男性クマ取りするならSBC名古屋駅本院”高川医師”がおすすめ【徹底解説】
①メリット
②治療の選び方
③クリニックの選び方
④ダウンタイム
⑤費用
の部分で名古屋駅本院がおすすめの理由を解説していきます。


SBC名古屋駅本院ではクマ取り名医”高川裕也医師”が在籍しています。「目の下のクマやたるみ」でお悩みの方は高川医師にご相談ください!
※高川医師の実績
▷美容外科医歴17年 総執刀数2万件超
▷目の下の切らないクマ取り中部No.1 (2024,2025年2年連続上,sbc内,症例数)
▷裏ハムラ法全国No.2 (2023下半期sbc内症例数)
男性クマ取りが急増中!男性クマ取りのメリットとは?
QUESTION01 01
男性クマ取りのメリット
クマがあると実年齢より老けて見られたり、疲れた印象になります。もし鏡を見て”自分も当てはまるかも”と思った方はクマ取りをして脱おじさん顔しましょう。
自分に合った治療を選ぼう
section1 01
クマの種類
クマの種類を自分で見分る方法は
●目の下を引っ張って薄くなれば「青クマ」
●目の下を引っ張っても変わらなければ「茶クマ」
●上を向いて薄くなれば「黒クマ」です。
ぜひ鏡を使用して自己チェックしてみてください。
ご自身で分からない場合は無料カウンセリングにお越しください♪
section2 02
治療方法の種類
どちらの施術も30分ほどで終わり、顔の表面に傷が残らない施術となってます。
section3 03
クマ取りと併用がおすすめな治療
膨らみのみの場合は脱脂術や裏ハムラ法のみで改善することができますが、
凹みがある場合は脂肪注入を併用して凹みの部分に直接アプローチをする治療が必要になります。
section4 04
自分に合った治療の選び方
☆裏ハムラ法→膨らみ解消&再発予防のW効果
☆脂肪注入→色味・シワ・窪み、いずれかの悩みがある
お目元状態は一人一人違うので、診察であなたに合った治療を提案をします♪
幅広い術式の提案ができるクリニックを選ぼう
QUESTION 1 01
SBC名古屋駅本院がおすすめな理由
実績と技術のある高川医師が在籍しているため、いくつもの治療内容からあなたに合った治療をご提案することができます。
名駅から徒歩5分なのも嬉しいですよね★
QUESTION 2 02
高川医師が人気の理由
1、クマ治療でNo 1※ 受賞歴あり
※目の下の切らないクマ取り中部No.1 (2024,2025年2年連続,sbc内症例数)
2、仕上がりが綺麗
3、ご提案出来る術式が多い
ベテランドクターだからこそです!
4、知り合いも高川でオペしてるから
紹介でのご指名も多数👨⚕️
クマ取りのダウンタイム
QUESTION 1 01
クマ取りのダウンタイムについて
・期間:1週間(脂肪注入を併用した場合は2週間程度)
・傷跡:なし
・通院:なし (脂肪注入を併用した場合は抜糸のため1週間後に来院が必要)
・お酒:施術1日前〜1週間 禁酒
・タバコ:施術2日前〜1週間 禁煙
・サウナや激しい運動:1ヶ月間NG
お得にクマ取りする裏技○○割とは?
QUESTION 1 01
モニター制度でお得にクマ取りしよう
公式ホームページやSNSでビフォーアフターの症例写真を見たことがある方は多いはず!
それらは全て【モニター制度】です!
〜デメリット&メリット〜
メリット:通常よりも安い料金で手術が受けられる
デメリット:美容整形を受けたことを、身内や友人にバレるリスクがある
モニターには事前に医師による審査があります。
ぜひ一度カウンセリングでご相談ください♪
QUESTION 2 02
遠方の方は限定のサービスを利用しよう
・領収書の提出が必須です。
・現住所が確認できるもの(運転免許証等)を必ずご持参下さい。
※領収書の提出がない場合は交通費サポート費用をお支払いができなくなります。
※身分証明書のコピーを頂戴いたします。
男性クマ取りモニター募集しています★
QUESTION 1 01
モニター大募集!
クマ取りしたい方はぜひこの機会に無料カウンセリングへお越しください♪
モニター応募フォーム
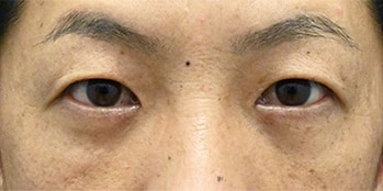
BEFORE AFTER施術前と施術後の変化
-
施術前

1 ヶ月後

-
施術前

1 ヶ月後

-
施術前

3 ヶ月後

-
施術前

3 ヶ月後
.png)
-
施術前

3 ヶ月後

-
施術前

1 ヶ月後

CLINICクリニック案内

モニター募集
駅チカ
| 所在地 | 愛知県名古屋市中村区名駅四丁目8番26号 エニシオ名駅3階 |
|---|---|
| 診療時間 |
AM9:00~PM6:00(最終カウンセリング予約PM4:30まで) ※休診日:元旦のみ |
| アクセス | 名古屋駅 徒歩5分 |
中部エリア最大級の湘南美容クリニック名古屋駅本院では、二重整形やクマ取り、小顔整形、脂肪吸引をはじめ、美容皮膚科治療まで幅広い施術をご提供しています。
どの施術においても、経験豊富で高い技術を持つ医師が在籍しており、お悩みに寄り添ったご提案が可能です。
「名古屋駅」より徒歩3分とアクセスも抜群!
まずはお気軽に、お電話またはメールにてご相談ください♪
監修医師紹介







