クリニック案内 東京都のクリニック 湘南美容クリニック 新宿南口院 特集記事 クマ取り 【外科クマ治療】種類・特徴・おすすめ施術をルークひのきが徹底解説!

メニュー

SPECIAL特集記事

【外科クマ治療】種類・特徴・おすすめ施術をルークひのきが徹底解説!

目の下のクマは、脂肪の膨らみ・凹み・たるみなど原因がさまざまです。
この記事では、全国でもクマ治療に定評のあるSBC全国クマ取りおすすめドクターのルークひのき(檜山和弘医師)が、それぞれの施術の特徴やおすすめポイント、完成までの期間などわかりやすく解説します。

外科治療で若々しい目元を目指したい方に、必見の内容です。

※MySBCへのログインが必要です

湘南美容クリニックの外科クマ治療

No. 01

治療一覧表

治療一覧表
気になる目の下のクマも、原因や状態によって最適な治療法は人それぞれ。
「自分にはどの施術が合うの?」と迷ったら、まずは医師にご相談ください。
ここからは、ルークひのき医師がおすすめのハムラ法を詳しくご紹介します!

ルークひのきのおすすめクマ治療

No. 01

裏ハムラ法

下まぶたの裏側(結膜側)からアプローチし、
脂肪を「除去せず、移動」させることでふくらみと凹みを同時に改善します。


ーこんな方におすすめー
* 目の下のふくらみ+影が気になる方
* 自然な仕上がりを希望する方
* 傷跡を残したくない方

ビフォー
アフター

20代前半女性
施術内容:裏ハムラ法+VOVリフト4本
★目の下の膨らみと影で疲れた印象が自然なハリと明るさが戻りました



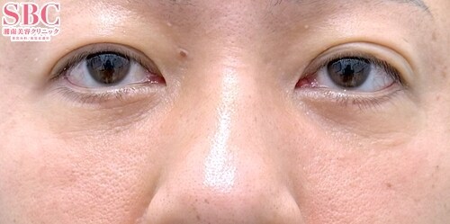
ビフォー
アフター

30代後半女性
施術内容:裏ハムラ法+テスリフト4本+VOVリフト4本+プリマリフト4本
★メイクで隠れなかった目の下の膨らみが解消され、目元が若返りました!

No. 02

裏ハムラ法+皮膚切除(ハムラスキンリフト)

裏ハムラで改善しにくいシワや皮膚のたるみがある方におすすめ。
下まつ毛の際を短く切開し、余分な皮膚を除去します。


⭐️切開ハムラより切開線が短く、外反リスクが少ないのが特徴。

ーこんな方におすすめー
* 目の下のふくらみ+影が気になる方
* 目の下のたるみがまぶたから15ミリ以内かつ皮膚の余剰がある方

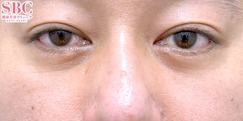
ビフォー
アフター

40代後半男性
施術内容:裏ハムラ法+下瞼たるみ取り+テスリフト2本+VOVリフト4本+シークレットリフト4本
★目の下のクマとシワを同時に改善!



ビフォー
アフター

30代後半男性
施術内容:裏ハムラ法+下瞼たるみ取り+テスリフト2本+VOVリフト4本+プリマリフト4本
★目の下のシワも改善され、若々しい目元になりました!

No. 03

切開ハムラ法(表ハムラ法)

皮膚のたるみが強い方に向けた施術。
下まつ毛の際を切開し、脂肪を移動させながら余分な皮膚も同時に除去します。



ーこんな方におすすめー
* たるみやシワが強い方(目の下のたるみがまぶたから15ミリ以上の方)
* 目の下から頬にかけて老け見えが気になる方

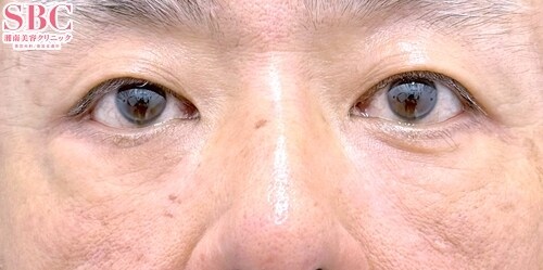
ビフォー
アフター

50代後半女性
施術内容:切開ハムラ法
★クマのたるみが改善され、ハリのある目元になりました!



ビフォー
アフター

50代後半男性
施術内容:切開ハムラ法+テスリフト4本+VOVリフト4本+シークレットリフト4本
★目の下のたるみが改善されました!
\Instagramにて公開中/

01

💡「ダウンタイムが取れない…」という方へ

💡「ダウンタイムが取れない…」という方へ
ハムラ法は、外科手術のためダウンタイムが必ずあります><
普段なかなかダウンタイムが取れない方は、
まとまったお休みが取りやすい年末年始や長期休暇に受けられるのがおすすめです!

また、皮膚科のクマ治療で改善できるケースもあります。
皮膚科のクマ治療については別の特集記事でご紹介しています!

*外科手術は出来ない(ダウンタイムは取れない)けどクマは改善したい
*以前クマ治療をしたけど、膨らみや凹みが再発した

上記に当てはまる方は
皮膚科クマ治療の特集記事もご覧ください^^
\こちらの特集記事で解説!/

01

湘南美容クリニック新宿南口院でクマ治療の相談をする

湘南美容クリニック新宿南口院でクマ治療の相談をする
★SBC全国クマ取りおすすめドクター
★目元切開若返りプレミアムドクター
のルークひのき(檜山和弘医師)が、あなたの目元の状態を丁寧に診察し、

膨らみ・凹み・たるみの原因に合わせた最適な治療プランをご提案します!
\お気軽にご相談ください/
特集一覧に戻る

CLINICクリニック案内

CLINIC クリニック案内

  • 女医在籍
  • モニター募集
  • 駅チカ
所在地 東京都新宿区新宿4丁目2-23 新四curumuビル6階
診療時間 10:00-19:00
※年中無休
アクセス ・JR新宿駅東南口 徒歩5分
・新宿三丁目駅 徒歩1分
・JR新宿駅新南改札 徒歩4分

湘南美容クリニック新宿南口院では二重整形をはじめ、若返り、脂肪吸引、豊胸、鼻整形など各分野の美容外科プロフェッショナルドクターが集結!
美容皮膚科では、人気の医療ハイフ、痩身治療、シミ取り、医療脱毛やメンズ脱毛など幅広い施術を取り扱っております。
★副都心線「新宿三丁目駅」E6出口直結!★JR線「新宿駅」東南口改札から徒歩4分★の好アクセスです!!
まずはお気軽に、お電話もしくはメールにてお問い合わせください。

監修医師紹介

檜山 和弘 医師
新宿南口院院長
檜山 和弘 医師
保有資格
日本美容外科学会(JSAS)会員
経歴
1994年 日本医科大学卒業、日本医科大学胸部外科入局、日本医科大附属病院研修 (胸部外科、麻酔科、小児科)
1996年 会津中央病院心臓血管外科、日本医科大学武蔵小杉病院胸部外科
1997年 日本医科大学千葉北総病院胸部外科、防衛医科大学校病院外科
1999年 スウェーデン王国カロリンスカ大学心臓血管外科留学
2002年 日本医科大学附属病院心臓血管外科
2001年 防衛医科大学校病院心臓血管外科
2003年 医学博士授与
2004年 福岡市立こども病院心臓血管外科
2007年 九州大学心臓血管外科入局
2010年 熊本市立熊本市民病院小児心臓外科
2012年 福岡市立こども病院心臓血管外科
2011年 九州厚生年金病院心臓血管外科
2017年 九州大学病院心臓血管外科
2018年 湘南美容クリニック 入職
2020年 湘南美容クリニック 鹿児島院院長就任
2021年 湘南美容クリニック 町田院院長就任
2024年 湘南美容クリニック 新宿南口院院長就任

SBCメディカルグループ クリニック一覧

北海道

東北地区

東京

関東

関東おすすめドクター

中部地区

関西地区

関西おすすめドクター

中国・四国地区

九州・沖縄地区

オンラインクリニック クリニック一覧

リッツ美容外科 クリニック一覧

ゴリラクリニック クリニック一覧

リゼクリニック クリニック一覧

海外 クリニック一覧

ベトナム

シンガポール

  • Chelsea Clinic
  • Chelsea Clinic Extension
  • Chelsea Asthetics
  • Gangnam Laser Clinic
  • SkinGo! Hougang Mall
  • SkinGo! Jewel Changi Airport
  • SkinGo! Junction 8
  • SkinGo! Jurong Point 2
  • SkinGo! NEX
  • SkinGo! North Point City
  • SkinGo! Pasir Ris Mall
  • SkinGo! Tampines 1
  • SkinGo! Tiong Bahru
  • SkinGo! Plaza Singapura
  • SkinGo! City Square Mall
  • SkinGo! Marina Square
  • SkinGo! Eastpoint
  • SkinGo! Stars of Kovan
  • SkinGo! United Square
  • Rochor Centre Clinic

様々な科目の専門医・学会会員が
在籍しています

湘南美容クリニックは日本美容外科学会(JSAPS)専門医、日本美容外科学会正会員、日本形成外科学会専門医 、先進医療医師会 参与、日本再生医療学会 理事長補佐、国際美容外科学会(International Society of Aesthetic Plastic Surgery)Active Member、医学博士、厚生労働省認定臨床研修指導医、日本整形外科学会・専門医、日本麻酔科学会認定医、厚生労働省麻酔科標榜医、日本外科学会専門医・正会員、日本胸部外科学会正会員、日本頭蓋顎顔面外科学会会員、日本静脈学会会員医学博士、日本医師会認定産業医、日本抗加齢医学会会員、日本マイクロサージャリー学会会員、GID(性同一性障害)学会会員、日本脂肪吸引学会会員、美容皮膚科学会正会員、日本レーザー治療学会会員などの資格を保有した医師が在籍しております。

当ページは医療広告ガイドラインを遵守し、医師監修のもと掲載しています

SBCメディカルグループでは、2018年6月1日に施行された医療広告ガイドラインを受け、ホームページ上からの体験談の削除を実施しました。また、症例写真を掲載する際には施術の説明、施術のリスク、施術の価格も表示させるようホームページを全面的に修正しております。当ホームページをご覧の患者様、お客様にはご迷惑、ご不便をおかけ致しますが、ご理解のほどよろしくお願い申し上げます。

×

当院におけるワクチン接種後の治療間隔(ガイドライン)

美容皮膚科、美容外科小手術

前後3日(手術日は含まず)、自覚する副反応がなければ可
安心麻酔を使用するものは接種後1週間は空ける

美容外科中、大手術

前後1週間
副反応が残っている場合は延期
接種部位と手術部位が同じ場合は2週間は空ける

×

お急ぎの方はお電話ください

0120-489-100

受付時間 / 10:00~23:00