大阪府大阪市北区梅田3丁目2番123号イノゲート大阪13階
・JR大阪駅直結
0120-5489-91
受付時間:AM9:00~PM11:00(土・日・祝日も対応)


玉井 翔医師、矢木 真由子医師によるベビーコラーゲンのモニター様を絶賛募集中です!


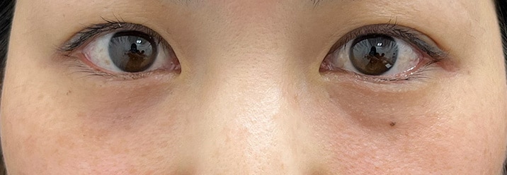
ベビーコラーゲンとは、世界初Ⅰ型コラーゲンとⅢ型コラーゲンを50:50で配合された唯一のヒト胎盤由来コラーゲン注入剤です。
肌にコラーゲンを注入することで「肌細胞の再生・活性化」「肌のボリュームアップ」「ハリ改善」「小じわの改善」を目的とした治療です。


クリニック案内
モニター情報 No.007-2191
大阪府大阪市北区梅田3丁目2番123号イノゲート大阪13階
・JR大阪駅直結
0120-5489-91
受付時間:AM9:00~PM11:00(土・日・祝日も対応)
必ずご確認ください
※お問い合わせの際にはモニター番号が必要になりますので、
モニター番号をお控えの上、お問い合わせください。
違う条件でモニターを探す

また、目周りのシワ等ヒアルロン酸やボトックスでは難しいといわれるような細かい部位も得意としており、柔らかい薬剤を使用しているため目周りにもなじみます。
加齢と共に徐々にコラーゲンが失われ「ハリの低下」「しわ」の原因になりますが、一度失われると元には戻らず食事等で取り入れることもできません。ベビーコラーゲン(Ⅲ型コラーゲン)を直接取り入れる唯一の施術です。
またヒト由来のコラーゲンを使用しているため、アレルギーの心配も少なく安全に治療を受けていただけます。