【静岡駅チカでアクセス良好】目の下のクマ取り治療するなら実績豊富な名医が在籍している湘南美容クリニック静岡院へ!
SBC静岡院では日帰りで目の下のクマ取り・たるみ治療を受けられます。
目元整形の名医である飯田 誠丈先生の圧倒的な技術力により施術後の腫れや内出血などダウンタイム最小限!
目の下のクマを根本から改善し美しく若々しい目元を手に入れるなら
湘南美容クリニック静岡院にお任せください。


静岡で目の下のクマ取り治療を受けるならSBC静岡院へ✨
こちらの特集では、スキンケアでも改善が難しい目の下のクマについて詳しく解説!当院で受けられるクマ改善治療も合わせてご紹介します♪
目の下のクマの種類やクマができてしまう原因やリアルなクマ取り後ダウンタイム中はバレない?徹底解説します!
クマ取り治療で失敗しないために最後までチェックしてみてください!
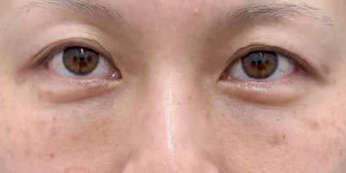
【目元整形のプロ】SBC静岡院院長Dr.飯田が執刀したクマ取り症例はこちら
photo 01
【年齢別】女性のクマ取り治療症例
20代女性:目の下の切らないクマ・たるみ取り/ナチュラル脂肪注射コンデンスリッチ(目の下〜ゴルゴ)
30代女性:裏ハムラ法/ナチュラル脂肪注射ナノリッチ(目の下)
40代女性:目の下の切らないクマ・たるみ取り/ナチュラル脂肪注射ナノリッチ(目の下〜ゴルゴ)/ナチュラル脂肪注射コンデンスリッチ(目の下〜ゴルゴ)
50代女性:目の下の切らないクマ・たるみ取り/ナチュラル脂肪注射ナノリッチ(目の下〜ゴルゴ)/ナチュラル脂肪注射コンデンスリッチ(目の下〜ゴルゴ)
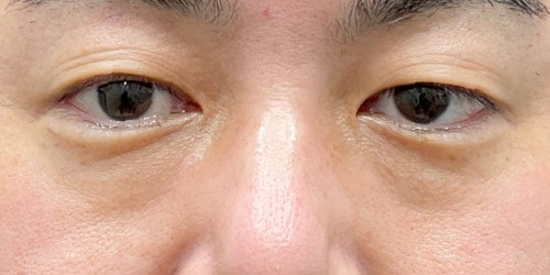
photo 02
【年齢別】男性のクマ取り治療症例
20代男性:目の下の切らないクマ・たるみ取り/ナチュラル脂肪注射コンデンスリッチ(目の下〜ゴルゴ)
40代男性(上):目の下の切らないクマ・たるみ取り/ナチュラル脂肪注射コンデンスリッチ(目の下〜ゴルゴ)
40代男性(下):目の下の切らないクマ・たるみ取り/ナチュラル脂肪注射ナノリッチ(目の下)/ナチュラル脂肪注射コンデンスリッチ(目の下〜ゴルゴ)
目の下のクマのタイプ別にできてしまう原因を解説!
type 01
目の下のクマには大きく分けて4タイプに分かれます!
メイク汚れや摩擦での色素沈着によって茶色く変化してしまっているクマ。
目の下を引っ張っても色がついてくるのが特徴です。
茶クマを改善するには「ハイドロキノン」「トラネキサム酸」「ビタミンC」を含む美白クリームや色素沈着を改善するレーザー治療を根気強く続けて治療していくことで改善効果が期待できます✨
【②黒クマ(影クマ)】
目の下の膨らみや凹みが影となり黒っぽく見える状態で、加齢や遺伝的な要素が影響していることが多く、
コンシーラーで隠すことも難しくてスキンケアでも改善するのが難しいクマ。
上を向いた時に目立つクマであれば黒クマの可能性が高いです。
黒クマ改善するには、目の下の切らないクマ・たるみ(ふくらみ)取りや裏ハムラ法などがおすすめです✨
【③赤クマ・青クマ】
睡眠不足や運動不足、スマホやパソコンの長時間使用により、血行が悪くなり出てきてしまうクマ。
目の下を引っ張ると見えてくるのが特徴です。
赤クマ・青クマを改善するには、脂肪注入がおすすめです✨
type 02
黄金ゾーンが変わるだけで、お顔の印象が変わります!
目の下のクマを改善し、脱・疲れ顔!
黄金ゾーンとは?
綺麗にファンデーションなどのメイクをのせるだけで若々しく印象に見えると言われる場所(画像の赤い点線内)
湘南美容クリニック静岡院で受けられる目の下のクマ取り治療をご紹介!
osusume 01
SBC静岡院で受けられるクマ治療はバリエーションが豊富✨
☑︎目の下の切らないクマ・たるみ取り(脱脂)
☑︎裏ハムラ法
☑︎ミニ裏ハムラ法
☑︎脂肪注入(ナチュラル脂肪注射/コンデンスリッチ/ナノリッチ)
☑︎切開ハムラ法(表ハムラ法)
☑︎アイバックリムーブ法
☑︎モフィウス8
上記施術全て対応◎
お客様一人ひとりの目の下のお悩みに合わせて最適な施術のご提案が可能です!
osusume 02
目の下の切らないクマ取り・たるみ(ふくらみ)取り
医療的には「経結膜脱脂術」と呼ばれ、結膜というまぶた裏の粘膜を5〜7mmほど切開し、表に傷を残さずに脂肪を除去します。
💡施術のポイント
【目の下のふくらみの原因、眼窩脂肪を除去】
→ふくらみの原因である「眼窩脂肪(がんかしぼう)」を、まぶたの裏側を5〜7mmほど切開し、表面に傷跡を残さず取り除きます。
脂肪は内側・中央・外側の3部位から、お客様の状態に合わせてバランス良く除去。自然でなめらかな仕上がりを目指します。
【短時間でスムーズな日常復帰(ダウンタイムが短い)】
→施術後の腫れや内出血は比較的少なく、ダウンタイムも短いため、お忙しい方でも日常生活にスムーズに戻れます。
【安心の均一料金】
→除去する脂肪の量に関わらず、料金は一定です。安心して施術をお受けいただけます。
osusume 03
ミニ裏ハムラ法
まぶたの裏側(結膜側)を数ミリ切開し、原因となる「眼窩脂肪」を移動・調整することで、表面に傷跡を残さず、凹凸のないなめらかな美しい目元へ。
💡 施術のポイント
【ふくらみとハの字線を同時に解消】
まず、クマの原因である「眼窩脂肪(がんかしぼう)」を一度取り出し、次に「ハの字線(ティアトラフ)」の溝を作っている原因の靭帯をピンポイントで剥離(カット)します。
剥離してできたスペースへ、採取した脂肪を再配置(移植)することで、膨らみと凹みを同時にフラットに整えます。
【靭帯(リガメント)の引き込みを根本からリセット】
通常の「脱脂(脂肪取り)」だけでは、靭帯による皮膚の引き込み(ハの字の溝)は解消できません。
ミニ裏ハムラは、この頑固な引き込みを内側から解除するため、脱脂だけでは満足できなかった方にも非常に効果的な施術です。
【表面に傷跡を残さない、最小限のアプローチ】
「ミニ」の名の通り、切開範囲を数ミリの最小限に抑え、まぶたの裏側からアプローチします。
お顔の表面に傷跡が残る心配がなく、周囲に気づかれにくい自然な仕上がりと、スムーズな日常生活への復帰が可能です。
osusume 04
裏ハムラ法
💡 裏ハムラ法の仕組み
【原因の特定】
目の下のクマやふくらみは、眼球を支える眼窩脂肪が前方に押し出されて膨らみとなり、その下に溝(くぼみ)ができることで生じます。
【脂肪の移動(再配置)】
膨らんでいる部分からくぼんでいる部分に眼窩脂肪を移動させることで、膨らみと溝を同時に改善しフラットな状態にすることができます。
そのため、眼窩脂肪を切り離すことなくクマを改善することが可能です◎
osusume 05
脂肪注入
脂肪注入単体はもちろん、目の下の切らないクマ取り・たるみ(ふくらみ)取りや裏ハムラ法などと併用して受けるのもおすすめです✨
そのため、 リスクを抑えながらも多くの脂肪を注入することができ、高い定着率を実現し、吸引した脂肪を最大限に活かせる若返り法です。
ジェルのように滑らかな幹細胞となり、より自然な仕上がりが期待できます✨
お顔で不足したボリュームを補うだけでなく、肌質やシワ自体も改善する、画期的な治療です!
osusume 06
切開ハムラ法(表ハムラ法)
💡切開ハムラ法の特長
【脂肪を移動(再配置)し、凹凸をフラットに】
膨らんでいる部分の眼窩脂肪を切り離さずに、その下のくぼんでいる部分へ移動させます。
これにより、「膨らみ」と「溝」を同時に解消し、目の下を滑らかでフラットな状態に整えます。
【余分な皮膚も同時に切除し、たるみを改善】
目立ちづらい下まつ毛の際から皮膚を切開するため、同時に余分な皮膚も切除できます。
目の下の膨らみが大きい方や皮膚の余り・シワが気になる方に特におすすめの施術で、たるみも同時に改善し、ハリのある目元へ導きます。
【傷跡が目立ちにくい切開ライン】
下まつ毛の際の傷跡は術後ほとんど手術跡が目立たなくなります。
osusume 07
アイバックリムーブ
下瞼を支える力が弱い人には、眼輪筋の引き上げ固定や、緩んだ下瞼の短縮手術などが必要です(追加には別途料金がかかります)。
下まぶたのまつ毛下の皮膚を切開するので、術後抜糸が必要です。
皮膚の切開線はまつ毛の際に隠しますので、お時間が経過すればほとんどわかりません。
osusume 08
クマ取り施術したいけど、手術が怖い…と悩んでいる方におすすめ!
【静岡県唯一*🔥導入開始】モフィウス8
ポテンツァやシルファームなどもマイクロニードルRFの一種ですが、モフィウス8は広い皮膚構造(真皮~皮下組織・皮膚表面まで)に向かって熱を照射でき、強いタイトニング効果が期待できます!その他、目元のたるみ・しわ改善・肌のハリの効果が期待できます!
目の下のたるみが目立ってきた方やぷっくりと立体的なクマが気になる方、目元のしわ・たるみを改善したい方におすすめです‼️
全国でも話題の本当に切らないクマ治療【モフィウス8】で目の下のぷっくりしたクマを改善しませんか?
*SBC内
※ダウンタイムとしては、約1~2週間赤みや浮腫くみが出たり、内出血がおこる可能性がございます。
ークマ取りするなら名医である 飯田 誠丈医師ー 全国から指名予約が殺到している理由
surgeon 01
全国から飯田先生が選ばれる理由とは?
長年の経験に裏打ちされた高い技術力で、お客様一人ひとりの目元の状態を丁寧に診察し最適な施術をご提案します。
【洗練されたデザイン】
お客様のお悩みや理想に合わせて、圧倒的な美的センスを活かしこだわり抜いたデザインをご提案。
あなたの顔立ちに合わせてデザインしていきます!
【スピーディーかつ丁寧な手術】
お客様の負担を減らすためにも手術時間を短く、仕上がりは妥協しない丁寧さ。さらに、麻酔の量も細かく調整することで、身体への負担を最小限に抑えています。
【自然な仕上がり】
術後の変化に違和感がなく、周囲に気づかれにくい、美しさと自然さを実現!「まるで元から綺麗だったかのような自然な仕上がり」を追求します。
【極小ダウンタイム】
高い技術力があるからこそ、術直後から腫れや内出血を最小限に抑えてお客様の負担を大幅に軽減!
【全国から指名予約殺到中】全国から指名予約が殺到するほど、「飯田先生にお願いしてよかった!」と多くのお客様が感動の声が届く確かな技術と実績があります。
また、繊細なデザイン力と仕上がりの美しさで選ばれ続ける、クマ取りの達人です。
膨大な執刀経験に裏打ちされた確かな技術で、目の下のクマ・ふくらみ・たるみなど、あらゆる目の下の悩みに対応します。
「目の下の切らないクマ取り」から高度な「裏ハムラ法」などまで、お客様のクマの状態をしっかりと見極めてベストな施術をご提案いたします。
クマ取り治療(目元の若返り術)のよくある質問Q&A
QUESTION 01
まだ若いのですが、目の下のクマが気になります。治療適応か心配です。
自己判断が難しい場合は、無料カウンセリングで医師が診察いたしますのでお気軽にご来院ください♪
QUESTION 02
クマ取り治療の腫れや内出血などのダウンタイムはどれくらいですか?
余裕を見て1週間〜は安静にして頂くことをおすすめします。
こちらの症例は、実際に当院で目の下の切らないクマ取り・たるみ(ふくらみ)取りと脂肪注入を一緒に受けられました。
これからクマ取り治療をお考えの方は参考にしてください♪
また、ダウンタイム中に【絶対NGな行動】もまとめました!
①飲酒、喫煙
②激しい運動、サウナ
③うつ伏せで寝ること
④無理なダイエット
施術後に浮腫ができるとダウンタイムが長くなる原因の一つになります。
できるだけ早く回復するためにも、1~3の行動はなるべく控えましょう✊
④は、クマ取り施術で脂肪注入を受けられた方必見!
脂肪が定着するまでに半年程度かかるため、
せっかく入れた脂肪がダイエットをしたことで減ってしまった…とならないためにも無理なダイエットはお控えください。
QUESTION 03
日によって目の下のクマが出たり出なかったりします。まだ治療しなくても良いでしょうか?
気になる場合は早めの治療をおすすめします。
QUESTION 04
クマ取りと脂肪注入は必ず併用した方がいいですか?
ですが、重度のクマやたるみにお悩みの方は脂肪注入との併用をおすすめしております。
無料カウンセリングでお客様のお悩みや状態に合わせて最適な施術をご提案させていただきます。
QUESTION 05
カウンセリング当日にクマ取りの手術を受けることはできますか?
クリニックの状況によっては後日のご案内となる場合もございます。また、週末や連休期間などは混雑が予想されますので、こちらの期間で施術を受けられたい場合は事前にカウンセリングへお越しいただくことをおすすめします。
BEFORE AFTER施術前と施術後の変化
-
施術前

1 ヶ月後

-
施術前

1 ヶ月後

-
施術前

3 ヶ月後

-
施術前

3 ヶ月後

-
施術前

1 ヶ月後

-
施術前

1 ヶ月後

-
施術前

3 施術後

-
施術前

3 施術後

POPULAR静岡院の人気の特集を見る
-


2026.3.17
たるみ治療
ついに【エンブレイスRF】導入!静岡で脂肪吸引・強力引き締め効果でたるみ改善するなら湘南美容クリニック静岡院へ✨
-


2026.1.13
たるみ治療
【静岡駅チカ】静岡で待望の最新たるみ治療【デンシティ】を受けるなら湘南美容クリニック静岡院へ!
-


2026.3.14
クマ取り
【静岡駅チカでアクセス良好】目の下のクマ取り治療するなら実績豊富な名医が在籍している湘南美容クリニック静岡院へ!
-


2025.11.26
二重整形
静岡駅近!静岡で整形するなら、全国トップレベルの技術力を持つ湘南美容クリニック静岡院院長 飯田 誠丈医師にお任せください!【二重・小顔・脂肪吸引・豊胸・美容皮膚科など】
CLINICクリニック案内

モニター募集
駅チカ
| 所在地 | 静岡県静岡市葵区御幸町6-10 静岡モディ7階 |
|---|---|
| 診療時間 |
9:00~18:00営業 最終カウンセリング予約16:30まで ※休診日:元日(1月1日) |
| アクセス | JR東海道線 静岡駅 徒歩5分 静岡鉄道 静岡清水線 新静岡駅 徒歩5分 |
湘南美容クリニック静岡院では、二重整形・若返り術(クマ治療・糸リフト・ヒアルロン酸)のお顔の整形術から、豊胸術や脂肪吸引・婦人科形成などお身体のお悩みにも幅広く対応できる男性医師・女性医師が在籍しております。
医療脱毛・美容皮膚科(シミ取り・美肌治療・医療ハイフ・クールスカルプティング ・ミラドライetc)・AGA治療など幅広い皮膚科治療も取り扱っております。
■JR東海道線「静岡駅」から徒歩5分
■静岡鉄道 「新静岡駅」から徒歩4分
まずはお気軽に、お電話もしくはメールにてお問い合わせください。
監修医師紹介



