東京都新宿区西新宿7-10-1
O-GUARD SHINJUKU(オーガード新宿) 8F
・JR新宿駅西口徒歩1分
・都営大江戸線新宿西口徒歩1分
0120-5489-08
受付時間:AM10:00~PM11:00 年中無休・予約制


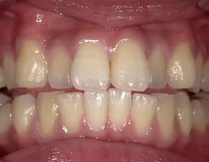
ホワイトニングとは、歯を削ることなく、輝く白い歯がよみがえられる医療機関でしかできない治療法です。
加齢や遺伝、食生活などによって変色した歯を漂白剤で脱色して白くする方法です。
特にコーヒーやタバコを好んで嗜む人は歯の変色が見られる傾向にあり、ホワイトニングされる方も増えています。
また、歯が白色だと清潔感も上がりますので接客業や営業職の方などが受けることが多い治療です。
医療機関で行うホワイトニングは、歯の表面の汚れを落とす「クリーニング」に比べ、歯の内側から漂白するので、本来の歯以上の白さを実感できます。
また、歯列矯正と組み合わせることで、より高い審美性を得ることができます。




クリニック案内
モニター情報 No.014-0156
東京都新宿区西新宿7-10-1
O-GUARD SHINJUKU(オーガード新宿) 8F
・JR新宿駅西口徒歩1分
・都営大江戸線新宿西口徒歩1分
0120-5489-08
受付時間:AM10:00~PM11:00 年中無休・予約制
必ずご確認ください
※お問い合わせの際にはモニター番号が必要になりますので、
モニター番号をお控えの上、お問い合わせください。
違う条件でモニターを探す
