愛知県名古屋市中村区名駅3丁目26-8
KDX名古屋駅前ビル 12階
・名古屋駅より徒歩3分
0120-5489-82
受付時間:AM10:00~PM11:00(土・日・祝日も対応)


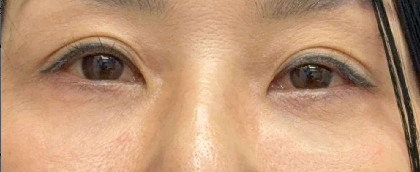
「切らない目の下のクマ・ふくらみ取り」は、目の下のふくらみの原因となる「眼窩脂肪(がんかしぼう)」を、まぶたの裏側から取り除く施術です。
クマを原因から根本治療することで、目元が明るく若返ります。
クリニック案内
モニター情報 No.008-1899
愛知県名古屋市中村区名駅3丁目26-8
KDX名古屋駅前ビル 12階
・名古屋駅より徒歩3分
0120-5489-82
受付時間:AM10:00~PM11:00(土・日・祝日も対応)
必ずご確認ください
※お問い合わせの際にはモニター番号が必要になりますので、
モニター番号をお控えの上、お問い合わせください。
違う条件でモニターを探す
