東京都豊島区南池袋1-25-1 エキニア南池袋4F
・JR池袋駅東口徒歩3分
0120-240-008
受付時間:AM10:00~PM11:00(土・日・祝日も対応)


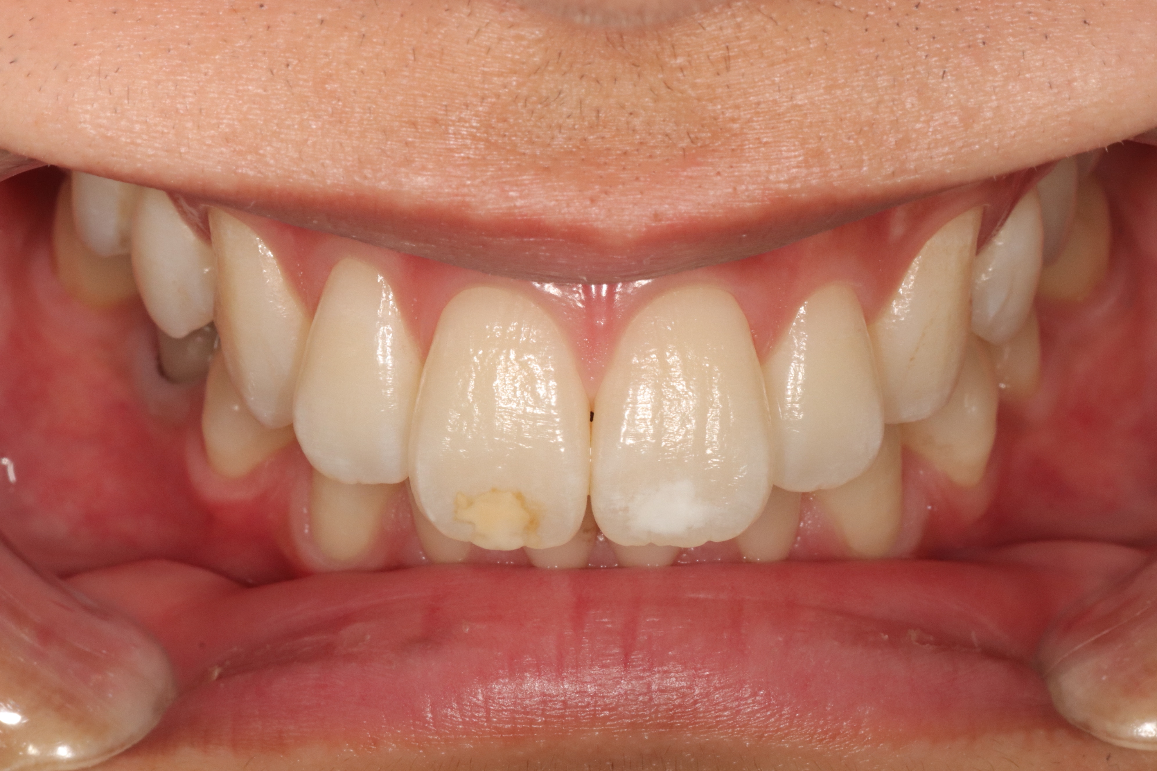
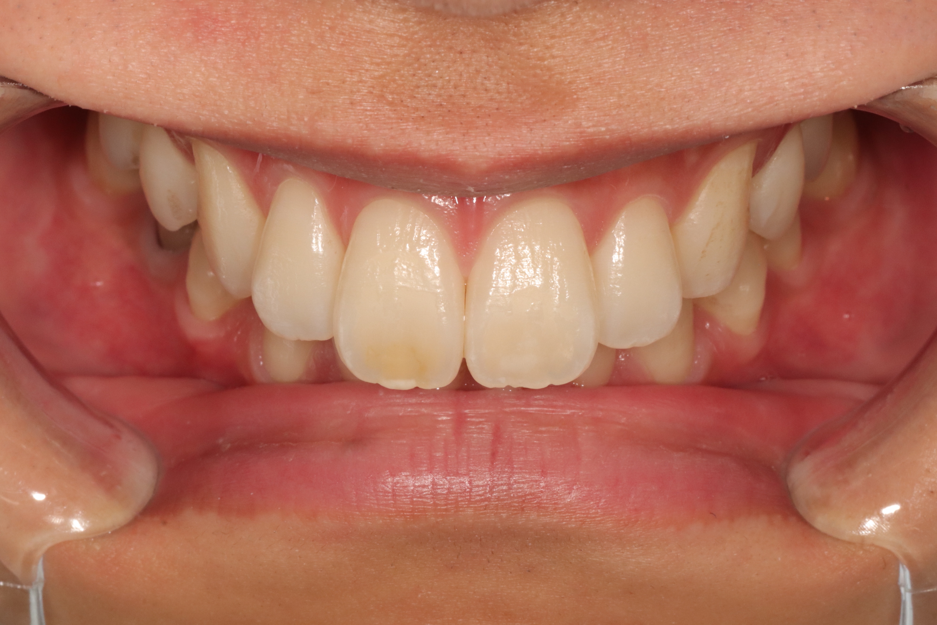
ホワイトスポットと呼ばれる歯の表面にできた斑点模様を改善する新治療がスタート!
気になる部分1本から対応可能です!



施術名:iCON(アイコン)
施術の説明:特殊な樹脂をホワイトスポットに塗り込んで、浸透させて治療する方法です。
施術の副作用(リスク):アイコンは液状のプラスチック樹脂をエナメル質に浸透させるため、ホワイトニングの薬剤が歯に浸透しません。ホワイトニングをご希望の方はアイコン治療前にホワイトニング施術をお勧めしております。
1回の治療で効果を感じられないこともあります。経年的に変色する可能性があります。全てのホワイトスポットが対象ではありません。
クリニック案内
モニター情報 No.121-0065
必ずご確認ください
※お問い合わせの際にはモニター番号が必要になりますので、
モニター番号をお控えの上、お問い合わせください。
違う条件でモニターを探す
