福岡県北九州市小倉北区浅野1-1-1
アミュプラザ小倉 東館4F
・鹿児島本線・日豊本線 小倉駅直結
0120-949-878
受付時間:AM9:00~PM11:00


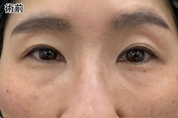
年齢サインが出やすい目元に“若さ”をプラス。
クマ・ちりめんジワ…小さな悩みが大きな印象差に。
赤ちゃん肌成分のコラーゲンで自然なボリュームUP!


ベビーコラーゲンとは、世界初Ⅰ型コラーゲンとⅢ型コラーゲンを50:50で配合された唯一のヒト胎盤由来コラーゲン注入剤です。
肌にコラーゲンを注入することで「肌細胞の再生・活性化」「肌のボリュームアップ」「ハリ改善」「小じわの改善」を目的とした治療です。


-
クリニック案内
モニター情報 No.050-0510
必ずご確認ください
※お問い合わせの際にはモニター番号が必要になりますので、
モニター番号をお控えの上、お問い合わせください。
違う条件でモニターを探す
