東京都新宿区西新宿7-10-1
O-GUARD SHINJUKU(オーガード新宿) 8F
・JR新宿駅西口徒歩1分
・都営大江戸線新宿西口徒歩1分
0120-5489-08
受付時間:AM10:00~PM11:00 年中無休・予約制


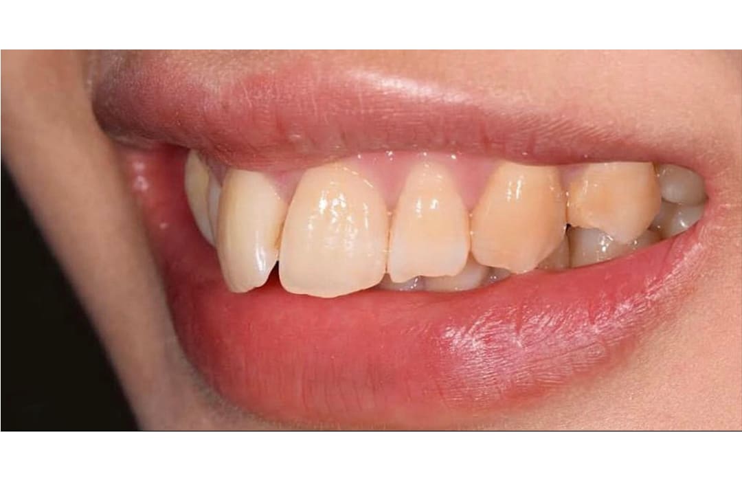
最上級の素材プレミアムダイヤモンドセラミックが、複数本セットだとお手頃に施術可能に!!
歯並びで悩む全てのお客様のお悩みを情熱を持って解決致します。 今まで人前で笑顔になれなかった方もまずは一度ご相談にいらして下さい! 歯科に来る事は緊張するお客様もいると思いますが、まずはお気軽にお悩みを教えて下さいね。 一緒にお悩み解決をしていきましょう!






クリニック案内
モニター情報 No.014-0189
東京都新宿区西新宿7-10-1
O-GUARD SHINJUKU(オーガード新宿) 8F
・JR新宿駅西口徒歩1分
・都営大江戸線新宿西口徒歩1分
0120-5489-08
受付時間:AM10:00~PM11:00 年中無休・予約制
必ずご確認ください
※お問い合わせの際にはモニター番号が必要になりますので、
モニター番号をお控えの上、お問い合わせください。
違う条件でモニターを探す
