デューコラーゲン症例まとめ【目元へ高純度コラーゲン】
「デューコラーゲン」の効果がやっぱり良い!!!


これでデューコラーゲンが丸わかり◎
SBC新宿本院と五反田院限定で始まっております(※25年12月現在)
症例やダウンタイム、他の製剤との比較をまとめましたのでご参考ください♪
高純度コラーゲンが目元をふっくら改善【デューコラーゲン】
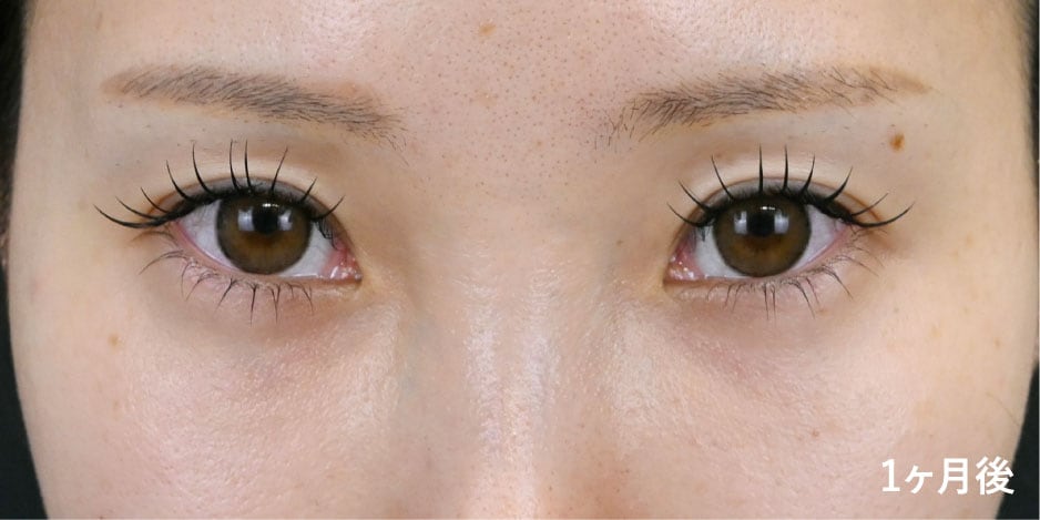
PHOTO 01
20代女性 目の下


目の下のクマが改善して、メイクも時短になりますね♪
担当医:松原 譲ニ
施術名:デューコラーゲン(Deusaderm)
施術の説明:SPF豚由来のコラーゲンを直接肌に注入する事で、目の下のクマ・くぼみ・ほうれい線等の改善が期待できる施術です。
施術の副作用(リスク):疼痛・腫れ・内出血・アレルギー・赤み・しびれ・血管閉塞・しこりの可能性がございます。
施術の価格:99,000円
PHOTO 02
30代男性 目の下


男性の方にもおすすめです!凹みがふっくらとしているのがわかりますね✨
担当医:松原 譲ニ
施術名:デューコラーゲン(Deusaderm)
施術の説明:SPF豚由来のコラーゲンを直接肌に注入する事で、目の下のクマ・くぼみ・ほうれい線等の改善が期待できる施術です。
施術の副作用(リスク):疼痛・腫れ・内出血・アレルギー・赤み・しびれ・血管閉塞・しこりの可能性がございます。
施術の価格:99,000円
ボリューム補充にも◎【デューコラーゲン】
PHOTO 01
50代女性 こめかみ・頬・ほうれい線
また皮膚そのものの“ハリ構造”が回復し、自然に若々しい印象となっています👀✨
ダウンタイムや痛みは?
QUESTION 01
デューコラーゲンのダウンタイム
メイクは翌日から可能です。
施術名:デューコラーゲン(Deusaderm)
施術の説明:SPF豚由来のコラーゲンを直接肌に注入する事で、目の下のクマ・くぼみ・ほうれい線等の改善が期待できる施術です。
施術の副作用(リスク):疼痛・腫れ・内出血・アレルギー・赤み・しびれ・血管閉塞・しこりの可能性がございます。
施術の価格:99,000円
QUESTION 02
デューコラーゲンは痛い?
痛みが不安な方にはオプションで麻酔テープ・クリームや笑気麻酔のご用意もございます。
ベビーコラーゲンとの違い
QUESTION 01
ベビーコラーゲンはヒト胎盤由来、デューコラーゲンはブタ由来
QUESTION 02
ただのブタじゃない【SPF豚由来】
後から熱処理などで無菌にするのではなく、最初から無菌状態で育てた質の高い豚を使用しております。
ヒアルロン酸との違い
QUESTION 01
ヒアルロン酸はチンダル現象のリスクがある
目元のクマ改善にはデューコラーゲンのような馴染みやすいコラーゲン製剤がおすすめです✨
コラーゲン製剤は後からの修正が難しいので
腕のある医師を選ぶことが重要です☝️
日本初導入って安全なの?
QUESTION 01
世界各国で薬事承認を取得
新宿本院へご相談ください【院限定治療です】
QUESTION 01
カウンセリングは無料です
新宿本院は外科も皮膚科もトップドクターが揃っております。是非一度ご相談ください♪
監修医師紹介
湘南美容グループ統括院長









