■湘南美容クリニック 京都院(11.4リニューアルOPEN)
京都府京都市下京区
四条通柳馬場東入立売東町12-1
日土地京都四条通ビル5階
・地下鉄鳥丸線 四条駅 徒歩8分
・阪急京都線 河原町駅 徒歩8分
0120-5489-64
受付時間:AM10:00~PM11:00(土・日・祝日も対応)


原田医師が担当する若返り術モニター
モニターページをご覧いただきありがとうございます。
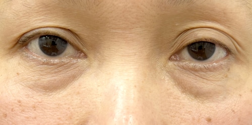
目の下の膨らみ、クマ、気になりますよね。
老けてみえたり、疲れてみえたり…?
クマにも種類がありますが、いわゆる影クマ、黒クマの場合は、目の下の脂肪が前に押し出されていることが原因です。
目の下の切らないクマ取り(脂肪取り)手術で解決する可能性がありますので、ぜひ一度ご相談くださいね。
目の下のクマ・疲れ顔にサヨナラするなら
確かな技術力の原田俊平にお任せください。



生まれつき眼窩脂肪が多い方や加齢、眼精疲労などにより脂肪が押し出されることで”クマ”ができます。
脂肪を下瞼の裏側から切除するのでお顔の表面に傷が残ることなく目の下のたるみを改善できます。







目の下の不要な脂肪を取るだけでは凹みが余計に強調されてしまいます。
クマ取りと脂肪注入を併用することで脂肪の膨らみと頬の凹み両方が改善され、影のない自然なお目元になります。


ベビーコラーゲン(ヒューマラジェン/ベビーダーム)は、ヒト胎盤由来コラーゲン注入剤です。
肌にコラーゲンを注入することで「肌細胞の再生・活性化」「肌のボリュームアップ」「ハリ改善」「小じわの改善」を目的とした治療です。


| 施術名 | モニター価格(税込) |
|---|---|
| ナチュラル脂肪注射コンデンスリッチ(コンデンスリッチフェイス作成料) | 57,750円 |
| ナチュラル脂肪注射コンデンスリッチ(法令線) | 57,750円 |
| ナチュラル脂肪注射コンデンスリッチ(目の下~ゴルゴ) | 86,620円 |
| ベビーコラーゲン(ヒューマラジェン/ベビーダーム)(1本) | 87,000円 |
| アイバックリムーブ法 | 126,170円 |
| 裏ハムラ法 | 266,000円 |
| 切開ハムラ(表ハムラ)法 | 266,000円 |
| 目の下の切らないクマ・たるみ(ふくらみ)取り(麻酔(局所麻酔)代が含まれています。※別途安心麻酔(静脈麻酔)代がかかります。 ) | 79,100円 |
.png)
.png)
クリニック案内
モニター情報 No.035-0747
■湘南美容クリニック 京都院(11.4リニューアルOPEN)
京都府京都市下京区
四条通柳馬場東入立売東町12-1
日土地京都四条通ビル5階
・地下鉄鳥丸線 四条駅 徒歩8分
・阪急京都線 河原町駅 徒歩8分
0120-5489-64
受付時間:AM10:00~PM11:00(土・日・祝日も対応)
必ずご確認ください
※お問い合わせの際にはモニター番号が必要になりますので、
モニター番号をお控えの上、お問い合わせください。
違う条件でモニターを探す
