福岡市中央区渡辺通4-9-25 Luz福岡天神7階
・福岡市営地下鉄七隈線「天神南駅」より徒歩3分
・西鉄天神大牟田線「西鉄福岡駅」南口すぐ
0120-955-418
受付時間:AM10:00~PM11:00(土・日・祝日も対応)
 
			

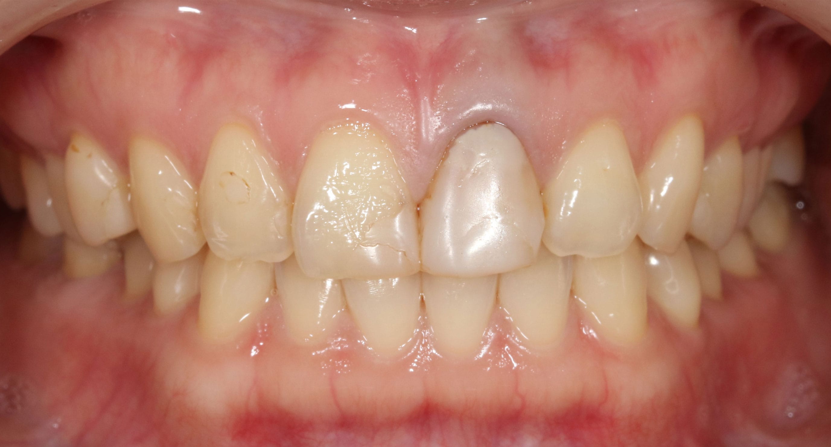
天然歯を超えた美しさへ。湘南歯科クリニックが贈る最高峰の歯「ダイヤモンドオーダーセラミック」
「銀歯を自然な白い歯にしたい」
「昔入れた差し歯の、不自然な色や形が気になる」
「せっかく治すなら、誰が見ても美しいと思える歯にしたい」
そんな美しさへの高いご要望にお応えするのが、湘南歯科クリニックの技術の粋を集めた「ダイヤモンドオーダーセラミック」です。
\ここがオススメ!/
★このモニターは即日仮歯まで治療可能
★技工士立会いのオーダーメイドプラン
★審美歯科だから出来る技
★自慢のセラミストが作成

    従来のセラミックでは、セラミックの内面が金属のフレームのためになかなか自然で美しく、透明感のある歯の色調を再現しきれませんでした。
    また、セラミックの内面に使用されている金属は、酸化メタルという金属で、歯や歯茎を変色させてしまう事もあります。そういった従来のセラミックとは違い、プレミアムダイヤモンドセラミックは、強度と美しさ、耐久性、生体親和性を持った、セラミック素材の中でも最高級で安心できる素材のセラミックです。
  
  
  
  

クリニック案内
モニター情報 No.096-0063
福岡市中央区渡辺通4-9-25 Luz福岡天神7階
・福岡市営地下鉄七隈線「天神南駅」より徒歩3分
・西鉄天神大牟田線「西鉄福岡駅」南口すぐ
0120-955-418
受付時間:AM10:00~PM11:00(土・日・祝日も対応)
必ずご確認ください
※お問い合わせの際にはモニター番号が必要になりますので、
				モニター番号をお控えの上、お問い合わせください。
違う条件でモニターを探す
