東京都新宿区西新宿7-10-1
O-GUARD SHINJUKU(オーガード新宿) 8F
・JR新宿駅西口徒歩1分
・都営大江戸線新宿西口徒歩1分
0120-5489-08
受付時間:AM10:00~PM11:00 年中無休・予約制


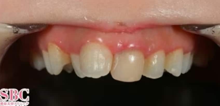
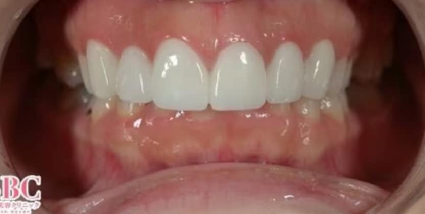
笑顔で見える部分の歯並びをチェンジ!
定番の1本・4本・6本セットがモニター価格で登場!
見える範囲を改善したい方はこちらのモニターから予約をお願いします!





クリニック案内
モニター情報 No.014-0187
東京都新宿区西新宿7-10-1
O-GUARD SHINJUKU(オーガード新宿) 8F
・JR新宿駅西口徒歩1分
・都営大江戸線新宿西口徒歩1分
0120-5489-08
受付時間:AM10:00~PM11:00 年中無休・予約制
必ずご確認ください
※お問い合わせの際にはモニター番号が必要になりますので、
モニター番号をお控えの上、お問い合わせください。
違う条件でモニターを探す
