茨城県水戸市宮町1-2-4 水戸駅前マイムビル3F
・水戸駅 徒歩1分
0120-555-951
受付時間:AM10:00~PM11:00(土・日・祝日も対応)


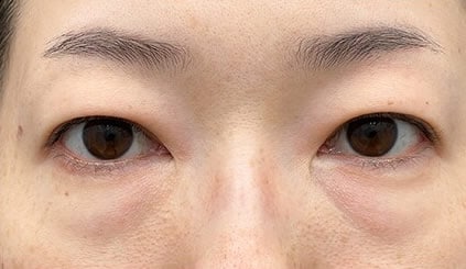
ふとしたとき鏡に映った自分の顔が疲れている…』
『念入りにスキンケアやメイクをしても、疲れた印象が無くならない…』
そんなお悩みはありませんか?
実はその原因は“目の下の脂肪(眼窩脂肪)”にあるかもしれません。
一度眼窩脂肪が目立つようになってしまった場合、マッサージやスキンケアでは改善は難しくなりますが、手術をされることでたるみやクマの無いハリのある目元に生まれ変わります。
目元の印象が変わるだけで、お顔全体の印象がぐっと若返りますよ。



元気なのに「疲れてる?」「ちゃんと寝てる?」と心配される、年齢より老けて見られる、メイクをしても目の下のクマが消えない、ハリのある目元にしたい方などにオススメです。



ご自分の脂肪を注入することで、注入箇所にハリと潤いを蘇らせ、ふっくらとして丸みを帯びた健康的な素顔を形成することができます。また採取した脂肪は、遠心分離にかけ、コンデンス(濃縮)技術で不純物を除去、健全な濃縮脂肪細胞=コンデンスリッチファット(CRF)だけを注入するため、高い定着率を実現し、吸引した脂肪を最大限に活かせる若返り法です。

ナノリッチは、コンデンスリッチフェイスをさらに研ぎ澄まし、ナノ化した脂肪注入の方法です。
脂肪細胞に含まれる繊維組織を除去して滑らかにし、脂肪から極少量しか取れない研ぎ澄まされた良質な幹細胞と小さな脂肪からなる不純物の少ない極小脂肪を注入します。顔の浅いしわや色味、肌質の改善が期待できます。


| 施術名 | モニター価格(税込) |
|---|---|
| ナチュラル脂肪注射コンデンスリッチ(コンデンスリッチフェイス作成料) | 57,750円 |
| ナチュラル脂肪注射コンデンスリッチ(法令線) | 57,750円 |
| ナチュラル脂肪注射コンデンスリッチ(ゴルゴ) | 57,750円 |
| ナチュラル脂肪注射コンデンスリッチ(目の上) | 57,750円 |
| ナチュラル脂肪注射コンデンスリッチ(目の下) | 57,750円 |
| ナチュラル脂肪注射コンデンスリッチ(眉間) | 57,750円 |
| ナチュラル脂肪注射コンデンスリッチ(唇(上・下各々)) | 57,750円 |
| ナチュラル脂肪注射コンデンスリッチ(目の下~ゴルゴ) | 86,620円 |
| ナチュラル脂肪注射コンデンスリッチ(こめかみ) | 57,750円 |
| ナチュラル脂肪注射コンデンスリッチ(額) | 118,400円 |
| ナチュラル脂肪注射コンデンスリッチ(口角) | 43,300円 |
| ナチュラル脂肪注射ナノリッチ(ナノリッチ作成料) | 114,780円 |
| ナチュラル脂肪注射ナノリッチ(ゴルゴ線) | 57,750円 |
| ナチュラル脂肪注射ナノリッチ(目の下) | 57,750円 |
| ナチュラル脂肪注射ナノリッチ(目の下~ゴルゴ) | 86,620円 |
| 目の下の切らないクマ・たるみ(ふくらみ)取り(麻酔(局所麻酔)代が含まれています。※別途安心麻酔(静脈麻酔)代がかかります。 ) | 79,100円 |
クリニック案内
モニター情報 No.092-0289
必ずご確認ください
※お問い合わせの際にはモニター番号が必要になりますので、
モニター番号をお控えの上、お問い合わせください。
違う条件でモニターを探す
