埼玉県さいたま市大宮区桜木町1-1-27 小暮ビル2F
・JR大宮駅西口より徒歩1分
0120-955-977
受付時間:AM10:00~PM11:00(土・日・祝日も対応)


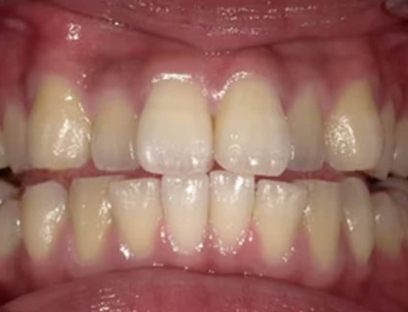
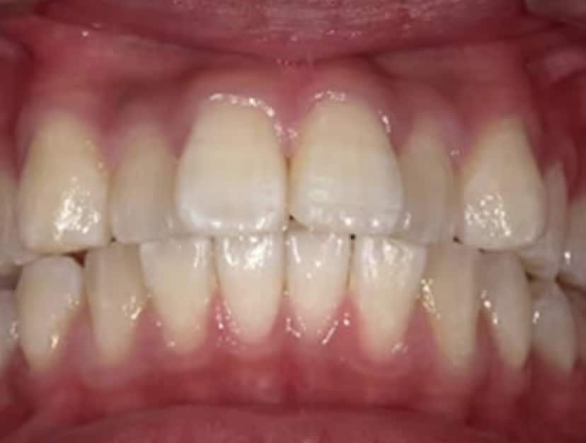
埼玉県大宮でホワイトングするなら湘南歯科クリニック大宮院へ!専用の薬剤とレーザーを使って《資格を持った歯科衛生士が施術》する医療機関で行うホワイトニングです。
《こんな方におすすめ》
●歯が黄ばんでいて気になる
●コーヒーや紅茶など色の濃い飲み物をよく口にする
●セルフホワイトニングであまり効果を感じなかった
●結婚式・推し活・就活・デートまでに白い歯になりたい
【1 回=10 分×3 照射】で、歯の表面からアプローチする施術なので《初回からでもトーンアップの効果》が期待できます!
初回の施術時間はカウンセリング、お会計のお時間等も含めて【1時間30分程】です。ぜひご相談ください♪




クリニック案内
モニター情報 No.099-0152
埼玉県さいたま市大宮区桜木町1-1-27 小暮ビル2F
・JR大宮駅西口より徒歩1分
0120-955-977
受付時間:AM10:00~PM11:00(土・日・祝日も対応)
必ずご確認ください
※お問い合わせの際にはモニター番号が必要になりますので、
モニター番号をお控えの上、お問い合わせください。
違う条件でモニターを探す
