愛知県豊橋市駅前大通1丁目135 ココラアベニュー3階
・豊橋駅東口より徒歩1分
0120-110-729
受付時間:AM9:00~PM11:00(土・日・祝日も対応)




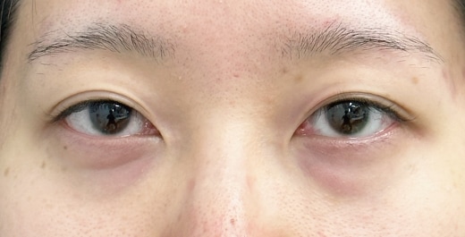
クマの主な原因は眼窩脂肪です。
眼窩脂肪はただ取ればいいのでは無く、その人に合った取る量や取る場所のバランスが大事です。
この様々な手術に共通する感覚は外科医としての経験が物を言います!
友池は保険診療でも多くの手術を経験しておりバランス感覚に優れています。
ぜひお任せ下さい。
クマの主な原因は眼窩脂肪です。
眼窩脂肪はただ取ればいいのでは無く、その人に合った取る量や取る場所のバランスが大事です。
この様々な手術に共通する感覚は外科医としての経験が物を言います!
友池は保険診療でも多くの手術を経験しておりバランス感覚に優れています。
ぜひお任せ下さい。
アイバックリムーブ法は、目の下の余剰皮膚切除&眼窩脂肪除去を行い目袋と皮膚のたるみを改善する方法です。
下瞼を支える力が弱い人には、眼輪筋の引き上げ固定や、緩んだ下瞼の短縮手術などが必要です(追加には別途料金がかかります)。
下まぶたまつ毛の下の皮膚を切開するので、術後抜糸が必要です。
皮膚の切開線はまつ毛の際に隠しますので、お時間が経過すればほとんどわかりません。






クリニック案内
モニター情報 No.141-0194
必ずご確認ください
※お問い合わせの際にはモニター番号が必要になりますので、
モニター番号をお控えの上、お問い合わせください。
違う条件でモニターを探す
