横浜市神奈川区鶴屋町2-21-8
第一安田ビル 5F
・JR横浜駅西口 徒歩5分
0120-9499-11
受付時間:AM10:00~PM11:00 不定休・予約制


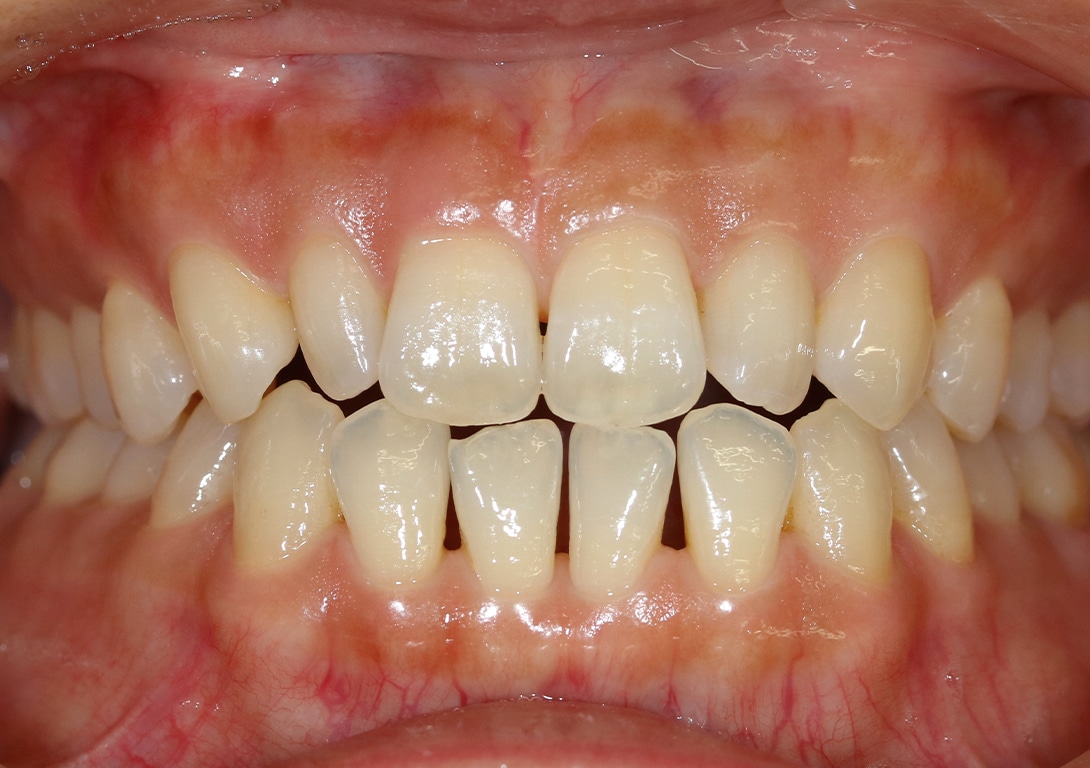
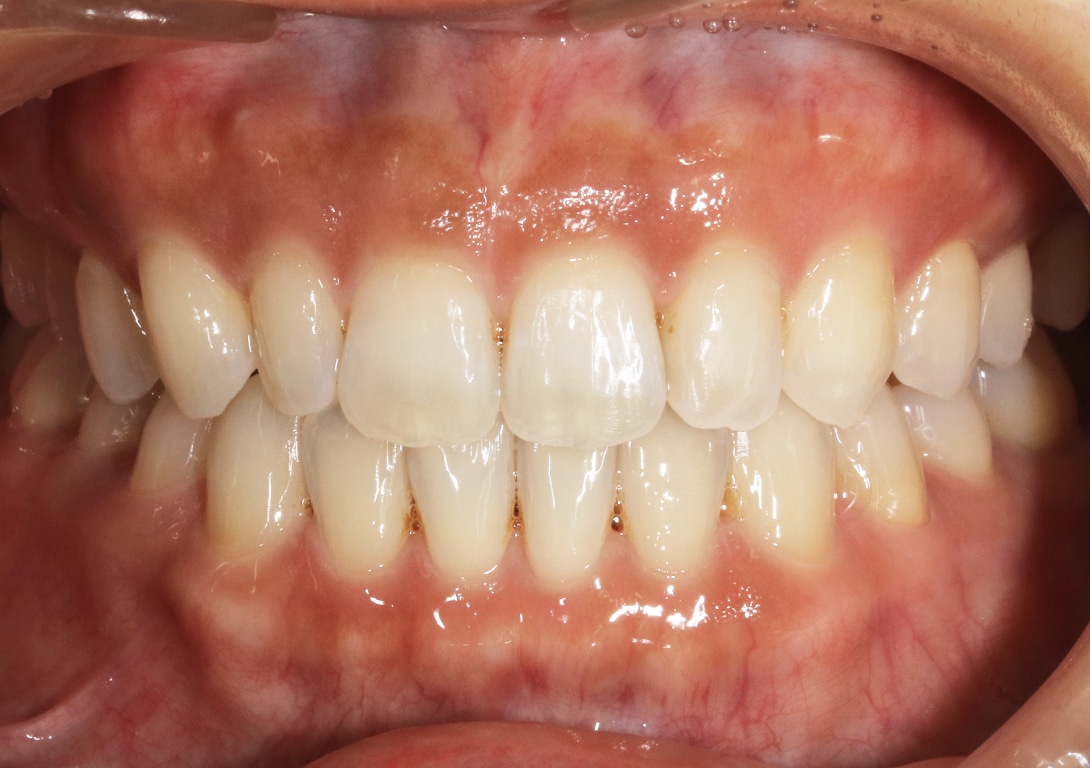
「本気で治したい」その強い想いに矯正を経験した院長が応えます。治療中の不安や痛みも、経験者だからこそ深く共感し、心から寄り添うことができるのです。
ご提案する新プラン「インビザライン・モデレート」は、部分矯正では難しかった奥歯まで動かし、顔全体のバランスを根本から改善。あなたの1年、そしてその先の笑顔まで、院長が責任を持って伴走します。


透明に近いマウスピース型の矯正装置(アライナー)のため歯に装着しても目立つことなく歯並びを矯正することが出来ます。
また、一人ひとりに合わせて矯正装置を作製いたします。治療の段階に合わせて新しい装置に交換しながら徐々に歯を動かし、歯並びを矯正していきます。



クリニック案内
モニター情報 No.029-0154
必ずご確認ください
※お問い合わせの際にはモニター番号が必要になりますので、
モニター番号をお控えの上、お問い合わせください。
違う条件でモニターを探す
