大阪府大阪市中央区心斎橋筋2-7-18
プライムスクエア心斎橋11F
・御堂筋線 心斎橋 駅より徒歩4分
0120-5489-23
受付時間:AM10:00~PM11:00 不定休・予約制


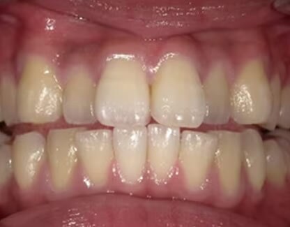
ホワイトニングとは、歯を削ることなく、輝く白い歯がよみがえられる医療機関でしかできない治療法です。
加齢や遺伝、食生活などによって変色した歯を漂白剤で脱色して白くする方法です。
医療機関で行うホワイトニングは、歯の表面の汚れを落とす「クリーニング」に比べ、歯の内側から漂白するので、本来の歯以上の白さを実感できます。




クリニック案内
モニター情報 No.030-0156
大阪府大阪市中央区心斎橋筋2-7-18
プライムスクエア心斎橋11F
・御堂筋線 心斎橋 駅より徒歩4分
0120-5489-23
受付時間:AM10:00~PM11:00 不定休・予約制
必ずご確認ください
※お問い合わせの際にはモニター番号が必要になりますので、
モニター番号をお控えの上、お問い合わせください。
違う条件でモニターを探す
