宮崎県宮崎市広島2丁目11-11 アミュプラザみやざき やま館 6階
・宮崎駅徒歩3分
0120-555-619
受付時間:AM9:00~PM11:00(土・日・祝日も対応)


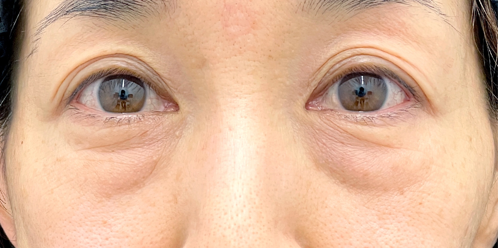
目の下のクマ・たるみは、目周りの脂肪が支えきれなくなり押し出されたものが原因と言われています。コンシーラーでは隠せないクマも、疲れて見える老け顔も、適切なクマ治療でパッと明るい目元に。
[SBC内全国 症例数]アイバックリムーブNo.1(※2023年上半期)・切開ハムラ法No.1(※2023年下半期・2024年下半期)獲得、[目元切開若返り]で厳選医師選出など執刀数が多く経験豊富なだけでなく、クマ治療を全て行える数少ない美容外科医ですので、お客様の状態やご希望にあわせた術式のご提案が可能です。
全国トップの技術力を、ここ広島で。



裏ハムラ法とは、目の下のふくらみの原因である「眼窩脂肪(がんかしぼう)」を移動させて、整える治療です。
目の下のクマ・たるみ(ふくらみ)は、眼窩脂肪という、眼球を支えている脂肪が前方に突出してくることで生じます。
膨らんでいる部分からくぼんでいる部分に眼窩脂肪を移動させることで、膨らみと溝を同時に改善し、フラットな状態にすることができるため、眼窩脂肪を切り離すことなくクマを改善することができます。

眼球を支えている眼窩脂肪が前方に突出してくることが原因で生じる目の下のクマ・たるみ(ふくらみ)を改善させ、目まわりの印象を若返らせる治療です。
目立ちづらい下まぶたのまつ毛の際から皮膚を切開し、膨らんでいる部分からくぼんでいる部分に眼窩脂肪を移動させることで、膨らみと溝を同時にフラットにすることができるため、眼窩脂肪を切り離すことなくクマを改善することができます。
同時に余分な皮膚も切除することができるので、膨らみが大きい方・皮膚の余りが気になる方にお勧めの施術です。
※クマの状態により、適応でない場合がございます。カウンセリングの際に医師にご相談ください。

アイバックリムーブ法は、目の下の余剰皮膚切除&眼窩脂肪除去を行い目袋と皮膚のたるみを改善する方法です。
下瞼を支える力が弱い人には、眼輪筋の引き上げ固定や、緩んだ下瞼の短縮手術などが必要です(追加には別途料金がかかります)。
下まぶたまつ毛の下の皮膚を切開するので、術後抜糸が必要です。
皮膚の切開線はまつ毛の際に隠しますので、お時間が経過すればほとんどわかりません。
コンデンス(濃縮)技術により、死活・老化細胞のみを分離し、健全な脂肪のみを抽出、ヘコミなどが気になる箇所に注入します。粒子が大きいので、目の下・額・こめかみ・頬など、へこみが強い部分にボリュームを出すのが得意です。
リスクを抑えながらも多くの脂肪を注入することができ、定着量も多くなります。お顔全体的にハリのある若々しい印象にすることが出来ます。
コンデンスリッチフェイスよりもさらに柔らかく滑らかな脂肪を、皮膚の浅い部分に注入します。粒子がとても細かいので、顔の浅いしわや色味、肌質の改善が期待できます。
ナノリッチ特有のオレンジがかった脂肪の色は、なかなか消えない色クマの 改善にも効果的です。
まぶたなど皮膚の薄い部位にも注入が可能で、さらに幹細胞が豊富のため肌 質自体も若返ります。


| 施術名 | モニター価格(税込) |
|---|---|
| ナチュラル脂肪注射コンデンスリッチ(コンデンスリッチフェイス作成料) | 57,750円 |
| ナチュラル脂肪注射コンデンスリッチ(ゴルゴ) | 57,750円 |
| ナチュラル脂肪注射コンデンスリッチ(目の下) | 57,750円 |
| ナチュラル脂肪注射コンデンスリッチ(目の下~ゴルゴ) | 86,620円 |
| ナチュラル脂肪注射ナノリッチ(ナノリッチ作成料) | 114,780円 |
| ナチュラル脂肪注射ナノリッチ(ゴルゴ線) | 57,750円 |
| ナチュラル脂肪注射ナノリッチ(目の下) | 57,750円 |
| ナチュラル脂肪注射ナノリッチ(目の下~ゴルゴ) | 86,620円 |
| アイバックリムーブ法(★) | 164,020円 |
| 裏ハムラ法 | 266,000円 |
| 切開ハムラ(表ハムラ)法(★) | 303,990円 |
| アイバックリムーブ法+眼輪筋弁作成料(★) | 303,990円 |
| 目の下の切らないクマ・たるみ(ふくらみ)取り(麻酔(局所麻酔)代が含まれています。※別途安心麻酔(静脈麻酔)代がかかります。 ) | 79,100円 |
クリニック案内
モニター情報 No.131-0480
宮崎県宮崎市広島2丁目11-11 アミュプラザみやざき やま館 6階
・宮崎駅徒歩3分
0120-555-619
受付時間:AM9:00~PM11:00(土・日・祝日も対応)
必ずご確認ください
※お問い合わせの際にはモニター番号が必要になりますので、
モニター番号をお控えの上、お問い合わせください。
違う条件でモニターを探す
