東京都台東区上野1-20-11 鈴乃屋本店ビル8F
・JR上野駅より徒歩7分
・JR御徒町駅より徒歩3分
・都営地下鉄銀座線 上野広小路駅より徒歩1分
・都営地下鉄大江戸線 上野御徒町駅より徒歩1分
0120-214-999
受付時間:AM10:00~PM11:00(土・日・祝日も対応)


【形成外科出身】の錦糸町唯一の【女医】があなたの目元を若返らせます!
実際にクマ取り施術を受けたことがある春花先生だからこそ、痛みやダウンタイムの施術の配慮はもちろん。
お悩みに寄り添ってカウンセリングいたしますので、ご安心してお越しくださいませ!


気になる目の下のクマ・影・ふくらみの原因は「目袋3脂肪」かもしれません。
その原因を取り除いてくれるのが、「目の下の切らないクマ・たるみ取り」です。
昔からクマが気になる方、気づいたら目の下にふくらみが出てきた方などにおすすめな治療です。
眉下リフト(眉下切開)は、眉下のたるんだ皮膚を切開して引き上げる、たるみ改善の施術です。まぶたのたるみによって目の開きが悪くみえたり、本来の二重ラインが隠れてしまったりすることがあります。
まぶたの余剰皮膚を除去して引き上げ、眉毛に沿って縫合することで、傷跡がほとんど目立ちません。二重術なしで目ヂカラUPや若返りの効果が期待できます。
アイバックリムーブ法は、目の下の余剰皮膚切除&眼窩脂肪除去を行い目袋と皮膚のたるみを改善する方法です。
下瞼を支える力が弱い人には、眼輪筋の引き上げ固定や、緩んだ下瞼の短縮手術などが必要です(追加には別途料金がかかります)。
下まぶたまつ毛の下の皮膚を切開するので、術後抜糸が必要です。
皮膚の切開線はまつ毛の際に隠しますので、お時間が経過すればほとんどわかりません。
眼球を支えている眼窩脂肪が前方に突出してくることが原因で生じる目の下のクマ・たるみ(ふくらみ)を改善させ、目まわりの印象を若返らせる治療です。
目立ちづらい下まぶたのまつ毛の際から皮膚を切開し、膨らんでいる部分からくぼんでいる部分に眼窩脂肪を移動させることで、膨らみと溝を同時にフラットにすることができるため、眼窩脂肪を切り離すことなくクマを改善することができます。
同時に余分な皮膚も切除することができるので、膨らみが大きい方・皮膚の余りが気になる方にお勧めの施術です。
ナチュラル脂肪注射コンデンスリッチとは、ご自身の脂肪を注入することで、注入箇所にハリと潤いを蘇らせ、ふっくらとして丸みを帯びた健康的な素顔を形成することができます。
また採取した脂肪は、遠心分離にかけ、コンデンス(濃縮)技術で不純物を除去、健全な濃縮脂肪細胞=コンデンスリッチファット(CRF) だけを注入するため、高い定着率を実現し、吸引した脂肪を最大限に活かせる若返り法です。


| 施術名 | モニター価格(税込) |
|---|---|
| ナチュラル脂肪注射コンデンスリッチ(コンデンスリッチフェイス作成料) | 57,750円 |
| ナチュラル脂肪注射コンデンスリッチ(法令線) | 57,750円 |
| ナチュラル脂肪注射コンデンスリッチ(目の上) | 57,750円 |
| ナチュラル脂肪注射コンデンスリッチ(目の下) | 57,750円 |
| ナチュラル脂肪注射コンデンスリッチ(目の下~ゴルゴ) | 86,620円 |
| ナチュラル脂肪注射コンデンスリッチ(こめかみ) | 57,750円 |
| ナチュラル脂肪注射コンデンスリッチ(頬) | 86,620円 |
| ナチュラル脂肪注射コンデンスリッチ(額) | 118,400円 |
| 眉下リフト(眉下切開) | 189,000円 |
| アイバックリムーブ法 | 126,170円 |
| 切開ハムラ(表ハムラ)法 | 266,000円 |
| 目の下の切らないクマ・たるみ(ふくらみ)取り(麻酔(局所麻酔)代が含まれています。※別途安心麻酔(静脈麻酔)代がかかります。 ) | 79,100円 |
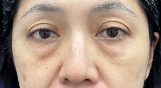
皮膚のたるみと眼窩脂肪の膨らみ、頬のボリュームロスがあったため、アイバックリムーブ法と脂肪注入(目の下ーゴルゴ)にて治療した方です。
クリニック案内
モニター情報 No.024-0513
東京都台東区上野1-20-11 鈴乃屋本店ビル8F
・JR上野駅より徒歩7分
・JR御徒町駅より徒歩3分
・都営地下鉄銀座線 上野広小路駅より徒歩1分
・都営地下鉄大江戸線 上野御徒町駅より徒歩1分
0120-214-999
受付時間:AM10:00~PM11:00(土・日・祝日も対応)
必ずご確認ください
※お問い合わせの際にはモニター番号が必要になりますので、
モニター番号をお控えの上、お問い合わせください。
違う条件でモニターを探す
