埼玉県さいたま市大宮区桜木町1-1-27 小暮ビル2F
・JR大宮駅西口より徒歩1分
0120-955-977
受付時間:AM10:00~PM11:00(土・日・祝日も対応)


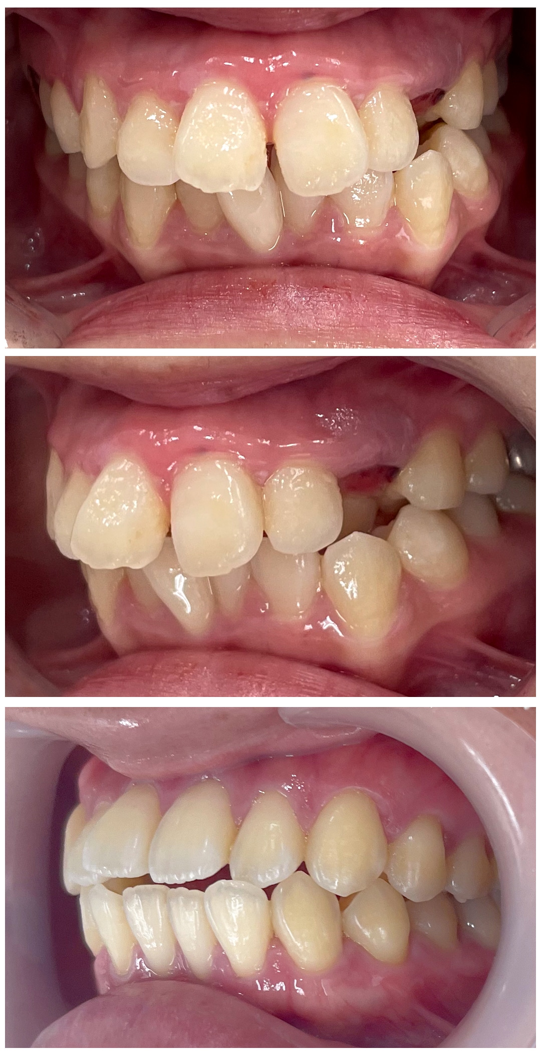
インビザラインフルは矯正範囲が7番目の歯~7番目の歯までの【全体矯正】です。マウスピースの【枚数無制限】なので、幅広い症例に対応できます!矯正期間は【平均2年~2年半】。奥歯から歯列全体を矯正するので《全体的な歯並びの改善》はもちろん、《横顔の見え方やEラインの改善》も期待できます!
湘南歯科クリニック大宮院は埼玉県の大宮駅西口目の前の徒歩1分のところにあります!土日祝も診療しておりますので、先ずはお気軽に無料カウンセリングにてお口元のお悩みをご相談ください!








クリニック案内
モニター情報 No.099-0160
埼玉県さいたま市大宮区桜木町1-1-27 小暮ビル2F
・JR大宮駅西口より徒歩1分
0120-955-977
受付時間:AM10:00~PM11:00(土・日・祝日も対応)
必ずご確認ください
※お問い合わせの際にはモニター番号が必要になりますので、
モニター番号をお控えの上、お問い合わせください。
違う条件でモニターを探す
