埼玉県さいたま市大宮区桜木町1-1-27 小暮ビル2F
・JR大宮駅西口より徒歩1分
0120-955-977
受付時間:AM10:00~PM11:00(土・日・祝日も対応)


歯の色や形、わずかな歯並びの乱れでお悩みではありませんか?
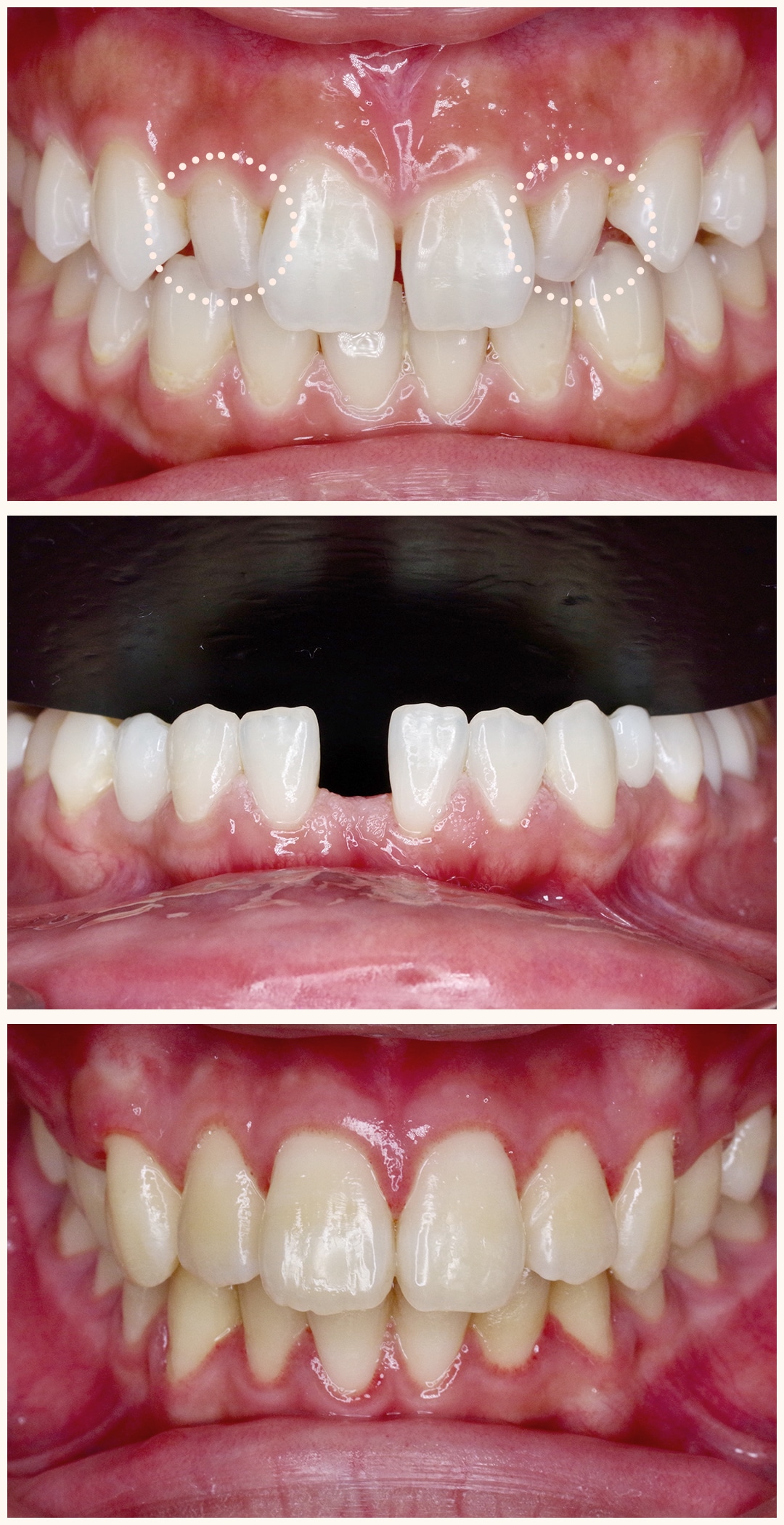
「NEOエナメル」は、高硬度のジルコニアを用いた次世代の審美歯科治療です。極めて薄く、そして割れにくいチップを歯の表面に貼り付け、理想の口元をデザインします。
歯を削る量は最小限に抑えられるため、健康な歯にとても優しいのが特長。優れた透過性により、ご自身の歯と見分けがつかないほど自然に仕上がります。
これまで難しかった欠損歯へのブリッジ治療にも対応。諦めていたお悩みも、ぜひ一度ご相談ください。




| 施術名 | モニター価格(税込) |
|---|---|
| 1本 | 120,000円 |
| 前歯6本 | 690,000円 |
クリニック案内
モニター情報 No.099-0146
埼玉県さいたま市大宮区桜木町1-1-27 小暮ビル2F
・JR大宮駅西口より徒歩1分
0120-955-977
受付時間:AM10:00~PM11:00(土・日・祝日も対応)
必ずご確認ください
※お問い合わせの際にはモニター番号が必要になりますので、
モニター番号をお控えの上、お問い合わせください。
違う条件でモニターを探す
