愛知県名古屋市中村区椿町1-16
井門名古屋ビル 4F
・名古屋駅より徒歩1分
0120-979-486
受付時間:AM10:00~PM11:00(土・日・祝日も対応)


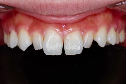
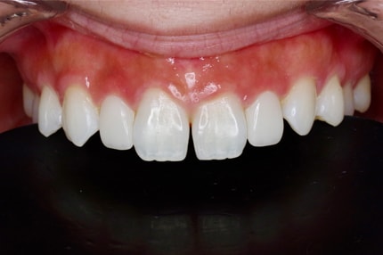
進化したラミネートベニア「Neoエナメル」は、ただ歯を白くするだけじゃない!天然歯質を最大限残しながら審美性・機能性を高める新しいラミネートベニアです。健康な歯をできるだけ削らずに、24色から選べる自然な美しさと高い耐久性を両立。独自開発の高硬度・高透過性ジルコニアが可能にした新しい審美治療を体験してください。




| 施術名 | モニター価格(税込) |
|---|---|
| 1本 | 130,000円 |
| 前歯6本 | 600,000円 |
クリニック案内
モニター情報 No.073-0083
必ずご確認ください
※お問い合わせの際にはモニター番号が必要になりますので、
モニター番号をお控えの上、お問い合わせください。
違う条件でモニターを探す
