愛知県名古屋市中村区椿町1-16
井門名古屋ビル 4F
・名古屋駅より徒歩1分
0120-979-486
受付時間:AM10:00~PM11:00(土・日・祝日も対応)


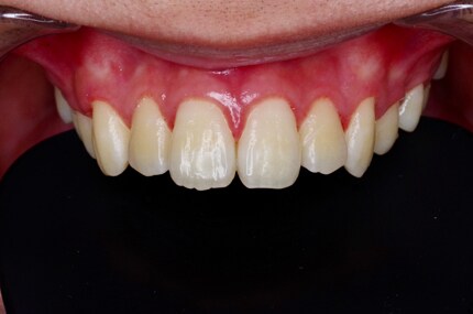
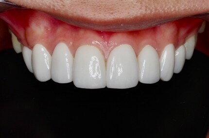
ダイヤモンドベニアは、歯の表面を最小限に削り、薄いセラミック素材を貼り付けて美しい歯をつくる治療です。従来のセラミッククラウンのように大きく削る必要がないため、歯への負担を抑えられるのが特徴です。さらに、保険治療後の変色や、神経やテトラサイクリンによる変色など、ホワイトニングでは白くなりにくい歯も、自然で美しい仕上がりを目指すことができます。



クリニック案内
モニター情報 No.073-0084
必ずご確認ください
※お問い合わせの際にはモニター番号が必要になりますので、
モニター番号をお控えの上、お問い合わせください。
違う条件でモニターを探す
