大阪府大阪市北区梅田3丁目2番123号イノゲート大阪13階
・JR大阪駅直結
0120-5489-91
受付時間:AM9:00~PM11:00(土・日・祝日も対応)


【切らないクマ取り/ 劇的若返り術】大阪梅田院の形成外科専門医の伊藤典紘医師★
ダウンタイム極小のクマ・たるみ取り
伊藤医師は湘南美容クリニックでも数少ない、形成外科専門医!!
”切らずに自然な変化”理想の10歳若返り♪



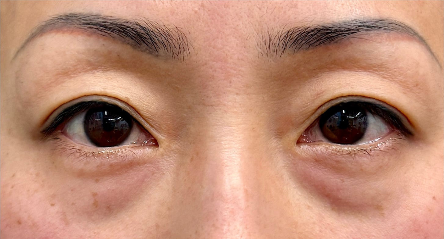
クマは眼窩脂肪という目周りの脂肪が押し出されることによって出来るふくらみやたるみが原因です。
生まれつき多い脂肪が多い方は、疲労や睡眠不足による血行不良などが原因で目の下がふくらみやすく、若い頃から目立ってしまう人もいます。ダウンタイムは最小限に仕上がりは最大限に。お客様に合わせて施術をご提案いたします。




| 施術名 | モニター価格(税込) |
|---|---|
| 眉下リフト(眉下切開) | 189,000円 |
| アイバックリムーブ法 | 126,170円 |
| 裏ハムラ法 | 266,000円 |
| 切開ハムラ(表ハムラ)法 | 266,000円 |
| 目の下の切らないクマ・たるみ(ふくらみ)取り(麻酔(局所麻酔)代が含まれています。※別途安心麻酔(静脈麻酔)代がかかります。 ) | 79,100円 |
ナチュラル脂肪注射を組み合わせる場合のみ応募可能

クリニック案内
モニター情報 No.007-1998
大阪府大阪市北区梅田3丁目2番123号イノゲート大阪13階
・JR大阪駅直結
0120-5489-91
受付時間:AM9:00~PM11:00(土・日・祝日も対応)
必ずご確認ください
※お問い合わせの際にはモニター番号が必要になりますので、
モニター番号をお控えの上、お問い合わせください。
違う条件でモニターを探す

私は初期臨床研修を修了後、美容外科医となるために形成外科医として大学病院や市中病院で研鑽を積んで参りました。
その過程で、まぶたの形や機能、顔の形状、全身の傷跡の修正、若返りについての治療など、整容面に関わる多くの症例を経験し、形成外科専門医資格を取得いたしました。 その頃に培った、見た目という""カタチ""を整えることを通じて患者さまに喜んでいただいた経験が美容外科医としての礎となっています。
形成外科の中でも美容外科は大きな柱の一つであり、技術や美的センスが直に反映される分野です。 難易度の高い施術もありますが、手術を終えてお喜びいただける姿をみることが私の最大のモチベーションとなっています。
5年先、10年先と長きに渡ってお付き合いをさせていただき、『あの時選んで良かった』と思ってもらえるよう親身に取り組みます。
かしこまった紹介文となってしまいましたが、カウンセリングでは親しみやすさと分かりやすさを大切にしています。
ご希望を伺い、お顔全体のバランスやダウンタイム、費用などをご相談しながら本当に必要な治療を提案させていただきます。
美容クリニックへ足を運ぶことは勇気がいることと思いますが、もっと自分を好きになるための第一歩を踏み出してみてください。
その勇気や綺麗になりたいという気持ちを無駄にしないよう、全力でサポートします。