京都府京都市下京区烏丸通塩小路下る東塩小路町901 京都駅ビル9階
・京都駅直結
0120-037-260
受付時間:AM9:00~PM11:00(土・日・祝日も対応)


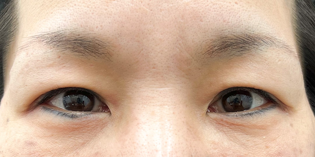
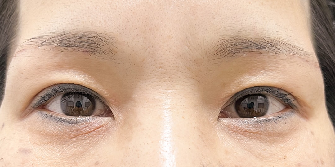
目元のたるみ・三角目の改善は【元”移植外科医”】丁寧で繊細な縫合スキルの原田ドクターにお任せ!
目元の印象・自分らしさはそのままに、【眉下リフト】で若々しいお目元に♪
クリニック案内
モニター情報 No.147-0270
京都府京都市下京区烏丸通塩小路下る東塩小路町901 京都駅ビル9階
・京都駅直結
0120-037-260
受付時間:AM9:00~PM11:00(土・日・祝日も対応)
必ずご確認ください
※お問い合わせの際にはモニター番号が必要になりますので、
モニター番号をお控えの上、お問い合わせください。
違う条件でモニターを探す
