横浜市神奈川区鶴屋町2-21-8
第一安田ビル 5F
・JR横浜駅西口 徒歩5分
0120-9499-11
受付時間:AM10:00~PM11:00 不定休・予約制


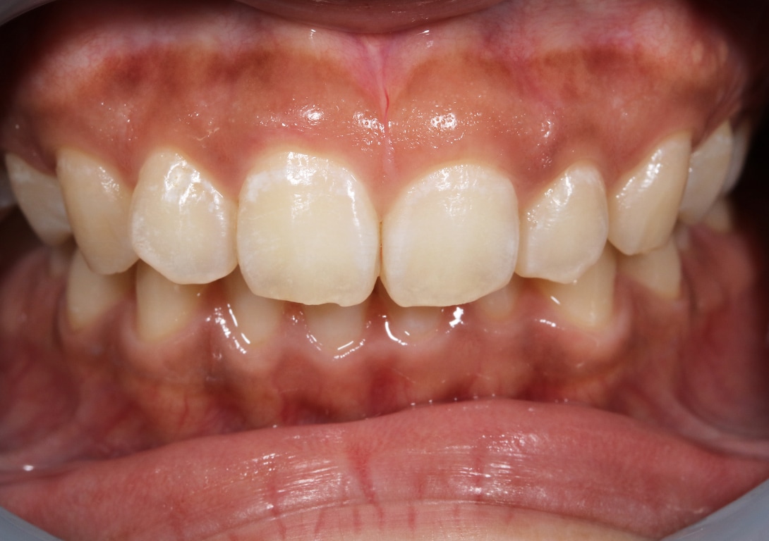
ホワイトニングとは、歯を削ることなく、輝く白い歯がよみがえられる医療機関でしかできない治療法(漂白剤で脱色して白くする)です。
こんな人にオススメ
●加齢や遺伝、食生活などによって変色した方
●コーヒーやタバコを好んで嗜む方
●接客業や営業職の方
●清潔感をアップさせたい方
歯の表面の汚れを落とす「クリーニング」に比べ、歯の内側から漂白するので、本来の歯以上の白さを実感できます。
また、歯列矯正と組み合わせることで、より高い美しさを得ることができます。
※部分モニターとしてお口元のお写真・アンケートのご協力をお願いしております




クリニック案内
モニター情報 No.029-0130
必ずご確認ください
※お問い合わせの際にはモニター番号が必要になりますので、
モニター番号をお控えの上、お問い合わせください。
違う条件でモニターを探す
