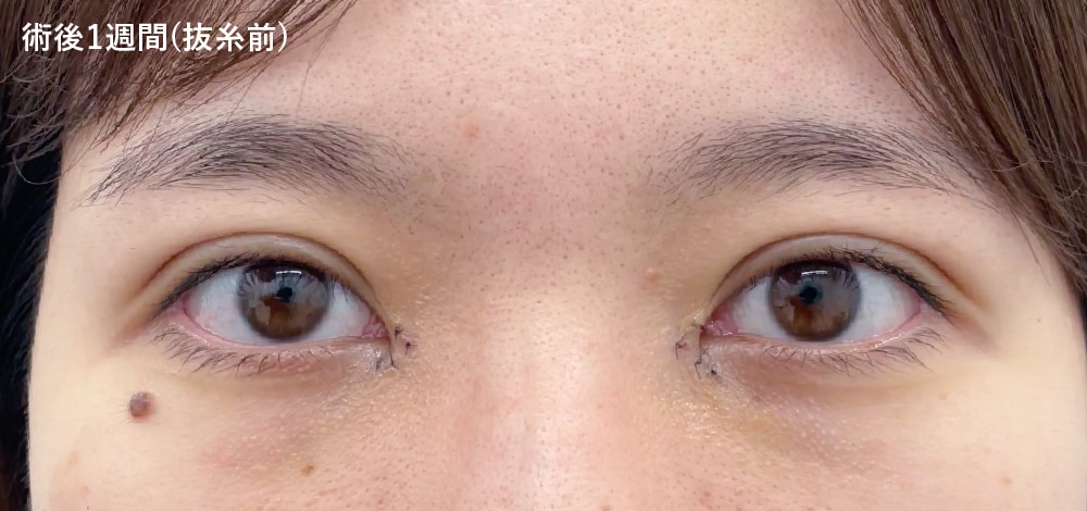
こちらが抜糸直前、術後1週間のお写真です。目頭にはまだ黒い糸がついており、腫れや内出血も少し見られますね。埋没法の腫れはかなり落ち着いています。ここがダウンタイムの一番の頑張りどころです📣
こちらが抜糸直後です。目頭の糸がなくなっただけで、一気にスッキリと自然な印象になりました。まだ傷跡の赤みはありますが、これならお化粧で十分カバーできるレベルです。
術後1ヶ月が経過しました。腫れも引き目頭の赤みもかなり目立たなくなってきました。理想としていたMIX型の二重がはっきりと見えてきましたね。
3ヶ月後の完成形です✨蒙古襞がなくなり、まるで生まれつきのような自然で華やかな二重になりました。すっぴんの状態ですが、傷跡もここまで綺麗になっているので全く気になりませんね♪中溝院長の丁寧な技術が光っています。
COLUMN 02
術前・3ヶ月後の比較
手術直後〜3ヶ月後までの経過を大公開②
COLUMN 01
経過をすべてお見せします!
こちらが施術前のお客様です。蒙古襞がしっかり張っていて目が小さく見えることと、一重まぶたにお悩みでした。目頭の涙丘(赤い部分)が露出していない方は、目頭切開が適応の場合が多いです。
[受けた施術]クイックコスメティークダブルNeo+目頭切開プレミアム
こちらが抜糸直前、術後1週間のお写真です。抜糸後はメイクが可能になるので、内出血も隠しやすくなります✨
中溝院長の症例写真をさらにご紹介♪
COLUMN 01
たるみ取り併用全切開二重術+目頭切開プレミアム
COLUMN 02
クイックコスメティークダブルNeo+目頭切開プレミアム
埋没法でたるみを引き上げ、目頭切開を併用して蒙古襞のつっぱりを解消しました。バラバラだったラインがスッキリと1本にまとまり、まるで見違えるように若々しい印象に✨目の開きも劇的に良くなり、光が入りやすいパッチリとした瞳に大変身しました。
COLUMN 03
クイックコスメティークダブルNeo+目頭切開プレミアム
目頭切開は数ミリの変化ですが、お顔の印象をかなり左右する大事なポイントです💡
「蒙古襞があるかも?」「蒙古襞があるかわからないけどとりあえず見て欲しい…」という方もお気軽にカウンセリングへお越しください^^
COLUMN 04
クイックコスメティークダブルNeo+目頭切開プレミアム
目頭切開したら平行二重にしないといけないわけではありません。目と目の間の距離をやんわりと縮めるために併用される方も多くいらっしゃいます。離れ目が気になっている方には特におすすめです✨
CLINICクリニック案内

女医在籍
モニター募集
駅チカ
| 所在地 | 〒860-0808 熊本市中央区手取本町 4-1 大劇会館6階 |
|---|---|
| 診療時間 |
AM9:00~PM6:00 ※全日営業(元日のみ休診) |
| アクセス | 市電電停・バス停 「通町筋」 徒歩約1分 |
熊本で美容整形するなら、湘南美容クリニック熊本院!
当院では、人気の二重整形(目元の整形)をはじめ、クマ取りや糸リフト等の若返り施術、鼻整形、医療ダイエット、医療脱毛(全身脱毛、VIO脱毛・メンズ脱毛)、医療ハイフ、シミ取り、ダーマペン、婦人科形成(女性器の整形)、美容皮膚科治療などを取り扱っております。
外科・皮膚科共に幅広い施術から、お客様のお悩みに合わせて最適なご提案を致します!
市電「通町筋駅」より徒歩1分です♪
まずはお気軽に無料カウンセリングにお越し下さい。
お電話もしくはメールにてお問い合わせ可能です。
監修医師紹介
・学会活動:第112回日本美容外科学会(JSAS) 発表
「重瞼術後の眉毛位置変化について~216 の眼瞼における変化率の解析から仕上がりを予測する~」
・学術サポーター







