愛知県名古屋市中村区椿町1-16
井門名古屋ビル 4F
・名古屋駅より徒歩1分
0120-979-486
受付時間:AM10:00~PM11:00(土・日・祝日も対応)


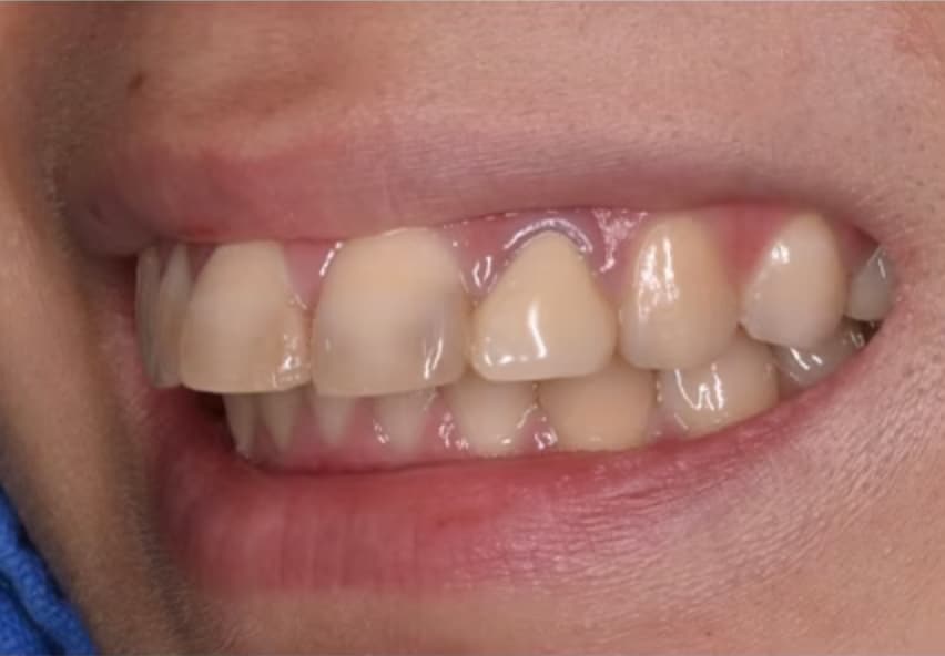
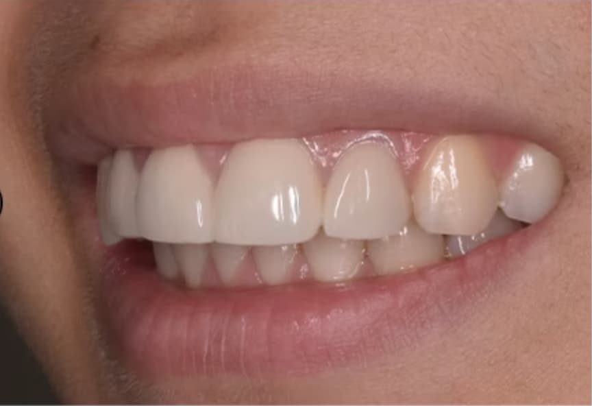
※こちらは12/10・17・25・1月院長就任以降の伊藤医師 出勤日限定モニターです※
有名技工士立会いで、細かな要望も叶えます!
なりたい歯がある方、自然な白い歯になりたい方、真っ白な歯になりたい方!どんな要望もお聞かせ下さい!






| 施術名 | モニター価格(税込) |
|---|---|
| 1本/前歯神経治療・土台・芯・仮歯込 | 125,000円 |
| 4本セット/前歯神経治療・土台・芯・仮歯込 | 480,000円 |
| 6本セット/前歯神経治療・土台・芯・仮歯込 | 690,000円 |
クリニック案内
モニター情報 No.073-0081
必ずご確認ください
※お問い合わせの際にはモニター番号が必要になりますので、
モニター番号をお控えの上、お問い合わせください。
違う条件でモニターを探す

過去最短症例は、4本治療で、治療期間1ヶ月・来院回数4回です。