愛知県名古屋市中村区椿町1-16
井門名古屋ビル 4F
・名古屋駅より徒歩1分
0120-979-486
受付時間:AM10:00~PM11:00(土・日・祝日も対応)


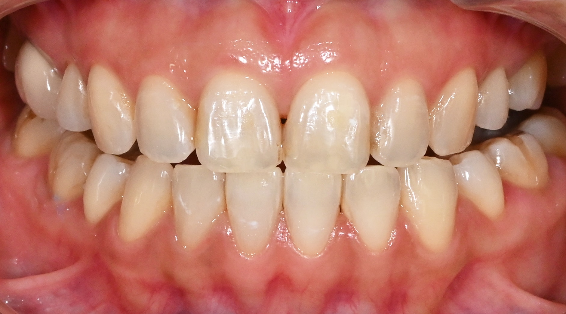
歯を削らず、白くなった歯で輝く笑顔へ!!
スタンダードホワイトニングは、歯の内側から漂白するので本来の歯以上の白さを実感して頂けます。
歯を削る必要もなく、とてもお手軽な施術です。
結婚式や、同窓会、大切なイベントや、記念写真をお控えの方にもおすすめです!!





クリニック案内
モニター情報 No.073-0018
必ずご確認ください
※お問い合わせの際にはモニター番号が必要になりますので、
モニター番号をお控えの上、お問い合わせください。
違う条件でモニターを探す
