東京都世田谷区玉川3-11-7 T's SQUARE 2階
・東急田園都市線 二子玉川駅 徒歩3分
0120-546-698
受付時間:AM9:00~PM11:00(土・日・祝日も対応)


\4/15まで表記価格から20%OFF/
切らないクマ取り★79,100円→63,280円
【関東おすすめDr.唯一の女医】
クマ取り・若返りならもえか先生にお任せ
★複合を希望される方が多い《糸リフト》《脂肪注入》単体もこちらからご相談いただけます
実績---------
・2025年上半期最新 若返り治療症例数 女医No.1獲得
・ベストショットアワード複数回受賞
・「関東おすすめドクター」選出(クマ取り部門)
--------------
若返り治療には“正解”はありません
あるのは“あなたに合った最適なアプローチ”
あなたの《理想》に
経験と技術でお答えします








脂肪から極少量しか取れない研ぎ澄まされた良質な幹細胞と小さな脂肪からなる不純物の少ない極小脂肪を、複数の注入口から注入するクリスクロス法で実現する、永続的な効果が期待できる究極の若返り術です。
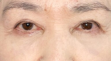
目の下のクマ・たるみ(ふくらみ)は、眼窩脂肪という、眼球を支えている脂肪が前方に突出してくることで生じます。
膨らんでいる部分からくぼんでいる部分に眼窩脂肪を移動させることで、膨らみと溝を同時に改善し、フラットな状態にすることができるため、眼窩脂肪を切り離すことなくクマを改善することができます。
アイバックリムーブ法は、目の下の余剰皮膚切除&眼窩脂肪除去を行い目袋と皮膚のたるみを改善する方法です。
下瞼を支える力が弱い人には、眼輪筋の引き上げ固定や、緩んだ下瞼の短縮手術などが必要です(追加には別途料金がかかります)。
下まぶたまつ毛の下の皮膚を切開するので、術後抜糸が必要です。
皮膚の切開線はまつ毛の際に隠しますので、お時間が経過すればほとんどわかりません。


| 施術名 | モニター価格(税込) |
|---|---|
| ナチュラル脂肪注射コンデンスリッチ(コンデンスリッチフェイス作成料) | 41,250円 |
| ナチュラル脂肪注射コンデンスリッチ(目の下~ゴルゴ) | 61,870円 |
| ナチュラル脂肪注射ナノリッチ(ナノリッチ作成料) | 81,990円 |
| ナチュラル脂肪注射ナノリッチ(目の下) | 41,250円 |
| 眉下リフト(眉下切開) | 135,000円 |
| アイバックリムーブ法 | 90,120円 |
| 裏ハムラ法 | 190,000円 |
| 目の下の切らないクマ・たるみ(ふくらみ)取り(麻酔(局所麻酔)代が含まれています。※別途安心麻酔(静脈麻酔)代がかかります。 ) | 56,500円 |

クリニック案内
モニター情報 No.104-0182
東京都世田谷区玉川3-11-7 T's SQUARE 2階
・東急田園都市線 二子玉川駅 徒歩3分
0120-546-698
受付時間:AM9:00~PM11:00(土・日・祝日も対応)
必ずご確認ください
※お問い合わせの際にはモニター番号が必要になりますので、
モニター番号をお控えの上、お問い合わせください。
違う条件でモニターを探す
