埼玉県さいたま市大宮区桜木町1-1-27 小暮ビル2F
・JR大宮駅西口より徒歩1分
0120-955-977
受付時間:AM10:00~PM11:00(土・日・祝日も対応)


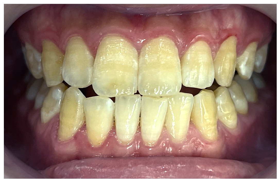
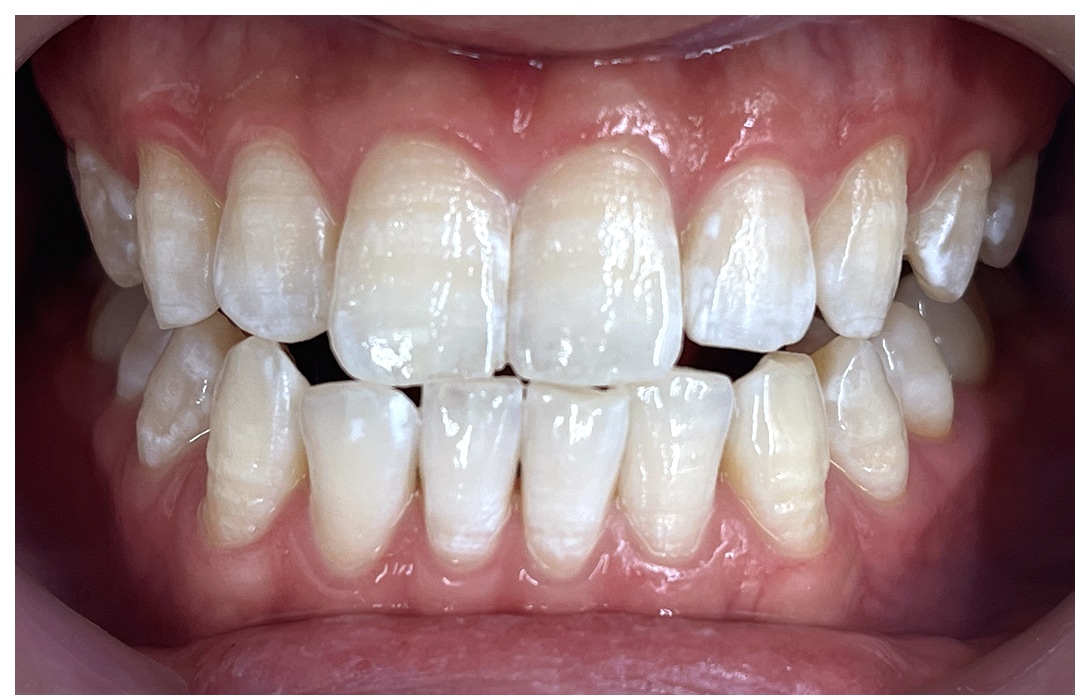
埼玉大宮で歯のホワイトニングなら湘南歯科クリニック大宮院へ!専用の薬剤とレーザーを使い《資格を持った歯科衛生士が施術》する医療機関でしかできないホワイトニングです。
《こんな方におすすめ》
●白い歯になりたい
●安心の医療機関でホワイトニングしたい
●どうせやるなら短期間で効果を実感したい
【1 回=10 分×3 照射】の3回セット!歯の表面からアプローチする施術なので《初回からでもトーンアップの効果》が期待できます!
初回の施術時間はカウンセリング、お会計のお時間等も含めて【1時間30分程】です。ぜひご相談ください♪





クリニック案内
モニター情報 No.099-0151
埼玉県さいたま市大宮区桜木町1-1-27 小暮ビル2F
・JR大宮駅西口より徒歩1分
0120-955-977
受付時間:AM10:00~PM11:00(土・日・祝日も対応)
必ずご確認ください
※お問い合わせの際にはモニター番号が必要になりますので、
モニター番号をお控えの上、お問い合わせください。
違う条件でモニターを探す
