初めまして。湘南美容クリニック名古屋栄院 院長の中野達生です。
美容外科医として10年以上、これまでに数多くのクマ治療を担当してまいりました。 「目の下の切らないクマ取り」は、傷を残さず自然に若々しさを取り戻せる治療として、多くのお客様に選ばれています。
クマの原因は人によって異なり、脂肪のふくらみや皮膚の薄さ、色素沈着など、複数の要因が絡んでいます。
そのため、脂肪を単に取るだけでなく、必要に応じて脂肪注入を組み合わせ、凹みや影を丁寧に整えることで、より長く続く美しい仕上がりを目指しています。 また、施術時間を最適化し、腫れや内出血を最小限に抑えることで、ダウンタイムの短縮にもこだわっています。
「できるだけ休みを取らずに治したい」「バレずに自然に変わりたい」そんな方にも安心して受けていただけるよう努めています。


「目の下の切らないクマ・たるみ
(ふくらみ)取り 脂肪注射」の
経験豊富なプレミアムドクター

ゾーン統括ドクター
兼 名古屋栄院 院長
中野 達生 医師
Tatsuo Nakano
経歴
| 2011年 | 浜松医科大学医学部医学科卒業 藤枝市立総合病院 勤務 |
|---|---|
| 2013年 | 浜松医科大学 産科婦人科教室 入局 湘南美容クリニック 入職 |
| 2015年 | 湘南美容クリニック 静岡院院長就任 |
| 2017年 | 湘南美容クリニック 名古屋栄院院長就任 |
ドクターコメント

私はその方に本当に合った治療だけを提案することを信念としています。
過剰な施術やアップセルは行わず、医学的な根拠に基づいたベストな選択をご提案いたします。 クマがあるだけで「疲れて見える」「老けて見える」と感じてしまう方は多いですが、少しの変化で印象は大きく変わります。
ぜひ一度ご相談ください。あなたらしい明るい目元を一緒につくりましょう。

プレミアムドクターで目の下の切らないクマ・
たるみ(ふくらみ)取り・脂肪注射をする場合
治療代が特別価格となります。

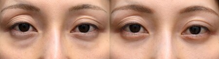
施術名:裏ハムラ法+コンデンスリッチ(ゴルゴ線)+ナノリッチ(目の下+涙袋)
経過日:術後1ヶ月
施術名:裏ハムラ法+コンデンスリッチ(ゴルゴ線)
経過日:術後1ヶ月
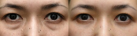
施術名:裏ハムラ法+ナノリッチ(目の下〜ゴルゴ)
経過日:術後1ヶ月
施術名:裏ハムラ法+ナノリッチ(目の上+目の下+涙袋)
経過日:術後1ヶ月
施術名:裏ハムラ法+ナノリッチ(目の下)
経過日:術後1ヶ月
施術名:目の下の切らないクマ・タルミ取り
経過日:術後1ヶ月















