埼玉県さいたま市大宮区桜木町1-1-27 小暮ビル2F
・JR大宮駅西口より徒歩1分
0120-955-977
受付時間:AM10:00~PM11:00(土・日・祝日も対応)


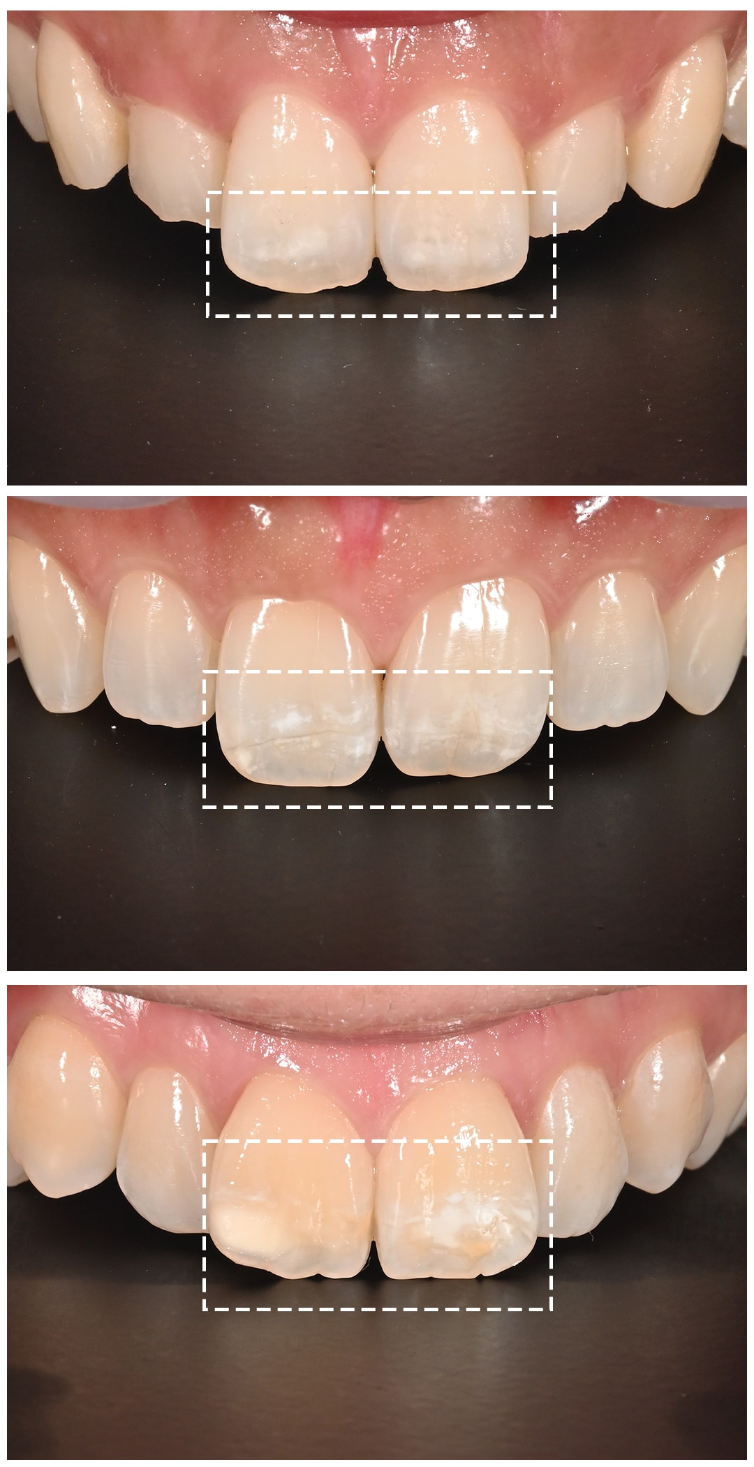
ホワイトスポットと呼ばれる歯の表面にできた斑点模様を改善する新治療がスタート!
気になる部分1本から対応可能です!
新治療のため現在症例写真を集めております!モニターにご協力いただける方はぜひご応募ください。
《こんな人におすすめ》
●前歯にホワイトスポットがあって目立つ
●ホワイトニングでは治らない白い斑点がある
●マウスピース矯正後/ワイヤー矯正後にホワイトスポットができてしまった



クリニック案内
モニター情報 No.099-0150
埼玉県さいたま市大宮区桜木町1-1-27 小暮ビル2F
・JR大宮駅西口より徒歩1分
0120-955-977
受付時間:AM10:00~PM11:00(土・日・祝日も対応)
必ずご確認ください
※お問い合わせの際にはモニター番号が必要になりますので、
モニター番号をお控えの上、お問い合わせください。
違う条件でモニターを探す
