埼玉県さいたま市大宮区桜木町1-1-27 小暮ビル2F
・JR大宮駅西口より徒歩1分
0120-955-977
受付時間:AM10:00~PM11:00(土・日・祝日も対応)


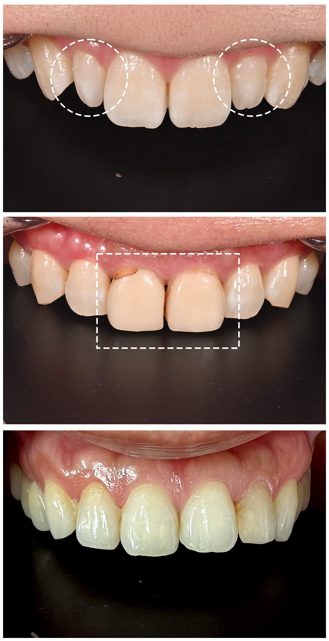
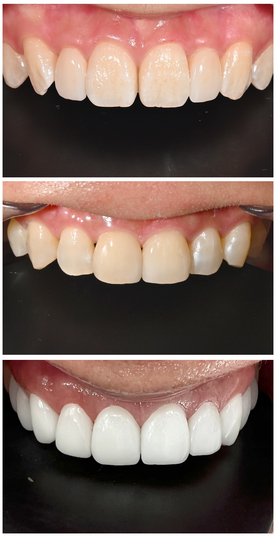
「歯の隙間や形が気になる」「ホワイトニングで歯が白くならなかった」《でも》ご自身の歯を大きく削ることには抵抗がある、というお悩みはありませんか?
ラミネートベニアは歯の表面を最小限だけ削り、薄いセラミックを貼り付けて歯を美しく整える【歯に優しい歯科治療】です!
歯への負担を抑えながら、短期間で歯の色や形、歯並びを改善できるのが特徴です。神経や過去の治療で変色してしまった歯も、自然で透明感のある白い歯に仕上げることができます。
《こんな人におすすめ》
●黄ばんだ歯や失活歯の色を白くしたい
●小さい・欠けてしまった歯がある
●歯と歯の隙間・並びが気になる
口元のお悩みを解決し自信の持てる笑顔を




クリニック案内
モニター情報 No.099-0144
埼玉県さいたま市大宮区桜木町1-1-27 小暮ビル2F
・JR大宮駅西口より徒歩1分
0120-955-977
受付時間:AM10:00~PM11:00(土・日・祝日も対応)
必ずご確認ください
※お問い合わせの際にはモニター番号が必要になりますので、
モニター番号をお控えの上、お問い合わせください。
違う条件でモニターを探す
