神奈川県横須賀市大滝町2-15-1 横須賀東相ビル4階
・京急本線「横須賀中央駅」徒歩4分
0120-955-899
受付時間:AM10:00~PM11:00(土・日・祝日も対応)


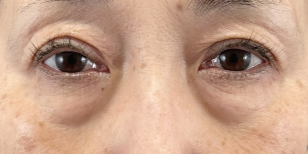
若返りを得意とする原医師よる、目の下の切らないクマ取り・たるみ取りのモニター様を大募集!
性別問わず人気のこちらの施術は、表に傷をつけない手術なのに、一気に見ため年齢に変化を感じ、
満足度が高いとご好評いただいております。原医師と以前の自分を取り戻しましょう!
↓横須賀中央院 出勤日はこちら↓
10/25(土) 10/28(火) 11/9(日) 11/14(金) 11/18(火) 11/20(木) 11/24(月祝) 12/5(金)
まずはお気軽にご相談ください!



湘南美容クリニックの目の下の切らないクマ・ふくらみ(たるみ)取りは、たるみの原因「目袋3脂肪」をまぶたの裏側から除去する治療です。
お客様一人ひとりに合わせて適切な量の脂肪を取り除き、除去量によって値段が変わる事はありません。また、裏側からのアプローチのため傷跡は残りません。
分離した脂肪を、気になるシワや溝、くぼみ部分に注入することで、肌にハリやくぼみにボリュームを
持たせたり、深いしわを改善することができます。
くぼみやしわを修正することで顔のトータルコーディネートが可能で、即効性があり、5~8歳は若返りの実感ができます。
治療時間は30分程度と非常に短時間で半永久的な効果が期待できます。(注入する部位により時間は異なります)


| 施術名 | モニター価格(税込) |
|---|---|
| ナチュラル脂肪注射(法令線) | 57,750円 |
| ナチュラル脂肪注射(ゴルゴ線) | 57,750円 |
| ナチュラル脂肪注射(目の下) | 57,750円 |
| ナチュラル脂肪注射(口角) | 43,300円 |
| 目の下の切らないクマ・たるみ(ふくらみ)取り(麻酔(局所麻酔)代が含まれています。※別途安心麻酔(静脈麻酔)代がかかります。 ) | 79,100円 |
クリニック案内
モニター情報 No.093-0329
神奈川県横須賀市大滝町2-15-1 横須賀東相ビル4階
・京急本線「横須賀中央駅」徒歩4分
0120-955-899
受付時間:AM10:00~PM11:00(土・日・祝日も対応)
必ずご確認ください
※お問い合わせの際にはモニター番号が必要になりますので、
モニター番号をお控えの上、お問い合わせください。
違う条件でモニターを探す
