愛知県名古屋市中村区椿町1-16
井門名古屋ビル 4F
・名古屋駅より徒歩1分
0120-979-486
受付時間:AM10:00~PM11:00(土・日・祝日も対応)


※こちらは伊藤医師 院長就任記念の限定モニターで3月末までの【平日】に施術を行う方が対象となります※
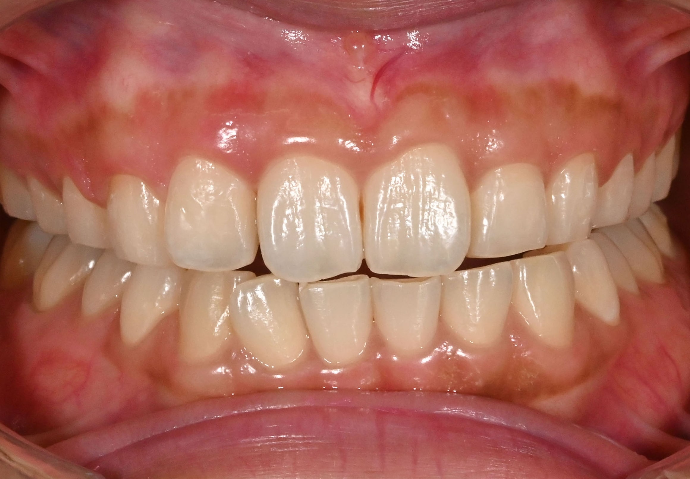
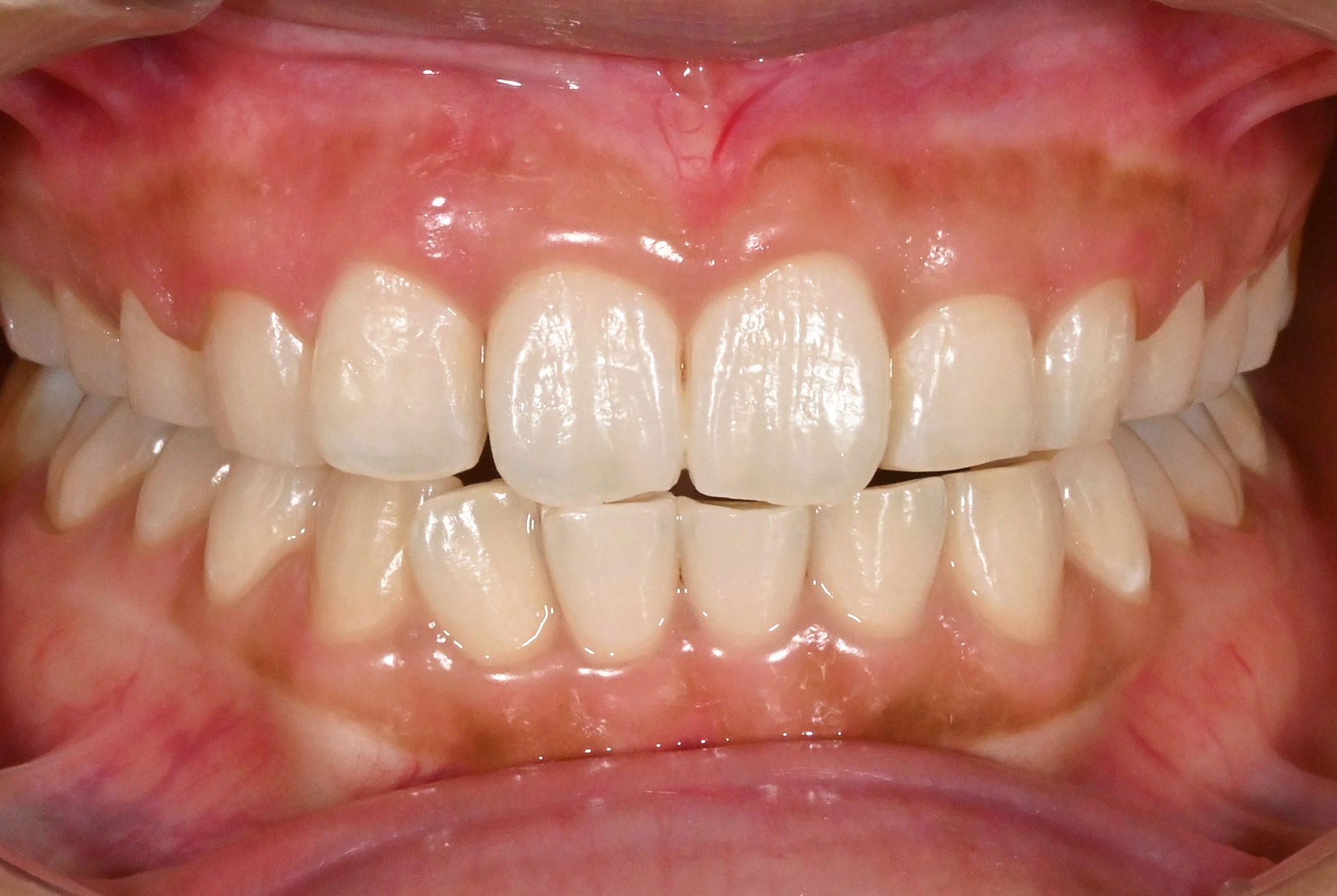
ホワイトニングとは、歯を削ることなく、輝く白い歯を蘇らせる医療機関でしかできない治療法です。
加齢や食生活などで変色した歯を漂白剤で脱色して白くしていきます。
また、歯が白色だと清潔感も上がりますので接客業や営業職の方などが受けることが多い治療です。
医療機関で行うホワイトニングは、歯の表面の汚れを落とす「クリーニング」に比べ、歯の内側から漂白するので、回数を重ねると本来の歯以上の白さを実感できます。




クリニック案内
モニター情報 No.073-0086
必ずご確認ください
※お問い合わせの際にはモニター番号が必要になりますので、
モニター番号をお控えの上、お問い合わせください。
違う条件でモニターを探す
