NEWS新着情報
【眉下リフト最大20%OFFキャンペーン開始】

【キャンペーン内容】
・眉下リフト(眉下切開) 定価/部分モニター金額から15%OFF
・裏ハムラ、目の下の切らないクマたるみ取りと同日の場合は、定価/部分モニター金額から20%OFF
【キャンペーン価格】
眉下リフト
通常価格 270,000円▶︎229,500円
モニター価格 189,000円▶︎160,650円
眉下リフト+裏ハムラ/目の下の切らないクマたるみ取り併用時
通常価格 270,000円▶︎210,000円
モニター価格 189,000円▶︎151,200円
【キャンペーン期間】
2026年2月17日〜4月15日
⚠️松山院では拡張工事の影響で
3月28日以降は手術ができません🙇🏻♀️
【眉下リフトとは】

眉下リフト(眉下切開)は、眉下のたるんだ皮膚を切開して引き上げる、たるみ改善の施術です。まぶたのたるみによって目の開きが悪くみえたり、本来の二重ラインが隠れてしまったりすることがあります。
まぶたの余剰皮膚を除去して引き上げ、眉毛に沿って縫合することで、傷跡がほとんど目立ちません。二重術なしで目ヂカラUPや若返りの効果が期待できます。
【眉下リフトは実績多数の迫田医師】

松山院院長迫田医師は
眉下リフト症例件数No.1 (2025年上半期中四国エリア)
眉下リフト症例件数No.1 (2025年下半期中四国エリア)
と非常に多くの症例件数があり、非常に繊細な技術が必要な
切開を伴う手術が得意です🫶🏻
【迫田医師の眉下リフト症例】

↓


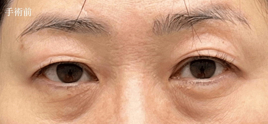
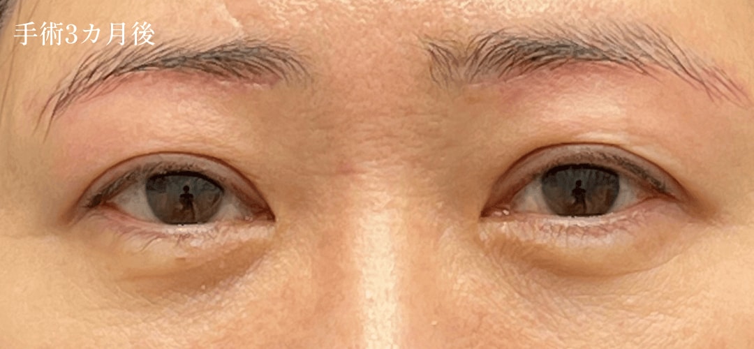
[施術内容:眉下リフト+裏ハムラ+ナノリッチ 50代女性]
元々二重のお客様ですが、余った皮膚が二重ラインを隠して
しまっていましたが、皮膚を取り除くことで
お客様本来の二重ラインが出てきました🫶🏻
そして、こちらのお客様は眉下リフトと同時に
裏ハムラでクマ取りもされているので
目の上だけでなく、目の下まで若々しく変化されました✨
術後の写真は術後3カ月のため、ノーメイクだと創部(切開部分)がまだ赤みがございますが
眉毛のラインに沿った切開ラインのためメイクで傷は隠せます✨
なお、傷の赤みも数か月で徐々に目立たなくなります

↓


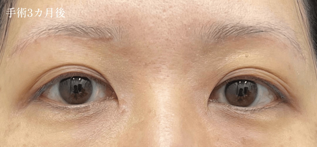
[施術内容:眉下リフト 40代女性]
創部(切開部分)の赤みほぼなし✨
余った皮膚が重なることで眠そうな印象から
瞳に光が入りパッチリいきいきとした雰囲気になりました
【眉下リフト(眉下切開)の特徴】

⚠️注意⚠️
キャンペーン期間は2026年2月17日〜4月15日ですが
松山院は拡張リニューアルOPENを控えており
拡張工事の影響で3月28日以降は手術ができない期間に
なりますのでキャンペーン価格での手術をご検討の方は
お早めのカウンセリング予約をお願いいたします
CLINICクリニック案内

駅チカ
| 所在地 | 愛媛県松山市湊町4‐10‐8 BE-FLATビル3階 |
|---|---|
| 診療時間 |
AM9:00~PM6:00 ※[休診日]1/1のみ |
| アクセス | 伊予鉄松山市駅 徒歩3分 ※12/31~1/1はビル休館日の為、裏玄関の屋外階段よりご来院ください。 ※9時にビルの銀天街側の扉開錠となります。9時前よりご来院される方は裏玄関の屋外階段よりご来院ください。 |
湘南美容クリニック松山院では、二重整形をはじめ、目の下のクマ取り、鼻整形、婦人科形成、小顔治療、シミ取り、医療ハイフ、医療脱毛、美容皮膚科治療など幅広い施術を取り扱っております。
伊予鉄「松山市駅」より徒歩3分と好立地です♪
まずはお気軽に、お電話もしくはメールにてお問い合わせください。
監修医師紹介




