福岡市中央区渡辺通4-9-25 Luz福岡天神7階
・福岡市営地下鉄七隈線「天神南駅」より徒歩3分
・西鉄天神大牟田線「西鉄福岡駅」南口すぐ
0120-955-418
受付時間:AM10:00~PM11:00(土・日・祝日も対応)


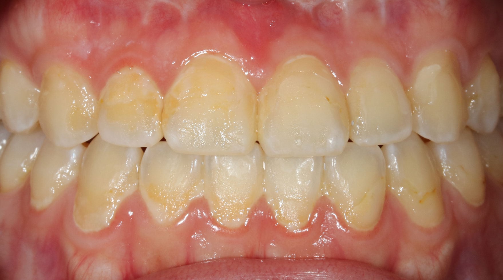
毎日の歯磨きでは落ちないコーヒーや食事による着色、年齢とともに気になる歯の黄ばみ…。
「ホームケアは面倒だし効果もいまいち」と諦めていませんか?
そんなあなたにこそ試してほしいのが、湘南美容歯科の「スタンダードホワイトニング」です。
圧倒的なコストパフォーマンスで、初めての方でも安心して挑戦できます。
歯科医師・歯科衛生士というプロが担当するからこそ、短時間で効果を実感いただけます。
見違えるほど輝く白い歯で、あなたの笑顔にもっと自信を!

クリニック案内
モニター情報 No.096-0030
福岡市中央区渡辺通4-9-25 Luz福岡天神7階
・福岡市営地下鉄七隈線「天神南駅」より徒歩3分
・西鉄天神大牟田線「西鉄福岡駅」南口すぐ
0120-955-418
受付時間:AM10:00~PM11:00(土・日・祝日も対応)
必ずご確認ください
※お問い合わせの際にはモニター番号が必要になりますので、
モニター番号をお控えの上、お問い合わせください。
違う条件でモニターを探す
