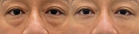
外科医歴16年以上、うち8年間は脳神経外科医として、患者様の未来と向き合ってきました。その経験から培ったのは、組織を傷つけない0.1mm単位の精密な手技です。例えば、一般的に30分かかる脱脂術を、私は約15分で終えることができます。この技術が、お客様の身体へのご負担とダウンタイムを最小限に抑えるのです。私の仕事は、単に膨らみを取るのではなく、あなた本来の美しさを立体的に『再構築』すること。5年後、10年後も鏡を見るのが楽しみになる、自然で調和の取れた仕上がりを目指します。ぜひ一度、あなたのお悩みをお聞かせください。
予約・お問い合わせ
美容外科 MENU
Language





































