千葉県千葉市中央区新千葉1-4-2 ウェストリオ2 6F
・JR千葉駅西口 徒歩1分
0120-546-706
受付時間:AM10:00~PM11:00(土・日・祝日も対応)
 
			

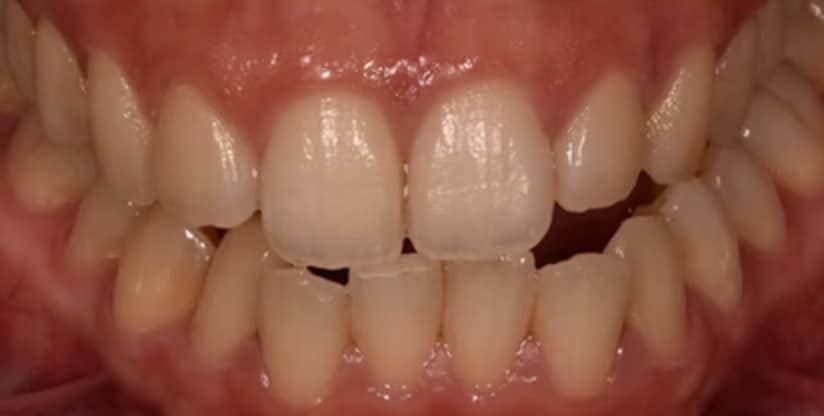
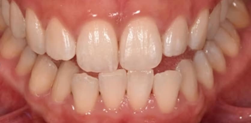
★スタンダートホワイトニングはこんな方におすすめ★
歯の内側から漂白するので本来の歯以上の白さを実感して頂けて、
歯を削る必要もなく、1時間程度でできるとてもお手軽な施術です^^
結婚式、同窓会、記念写真、数日後に大切なイベントをお控えの方にもおすすめです!
歯が白くなると自然と笑顔も増え、より印象が美しく良くなります!
★3回コースの魅力★
・スタンダードホワイトニング1回≪10分照射×3回→1回分≫が3回コースになったセットです^^
・スタンダードホワイトニング1回の通常料金が¥19,800なので3回コースモニターなら¥19,600もお得に!

  
  
  
  
  
  
  
  

  
   
クリニック案内
モニター情報 No.102-0091
千葉県千葉市中央区新千葉1-4-2 ウェストリオ2 6F
・JR千葉駅西口 徒歩1分
0120-546-706
受付時間:AM10:00~PM11:00(土・日・祝日も対応)
必ずご確認ください
※お問い合わせの際にはモニター番号が必要になりますので、
				モニター番号をお控えの上、お問い合わせください。
違う条件でモニターを探す
